AshTewariMD Profile Banner
Ash Tewari, MD Profile
Ash Tewari, MD

@AshTewariMD

Followers
4K
Following
2K
Media
425
Statuses
2K

Robotic prostate surgeon studying nerves sparing & clinical trials. A father, husband & a friend. Opinions own. https://t.co/iGEWCBxCNd

New York, NY
Joined December 2010
Don't wanna be here? Send us removal request.
@AshTewariMD
Ash Tewari, MD
6 years
Thx Dr. Menon- Nerve Sparing Robotic prostatectomy work done by you, myself and our fellows from early days. Preparing a talk at Center of Excellence for Prostate Cancer coming Wednesday 5 PM. @PSUrol @MountsinaiUro @SocietySURS @roboraju @albertoma90 @MMenonMD
7
25
172
@AshTewariMD
Ash Tewari, MD
27 days
I’m pleased to welcome you to the 7th International Prostate Cancer and Urologic Oncology Symposium, taking place December 3–5, 2025, at Mount Sinai in New York City. Join me and leading experts from around the world as we discuss the latest advances in urologic oncology and
0
1
21
@MountsinaiUro
Mount Sinai Department of Urology
2 months
The 2025 Push Up Challenge, led by @AshTewariMD & Mount Sinai Urology, united 221 participants to raise awareness for Prostate & Gynecological Cancer. Over 10,000 push-ups & pull-ups showed our strength & commitment to early detection. Medals awarded to top 2024 performers!
0
1
2
@MountsinaiUro
Mount Sinai Department of Urology
3 months
Our Mobile Prostate Cancer Screening Unit has screened 11,458 men in NY—18% with elevated PSA levels. With @WinshipAtEmory and support from Arthur Blank @BlankFoundation, we’re expanding to the Southeast. Early detection saves lives. @AshTewariMD #prostatecancer #urology
2
4
11
@MountsinaiUro
Mount Sinai Department of Urology
3 months
Join 80+ global experts in urology, oncology & robotic surgery. Experience live surgeries, 3D videos & the latest research in prostate, kidney & bladder cancer care. Limited seats - secure yours today. https://t.co/1Y3Pe7luH5 @AshTewariMD #urology
0
2
3
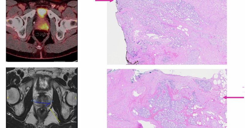
@NDTillu
Neeraja Tillu
4 months
Key findings: • SUVmax ≥13 independently predicted EPE • Our PSMA+MRI model outperformed institutional MRI-only model (AUC 0.75) • This optimizes preoperative risk stratification for graded nerve sparing. Read the full article:
Tweet card summary image
nature.com
Prostate Cancer and Prostatic Diseases - Predicting side-specific extraprostatic extension in prostate cancer using an 18F-DCFPyL PSMA-PET/CT–based nomogram
1
1
4
@AshTewariMD
Ash Tewari, MD
6 months
Prostate cancer Q&A - YouTube
0
2
4
@AshTewariMD
Ash Tewari, MD
6 months
0
0
1
@AshTewariMD
Ash Tewari, MD
6 months
0
0
1
@AshTewariMD
Ash Tewari, MD
6 months
Hood Technique - Robotic Radical Prostatectomy by Dr Ash Tewari https://t.co/0DpbyrjHil via @YouTube
1
3
19
@AshTewariMD
Ash Tewari, MD
7 months
⁦⁦A wonderful meeting of minds to discuss early returns of sexual function following NS RP and hydro dissection and also SP Kidney and RPLND⁦⁦@nyc robotics⁩ ⁦⁦@EUplatinum⁩ ⁦@NYCRoboticTeam⁩ ⁦@MehrazinMD⁩ ⁦@DrJohnSfakianos⁩ P Wiklund. ⁦
0
1
23
@NYCRoboticTeam
Ketan K. Badani MD
7 months
Packed house. @MountsinaiUro Innovations in Robotic Surgery Symposium at #AUA2025. Great job to the panelists sharing unique insights on #prostatecancer #kidneycancer and #RPLND. See you in December 2025 @MountSinaiNYC ! @AshTewariMD
2
4
32
@AshTewariMD
Ash Tewari, MD
7 months
Had a privilege of being blessed by a great soul. Special memories and tribute to Pope Francis. ⁦@popesprayernet
0
0
17
@AshTewariMD
Ash Tewari, MD
7 months
Celebrating Sybil and David Yurman for their outstanding achievements and philanthropy at the Annual Gala by Mount Sinai Department of Urology where they were honored with the Visionary Award. Their commitment, artistic passion, and steadfast backing have truly transformed
0
0
4
@AshTewariMD
Ash Tewari, MD
7 months
Symposium: Advancing Longevity and Care | April 23, 2025Healthy aging is an Art and we are addressing this complex topic through the lens of experts who live this everyday. All can join. ⁦@RFS_Vista⁩ ⁦@PCFnews⁩ ⁦⁦@BlueCure
Tweet card summary image
eventcreate.com
Join us on April 23
0
2
3
@RaviBatra
Ravi Batra
7 months
@RanjuBatra & I🇺🇸were delighted to celebrate the amazing @AshTewariMD of @MountSinaiNYC, led by @Dr_BrendanCarr, with dear Amb. @binaysrikant76🇮🇳@IndiainNewYork, and applaud the great prostate cancer research conducted under the empathetic leadership of dear Ash! Congratulations
0
4
5
@AshTewariMD
Ash Tewari, MD
8 months
Spring in NYC. ⁦@NewYorker⁩ ⁦@CentralParkNYC
0
0
6
@AshTewariMD
Ash Tewari, MD
8 months
Not only that we have academic collaboration with @USCUrology @IcahnMountSinai in Urological meetings but also in @usacricket @IndianCricketTm Cricket. Dr. Indi Gill @IndianEmbassyUS proved to be a great cricketer. Thanks Indi for visiting us in East Coast. @NYSAUA
@DoctorSotelo
Dr. René Sotelo
11 months
Thanks @MountSinaiNYC @AshTewariMD @NYCRoboticTeam For the invitation always a pleasure to be part of this fantastic meeting. @USC_Urology
0
0
14