stuffshx Profile Banner
๐‡๐š๐ซ๐ฎ Profile
๐‡๐š๐ซ๐ฎ

@stuffshx

Followers
301
Following
491
Media
3K
Statuses
22K

Cyber Area. Gamers yang merangkak menjadi dokter gadungan.

Gemini area | Isekai
Joined October 2018
Don't wanna be here? Send us removal request.
@stuffshx
๐‡๐š๐ซ๐ฎ
3 years
Ini akun ngewibu, ngewota, ngehype dan ngerants yang berkedok Cyber. Sering bahasannya Real Life juga.
@stuffshx
๐‡๐š๐ซ๐ฎ
3 years
0
0
0
@nervemed
nervemed
2 days
0
113
560
@minesuga27
d
23 hours
24
619
2K
@stuffshx
๐‡๐š๐ซ๐ฎ
6 hours
Okayy
0
0
0
@stuffshx
๐‡๐š๐ซ๐ฎ
3 days
B
@nervemed
nervemed
3 days
What is the most likely diagnosisโ“ A. Acute Closure Glaucoma B. Keratoconus C. Orbital Cellulitis D. Conjunctivitis
0
0
0
@mukaikhlas
muklas
5 days
91
23K
56K
@stuffshx
๐‡๐š๐ซ๐ฎ
3 days
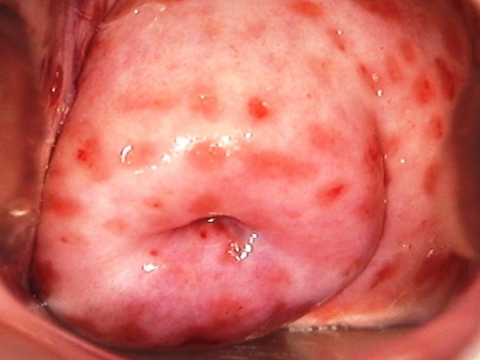
C
@drabdulhameed07
Dr Abdul Hameed ๐Ÿฉบ
5 days
Cervix with strawberry appearance. Most likely Cause? A. Candida B. HPV C. Trichomonas D. BV
0
1
1
@stuffshx
๐‡๐š๐ซ๐ฎ
1 year
Kalo rptwt/rpx jiwa masuk LCD๐Ÿคฃ
0
1
0
@Doctors__squad
Dr Honey choudhary ๐Ÿฉบ
5 days
Blood clot removalโ€ฆ..
0
11
45
@stuffshx
๐‡๐š๐ซ๐ฎ
5 days
Todayโ€™s Reward.
2
0
0
@stuffshx
๐‡๐š๐ซ๐ฎ
5 days
Cw// Pasien 57thn dengan suspek Squama Cell Carcinoma. Meatus/lubang telinganya sudah tidak terlihat karena penuh pus. Berawal dari benjolan kecil yang gatal, lalu mulai menyebarโ€ฆpasien tidak ada riwayat DM dan HPT. Tadi diambil sedikit jaringannya untuk dilakukan biopsi.
0
0
0
@Speacoco
์Šคํ”ผ์ฝ”
6 days
0
237
600
@stuffshx
๐‡๐š๐ซ๐ฎ
5 days
Ini paling dapat sediaan yg 100. Krn sediaan cefixime pun 100,200,400. Cmiiw
@tanyakanrl
Tanyarl ๐Ÿ’š
6 days
๐Ÿ’š Ada juga yang pernah minum obat ini dengan aturan minum yang sama gak? makasih.
1
0
0
@stuffshx
๐‡๐š๐ซ๐ฎ
5 days
Tentu ada bedanya. Karena tubuh tiap orang beda-beda dan dosisnya juga beda-beda. Biasanya ada yg single dose dan ada 2x1. Sediaan juga ada yg 100, 200 dan 400. Untuk beberapa penyakit, dosisnya diturunkan agar tidak merusak ginjal. Cmiiw.
@essxnceofme
Raยฒ๐Ÿƒ
6 days
@tanyakanrl Aku abis op dapet cefixime diminum 2x1 tablet dalam sehari dan harus habis obatnya, ini gaada beda sih sama minum 1x2 tablet. Dan ada alasan kenapa tu obat harus habis, mencegah resistensi, biar bakteri di dalam tubuh kamu yg bikin sakit bener2 ilang, biar ga makin parah
0
0
0
@haechiesbear
jenelle สšโ™กษž #TASTE
6 days
my heart is racing https://t.co/VjTG9Xhfvn
22
4K
13K
@oneotak
เปŠ
6 days
0
4K
9K
@haechanprints
๐™™๐™–
6 days
haechan ๐Ÿ“ธ
0
4K
8K
@myhaelodys
huna ๐Ÿˆโ€โฌ› #TASTE
6 days
i just canโ€™t stop watching this on loop
0
578
2K
@stuffshx
๐‡๐š๐ซ๐ฎ
5 days
Pneumothorax
@TrackYourHeart
CardiovascularCorner
6 days
Which complication is most commonly associated with thoracocentesis? A) Pneumothorax B) Pericardial effusion C) Diaphragmatic rupture D) Hematuria
0
0
0
@ohpin66
๐Ÿงทโถโถ
6 days
๐Ÿ‘“๐Ÿ“น
0
3K
8K
@hcjsxx66
๊ณฐ์ฎœ #TASTE
8 days
0
5K
14K