teptips Profile Banner
Marcelo Klein Profile
Marcelo Klein

@teptips

Followers
476
Following
377
Media
46
Statuses
177

Radiólogo Intervencionista. Embolización, plastías, trombolisis, accesos, drenajes, biopsias, ablaciones…por percutánea #Irad

Temuco/Valdivia,Chile
Joined November 2011
Don't wanna be here? Send us removal request.
@teptips
Marcelo Klein
10 months
0
0
1
@teptips
Marcelo Klein
10 months
Excelente curso avanzado de embolización arterial prostática (PAE) para terapia de hiperplasia benigna de próstata. Tres días intensos aprendiendo los “consejos y trucos” de experimentados radiólogos intervencionistas de Brasil!
Tweet card summary image
es.linkedin.com
Terumo tuvo el placer de promover el 1er Curso Avanzado de Embolización Prostática, en Recife-PE, en colaboración con el equipo de GEEPROSTATA, Angiorad y TOPE, en el Real Hospital Português.   En...
1
0
2
@gpzamboni
Gian Paolo Zamboni
1 year
2
3
10
@intervencional
Marcos Tapia A.
1 year
30 de agosto, jornada de entrenamiento en manejo de Endovascular avanzado en embolia pulmonar y trombosis venosa. Equipo RI Temuco 🇨🇱 @SIDISoc @RadiologiaChile @colmedtemuco @Mentice @InariMedical
0
1
2
@intervencional
Marcos Tapia A.
1 year
Culminando 4 días de trabajo con los equipos de Radiología Intervencionista de Perú 🇵🇪 @BostonSciLatam con SpyGlass Discover en patología biliar @RadiologiaChile @SIDISoc Hospitales Rebagliati, Sabogal, Almanzor, Drs Daniel Godoy, Piero Mora, Marwin Joule todo el éxito ❤️🇨🇱
2
3
4
@HHHATEMUCO
Hospital Dr. Hernán Henríquez Aravena
2 years
📌En un avance pionero para la atención médica en Latinoamérica 📷, el #HHHA realizó con éxito una Trombólisis de Catéter Asistida de Ultrasonido con el sistema #EcosPlus que permite una mayor precisión y eficacia en la eliminación de coágulos Lee + en 👉 https://t.co/B75tyFVQ0o
0
1
3
@HHHATEMUCO
Hospital Dr. Hernán Henríquez Aravena
2 years
😮‍💨 ¡Qué nivel! Ya está instalado el equipo de reposición del pabellón de Radiología Intervencionista del #HHHA. Equipo de última tecnología que busca beneficiar la salud de las y los usuarios de la red ⚕️ Estará operativo a fines de enero🤫 #temuco #hospitalregional #araucanía
0
4
11
@intervencional
Marcos Tapia A.
2 years
Radiología Intervencionista Hospital Hernán Henríquez Aravena y nuestro nuevo Pabellón! 🇨🇱 Temuco @HHHATEMUCO @RadiologiaChile @SIDISoc @colmedtemuco @teptips @rduranmendez @DiegoRad91 #irad
5
11
40
@intervencional
Marcos Tapia A.
2 years
2 al 4 de Noviembre Pucon 🇨🇱 #irad Participa 👇 https://t.co/XfsP19lQYs
1
6
9
@intervencional
Marcos Tapia A.
2 years
@teptips @rduranmendez @DiegoRad91 @DrCOlivares @colmedchile @HHHATEMUCO @AlemanaTemuco Si eres estudiante, NO Pagas, si eres UFRO, hay Transfer desde Temuco para ti 0$!
0
1
1
@intervencional
Marcos Tapia A.
2 years
@teptips @rduranmendez @DiegoRad91 @DrCOlivares @colmedchile @HHHATEMUCO @AlemanaTemuco Expositores de 🇺🇸 🇧🇷 🇪🇸 🇨🇱 🇨🇭 Realidad Virtual, Realidad aumentada, Simuladores, hands On, expositores de lujo y además en Pucon!!!
1
3
3
@intervencional
Marcos Tapia A.
2 years
Expositores de nivel mundial en 🇨🇱 Pucon, 2 al 4 de Noviembre. Intervencionistas, Tecnologos, Enfermeros y TENS, estudiantes VR, simuladores!! ⁦@medufro⁩, estudiantes gratis! ⁦@RadiologiaChile⁩ ⁦@SIDISoc⁩ ⁦@colmedtemuco
instagram.com
1
4
4
@intervencional
Marcos Tapia A.
2 years
TEP, sistemas de trombectomia, equipos PERT entrenados, Guias de navegación endovascular. Resultados inmediatos. 🇨🇱 Temuco 💪 @HHHATEMUCO @RadiologiaChile @SIDISoc @colmedchile @DrCOlivares @InariMedical @teptips @rduranmendez
4
11
42
@intervencional
Marcos Tapia A.
2 years
Radiología Intervencionista. Incorporando cada día nuevas y mejores herramientas para nuestros pacientes. Colangioscopio percutaneo, otro dispositivo de Colangioscopia en el arsenal. @SIDISoc @RadiologiaChile @colmedchile @HHHATEMUCO @AlemanaTemuco @medufro @CencomexSA
1
3
18
@intervencional
Marcos Tapia A.
2 years
Tromboembolismo de arteria pulmonar o TEP. 3era causa de muerte cardiovascular. Araucania con terapia de 1er mundo. Guias de manejo actualizadas. Equipos PERT. Caso de la semana pasada 👌 Mejorando la salud de nuestra población con lo mejor que tiene la medicina, orgulloso
0
7
10
@intervencional
Marcos Tapia A.
2 years
Capítulo de Radiologia Intervencional de Chile, colegas de varios centros del país compartiendo experiencias. Es gratificante ver como hemos crecido. @RadiologiaChile @HHHATEMUCO @AlemanaTemuco @SIDISoc @medufro @CencomexSA @MeritMedical
0
4
9
@DrCOlivares
Carlos Olivares Asencio.
3 years
A seguir creciendo. Somos un centro de muy alta complejidad y el único con todo el espectro #intervencional dentro de un complejo asistencial público 🇨🇱. @HHHATEMUCO @AraosFernando @HeberRickenberg @intervencional @FellowEP @mpeldoza @AraucaniaSur @teptips @medufro
1
2
9
@teptips
Marcelo Klein
3 years
0
1
2
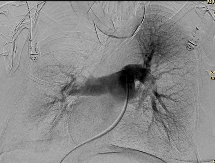
@teptips
Marcelo Klein
3 years
Caso trombectomía aspirativa en #TEP en ⁦@HHHATEMUCO#PE #FLAME #Irad@SIDISoc⁩ ⁦⁦@RadiologiaChile⁩ ⁦@sochimioficial⁩ ⁦@sochimu⁩ ⁦@Sochicaroficial⁩ ⁦⁦@SOCHIVAS_Chile⁩ ⁦@InariMedical#Flowtriever
1
0
6