shailsingh Profile Banner
Shailendra Singh Profile
Shailendra Singh

@shailsingh

Followers
2K
Following
2K
Media
136
Statuses
1K

Associate Professor @WVUmedschool •Director Bariatric Endoscopy •Advanced Endoscopist •Gastroenterologist •Interested in Outcome research, Med Device Innovation

Morgantown, WV
Joined November 2009
Don't wanna be here? Send us removal request.
@shailsingh
Shailendra Singh
20 days
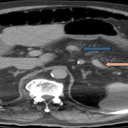
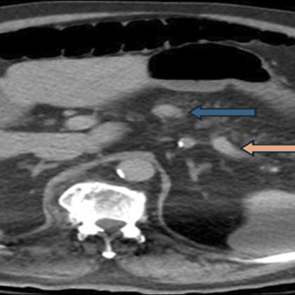
Congrats @LanreADENIRANFF our @wvudeptofmed @WVU_GI team @WVUCancer @WVUMedSchool 👉Proud to share our latest publication on Emergent EUS-guided Radiofrequency Ablation (RFA) for pancreatic tumor - Insulinoma https://t.co/E25pXlQa1i EUS-guided RFA offers a minimally invasive,
Tweet card summary image
journals.lww.com
ncreatic body mass confirmed as a World Health Organization grade 1 insulinoma on histopathology. Given the high surgical risk, we performed a EUS-RFA with 13 sequential ablations. Blood glucose...
@LanreADENIRANFF
Olanrewaju Adeniran, MD
28 days
Thrilled to share that our case report has been published!!! @ACGCRJ - Successful Endoscopic Ultrasound-Guided Radiofrequency... : ACG Case Reports Journal https://t.co/k5AykfTrMV EUS-guided RFA—and the rapidly growing field of EUS-based interventions continues to reshape
4
0
15
@LanreADENIRANFF
Olanrewaju Adeniran, MD
28 days
Thrilled to share that our case report has been published!!! @ACGCRJ - Successful Endoscopic Ultrasound-Guided Radiofrequency... : ACG Case Reports Journal https://t.co/k5AykfTrMV EUS-guided RFA—and the rapidly growing field of EUS-based interventions continues to reshape
Tweet card summary image
journals.lww.com
ncreatic body mass confirmed as a World Health Organization grade 1 insulinoma on histopathology. Given the high surgical risk, we performed a EUS-RFA with 13 sequential ablations. Blood glucose...
1
7
25
@WVNews247
WV News
1 month
WVU Medicine experts are first in the nation to use cutting-edge technology for innovative pancreatic cancer treatment, offering a minimally invasive alternative to high-risk surgery. Read more. https://t.co/PKcntHKGGz #WVNews #WVUMedicine #CancerTreatment #Innovation
Tweet card summary image
wvnews.com
MORGANTOWN, W.Va. – A team of WVU Medicine experts took another step in providing innovative treatment for pancreatic cancer, making them first in the nation to use cutting-edge technology to
1
2
7
@wvstatejournal
The State Journal
1 month
WVU Medicine experts are first in the nation to use cutting-edge technology for innovative pancreatic cancer treatment, offering a minimally invasive alternative to high-risk surgery. Read more. https://t.co/kjWKRpBkH2 #WVNews #WVUMedicine #CancerTreatment #Innovation
Tweet card summary image
wvnews.com
MORGANTOWN, W.Va. – A team of WVU Medicine experts took another step in providing innovative treatment for pancreatic cancer, making them first in the nation to use cutting-edge technology to
0
1
2
@neilRsharmaMD
Neil Sharma, M.D. FASGE, FACG, AGAF
1 month
@shailsingh @ShyamTMD @wvudeptofmed @CreoMedical Congratulations @shailsingh & team Amazing work as always ! I am excited to work on the upcoming trial with you! So much more to come. #Oncology
0
1
4
@SkipKrafftMD
Skip Krafft, MD
1 month
Long LAMS dwell time, independent of closure technique, is associated with a high rate of persistent fistula after EDGI. https://t.co/2VxlIKpOqr. https://t.co/g3NxpBZBZS. #GITwitter @WVU_GI
2
7
12
@SkipKrafftMD
Skip Krafft, MD
1 month
@WVU_GI Big thanks to @DrFkamal @TJUHospital for including us (@WVU_GI, @ShyamTMD, & @shailsingh) in this great study on post-EDGI fistula closure!
0
3
6
@GIE_Journal
GIE
1 month
Boortalary et al exhibit "Success of different closure modalities of gastrogastric or jejunal-gastric fistulas after EUS-directed transgastric intervention." https://t.co/dfNNfLU3aI #GITwitter @mkahaleh @amytyberg @RishiPawa @EthanCohenMed @shailsingh @reemsharaiha
0
8
20
@GIE_Journal
GIE
2 months
Editor's Choice: Singh et al apply "Endoscopic suturing to prevent migration of esophageal fully covered self-expandable metal stents: a randomized controlled trial (with video)." https://t.co/oPcTzCkQlh #GITwitter @shailsingh @AyoAdekolu @EthanCohenMed
2
9
39
@GIE_Journal
GIE
2 months
Just posted on the Endoscopedia blog: "Endoscopic suturing to prevent migration of esophageal fully covered self-expandable metal stents: a randomized controlled trial (with video)" by Shailendra Singh https://t.co/EwCZQLGEQT @shailsingh
1
3
9
@shailsingh
Shailendra Singh
2 months
We recently performed the first EUS-guided microwave ablation of a pancreatic lesion in USA 🇺🇸 @wvudeptofmed with excellent results using the @CreoMedical EUS needle. Microwave ablation can allow precise, controlled, and homogeneous ablations of pancreatic lesions. Hope more
6
13
93
@vishali_moond
Vishali Moond
2 months
Beyond GLP-1: the future is here. Grateful for an inspiring session with Dr Singh @shailsingh at WVU Medicine Grand Rounds. 💡 From Smart GLP-1/GIP AAV gene therapy to ESG— now with a dedicated CPT code effective Jan 1, 2026 — the field of metabolic endoscopy is transforming.
1
2
11
@SanyaGoswami4
Sanya Goswami, MD
2 months
Highly educational and cutting edge @wvudeptofmed Grand Rounds presented by Dr. @shailsingh on novel endoscopic therapy in the realm of #obesitymedicine #WomeninGI #AEF
0
6
12
@David_LeimanMD
David Leiman, MD, MSHP
2 months
🚨AGA guideline alert🚨 New Clinical Practice Guideline on the Management of Gastroparesis https://t.co/9rWkalDCjF @AmerGastroAssn @AGA_Gastro @drkylestaller @margaretzhou @GreerKatar8819 @shailsingh A summary and some reflections to follow👇
4
42
113
@shailsingh
Shailendra Singh
2 months
Huge congrats to @KKadkhodayan, @DrHasan_Orlando & the entire team for organizing a truly comprehensive Bariatric Endoscopy Course — featuring hands-on training, live cases, and a live animal lab for an unmatched learning experience! 👏 Honored to be part of the all ⭐️ faculty
@BilalMohammadMD
Mohammad Bilal, MD
2 months
Kudos to @KKadkhodayan, @DrHasan_Orlando & team #CIE AdventHealth for a 🔥🔥 #EndoBariatrics & #Suturing Master Class ! Couldnt be more impressed by the enthusiam of the participants ! And inspired by the ⭐️ co-faculty ! The future of #Endobariatrica & #MetabolicTherapies is
0
3
30
@BilalMohammadMD
Mohammad Bilal, MD
2 months
Excellent talk by @ChrisChapmanMD on “Building a Bariatric Endoscopy Program” ✅ Three pillars of an #EndoBariatric Program #AdventHealth #EndoBariatric & #Suturing Masterclass 🔥
0
3
23
@BilalMohammadMD
Mohammad Bilal, MD
2 months
Kudos to @KKadkhodayan, @DrHasan_Orlando & team #CIE AdventHealth for a 🔥🔥 #EndoBariatrics & #Suturing Master Class ! Couldnt be more impressed by the enthusiam of the participants ! And inspired by the ⭐️ co-faculty ! The future of #Endobariatrica & #MetabolicTherapies is
1
9
46
@BilalMohammadMD
Mohammad Bilal, MD
2 months
Amazing and practical talk on managing #AdverseEvents with #ESG and #TORe by the incredible @shailsingh ! ✅ if there is bleeding - dont panic - and just suture or cinch @AdventHealth Orlando #Suturing and #EndoBariatricCourse
2
9
42