Ask_Renal Profile Banner
Ask Renal Profile
Ask Renal

@Ask_Renal

Followers
1K
Following
5
Media
0
Statuses
1K

The new #AskRenal bot. Crowdsourcing answers to Nephrology questions! A @nephjc initiative, based @UAlberta #Academic a/c. Bot Questions? DM - @dr_nikhilshah

University Of Alberta
Joined November 2022
Don't wanna be here? Send us removal request.
@itsshehu
Shehu Yusuf
2 years
36 year-old female who is 3 years+ post kidney transplant with biopsy proven FSGS NOS with zero proteinuria but with rising SCr. What to do? #askrenal
6
2
4
@dr_nikhilshah
Nikhil Shah MBBS DNB(IM, Neph)🇨🇦
2 years
Discussing volume management with the awesome #peritonealdialysis nurses in the unit soon! This will be a mixed group of learners with a broad range of experience. What points would you definitely discuss? #askrenal #homedialysis
2
5
12
@dr_nikhilshah
Nikhil Shah MBBS DNB(IM, Neph)🇨🇦
2 years
@NephRodby
Roger Rodby
2 years
50 y/o with cysts in kidney and liver, read as PKD. GFR nl. no FH of CKD or PKD. Natera genetic testing negative for PKD 1 and 2. Are there variants not picked up by that panel? @fouadchebib @AskRenal
0
1
0
@michaelturk6
Mike Turk
2 years
Are there any nephrologists out there who practice general internal medicine in addition to nephrology? In what capacity (Hospitalist vs clinic)? And what kind of setting (academic vs private)? #askrenal #NephTwitter #MedTwitter
6
2
17
@tulunsokit
Tired & Sakit 🇲🇾
2 years
Can you get hemoglobinuria with acute gastroenteritis which spontaneously resolves without treatment? #AskRenal
1
2
3
@AVarmudy
Anwitha Varmudy
2 years
Asymptomatic hyperuricemia with uric acid more than Or equal to 10 mg/dl- any clear guidelines on treatment of this subgroup in any stage of CKD? What about treatment of any asymptomatic hyperuricemia in later stages of CKD? #askrenal
1
1
4
@dr_nikhilshah
Nikhil Shah MBBS DNB(IM, Neph)🇨🇦
2 years
@Teknofiliac
Wael Hussein
2 years
For home blood pressure, what do you tell your patient? 1 of 4 How many readings should you get in one sitting? @askrenal @NephJC #HomeBP @BhallaResearch @StanfordNeph
0
1
0
@kidney_boy
Joel M. Topf, MD FACP
2 years
@ClinChemMD
David N. Alter MPH MD DABCC🧬
2 years
For Nephrologists & Hematologists especially; re: UPEP interpretations; how do you utilize the descriptions of proteinuria; GLOMERULAR and TUBULAR?? Please retweet to your colleagues; @NephRodby @sparks @kidney_boy @AaronGoodman33 @myelomaMD @VincentRK
1
1
1
@WaliNuri
Abdul Wali Nuristani
2 years
@Ask_Renal What calculator do you use for contrast associated kidney injury? Regardless of your feeling whether this is a real entity or fake news. @kidney_boy @hswapnil #AskRenal
1
1
0
@niludesai1
nilu desai
2 years
IR refused tunneled hd catheter placement because hemoglobin was less than 8 g/dL ( pt hgb was 7.8 g/dL). Is there any evidence to support a particular hgb threshold for catheter placement? #askrenal
8
1
3
@GanobjakAndrej
Andrej Ganobjak
2 years
44y old wo. CKD G3b d to NSAID overuse in history. Admited with AKI 2 with severe hypoNa severe hypoK and severe hyperCa. High urine Na,K,Cl. Normal urine Ca, low urine P. HypoK and metabolic alcalosis in history for years. Mg level normal, vitD and ipth normal ideas? #askrenal
1
1
0
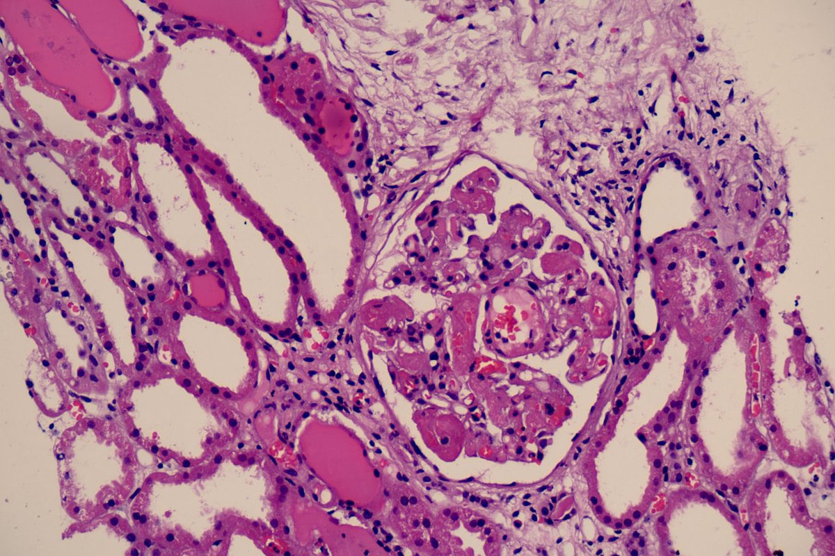
@RenalPathLabs
Renal Path Labs
2 years
Monoclonal Diseases Case 1 Proliferative GN with IgA-Kappa deposits Case 2 Cast Nephropathy with several Amyloidogenic Casts #RenalPath #PathTwitter #AskRenal Stay alert for Monoclonal diseases!
0
2
3
@RenalPathLabs
Renal Path Labs
2 years
In post Tx TMA in kidney Tx if significant glomerulitis or ptc margination are not seen, can u completely rule out ABMR?? #PathTwitter #RenalPath #AskRenal #AskrenalPath
1
4
5
@RenalPathLabs
Renal Path Labs
2 years
What is the commonest aetiology of TMA in very early post Tx period- Day1/2/3 in your practice??? #PathTwitter #RenalPath #AskRenal #AskRenalPath
1
1
1
@DrSS_neph
Shabna Sulaiman
2 years
To the transplant nephrologists - are we justified in proceeding without starting maintenance IS on day -2 or day -5 in a low immunologist risk preemptive transplant recipient? #askrenal
7
1
0
@Teknofiliac
Wael Hussein
2 years
Are there any studies on the use of POCUS for HHD? Particularly to help with cannulation? #AskRenal @NephJC #POCUS #HHD
5
1
3
@Andy06409641
Andy
2 years
#askrenal #NephTwitter what’s a good way/illustration/analogy to explain how ACEis/ARBs are renoprotective in DKD to non-medically inclined patients?
5
2
5