Dr. Yale Winestock
@vancouverendo
Followers
11
Following
0
Media
2
Statuses
16
Saving the world one tooth at a time.
Vancouver BC
Joined January 2012
My dad, a 75yo emergency dentist, risks his health on every patient he treats. In dentistry patients can’t wear masks and every procedure generates aerosols. Dentists deserve to be vaccinated at the same time as non-covid doctors. @adriandix @jjhorgan @BCDentalAssoc @CTV
0
1
1
We are living in very uncertain times with the Covid-19 pandemic. At Evergreen Endo Group we are committed to be able to provide emergency dental care to our communities and to do our part in helping relieve the…
0
0
0
The Netflix documentary “Root Cause” is filled with misleading facts, bending of truths and flat out lies should be re-names pulp fiction. #rootcause #netflix #rootcanal #endodontist #endodontics #dentist #dentistry #rootcanalsaresafe #loveyourtooth
perioimplantadvisory.com
The recent documentary on Netflix, Root Cause, is causing quite a stir. Many are questioning the safety and validity of root canals and their possible connection to the "c" word...
0
1
3
Had a fun time spreading some root canal knowledge on @CKNW.. have a listen https://t.co/sxaISSmmOW
#rootcanal #endodontics #dentistry #talkradio #loveyourtooth
0
0
0
Just watched #RootCause on @netflix .. there’s more misleading facts and bending of the truths then in a @realDonaldTrump speech. Netflix should call this a mocumentary. #FakeNews #netflix #rootcanalsaresafe #rctswork #loveyourtooth
0
0
0
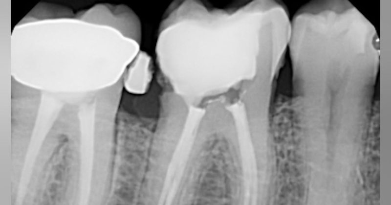
It’s a lateral canal type of day. Case 1 (pic 1+2): tooth 26 was previously accessed by GP, diagnosis was a previously initiated tooth with symptomatic apical periodontitis Case 2 (pic…
0
0
0
Don’t forget to take different angulations with your pAs for RCT assessment or you may miss read something #dentistry #radiology #oralradiology #endodontics #rootcanal #SLOBrule
0
1
1
Transformation Tuesday: patient presented with pain on tooth 15. He had a RCT done on it 2 months earlier. The tooth is still tender to percussion and palpating. Diagnosis is a previously…
0
0
1
#rootcanal treatment is safe, effective and pain free. Don’t believe the myths. Learn more at http://t.co/fLX6we6ChL.
0
5
2
Endo Versus Implants: Does Your Treatment Plan Pass the “Mama Test”? http://t.co/Ml9mKcGDi7 via @sharethis
0
0
0
Sydney Crosby sets it straight, root canals are no big deal. #crosby #endodontics #painfree
http://t.co/VvmHTBIu9F
cbsnews.com
For the first time since breaking his jaw in March, Pittsburgh Penguins captain Sidney Crosby returned to practicing with the team Friday.
0
0
0
Check out my new blog post on post preference from an endodontic point of view. http://t.co/7YDPzzVa.
#endodontics #rootcanals #dentistry
0
0
0
A good read on why keeping your natural tooth w/ a root canal is a better option than an implant http://t.co/vFXhOYoo
#endo #dentistry
0
0
0