rksanti Profile Banner
Santiago Oquendo MD Profile
Santiago Oquendo MD

@rksanti

Followers
4K
Following
16K
Media
1K
Statuses
7K

📚💡 Telegram: https://t.co/GTUrb0PrZS Si desean apoyar con donaciones la llave 🔑 es @NEQUISAN8649

Joined November 2010
Don't wanna be here? Send us removal request.
@rksanti
Santiago Oquendo MD
5 days
0
0
1
@rksanti
Santiago Oquendo MD
5 days
🧵 Metabolic Dysfunction–Associated Steatotic Liver Disease (MASLD) en adultos 📌 Revisión publicada en: JAMA – Noviembre 2025 📌 Autores: Tilg H., Petta S., Stefan N., Targher G. 1️⃣ ¿QUÉ ES MASLD? Reemplaza al antiguo NAFLD. Incluye un espectro: ➡️ Esteatosis aislada ➡️ MASH
2
41
136
@gabi_puchepalao
Gabriel Puche, MD/PhD
7 days
🧵 HILO | Guía IDSA 2024 para Gramnegativos resistentes 1️⃣ Introducción 🦠 La IDSA actualiza el manejo de 6 patógenos gramnegativos resistentes: ➡️ ESBL-E ➡️ AmpC-E ➡️ CRE ➡️ Pseudomonas DTR ➡️ CRAB ➡️ S. maltophilia 📌 Basada en evidencia + experiencia clínica.
6
152
464
@rksanti
Santiago Oquendo MD
8 days
🆕Kidney diseases and the thyroid: interactions and consequences” 📌 Nature Reviews Endocrinology (2025) gabriela-brenta-kidney-diseases… 🧠👩‍⚕️👨‍⚕️ ¿Puede la disfunción tiroidea deteriorar el riñón? ¿Es reversible? ¿Debemos tratar el hipotiroidismo subclínico para proteger la
2
23
61
@rksanti
Santiago Oquendo MD
8 days
🆕Ultra-processed foods and human health: the main thesis and the evidence📚 📌 The Lancet | Publicado online: Noviembre 18 de 2025 🧵 LOS ALIMENTOS ULTRAPROCESADOS (UPFs) Y SU IMPACTO EN LA SALUD HUMANA 🔍 1. ¿Qué son los UPFs? (Sistema NOVA) 🍔 Grupo 4 del sistema NOVA: ➡️
0
47
136
@rksanti
Santiago Oquendo MD
8 days
🧵Avances recientes en Hipercolesterolemia Familiar (HF) The Lacent 2025 – Lo que TODO médico debe conocer 🔬 La HF es una enfermedad genética autosómica semidominante, con elevación del LDL desde el nacimiento y riesgo elevado de aterosclerosis precoz. Hoy es un modelo de
0
27
112
@rksanti
Santiago Oquendo MD
11 days
🫁 NEUMONÍA ADQUIRIDA EN LA COMUNIDAD: LO QUE TODO CLÍNICO DEBE SABER EN 2025 Basado en el último Seminario de The Lancet sobre NAC. La neumonía adquirida en la comunidad (NAC) sigue siendo una de las principales causas de muerte en el mundo —y no solo es una infección aguda. Hoy
2
208
690
@DrDeLaUCI
Dr. Jair Vargas
12 days
Asociación Internacional de Pancreatología sobre la pancreatitis aguda 2025 ‼️ 🔺Diagnóstico Clínico ( Dolor abdominal) + Bioquímico (lipasa o amilasa >3 veces límite superior normal )+ Imagen ( TAC o ecografía )
2
69
326
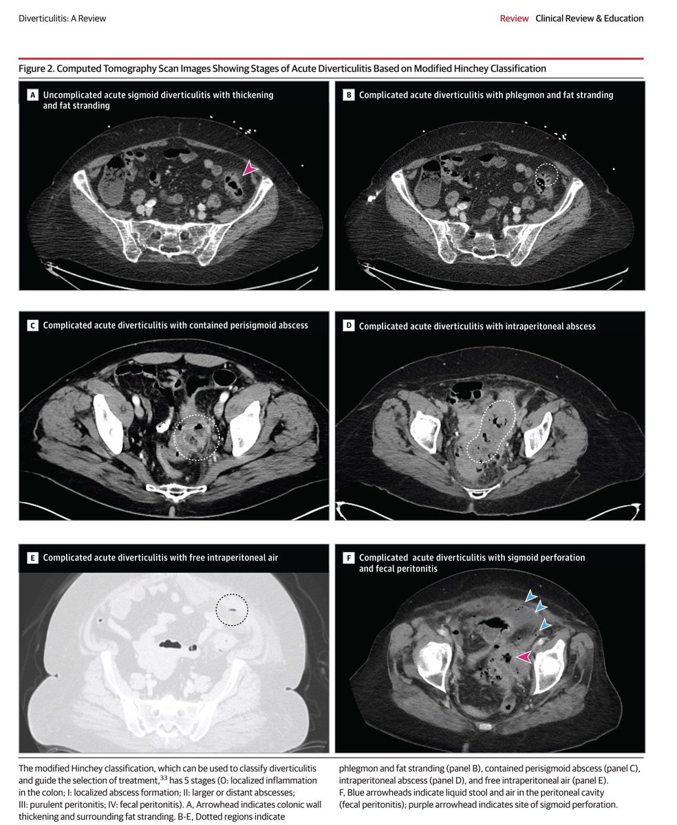
@rksanti
Santiago Oquendo MD
11 days
✅“Diverticulitis: A Review” (JAMA, 2025) revisa la evidencia más reciente sobre epidemiología, diagnóstico y manejo de la diverticulitis. 📌 Puntos clave: 1️⃣. Epidemiología La diverticulitis tiene una incidencia anual de 180 por 100 000 personas y causa ≈200.000
2
147
576
@rksanti
Santiago Oquendo MD
26 days
🚨 Nueva forma de entender la severidad de la diabetes Un equipo de expertos de la Korean Diabetes Association propone una revolución en la forma de clasificar la diabetes mellitus: el Diabetes Grade–Stage Classification (DGSC). 💡 Este sistema combina dos ejes clave: 🔹 Grado
5
220
694
@rksanti
Santiago Oquendo MD
26 days
💥 De STEMI/NSTEMI a OMI 💥 Reclassifying myocardial infarction: from ST elevation to coronary occlusion" de Ayyad M. et al. en el European Heart Journal. ¡Es un llamado de atención crucial sobre cómo diagnosticamos y tratamos el Infarto de Miocardio (IM)! 🤔 ¿Por Qué el Cambio?
0
0
8
@rksanti
Santiago Oquendo MD
1 month
💉🫀1/10: ¡Alerta de Ensayo Clínico de JAMA! 🚨El BICARICU-2 ha llegado para redefinir el manejo de la acidosis metabólica severa. ¿Es el bicarbonato de sodio la panacea que esperábamos para reducir la mortalidad en pacientes críticos con Lesión Renal Aguda (LRA)? 👇 Un análisis
0
27
104
@rksanti
Santiago Oquendo MD
1 month
¡HILO IMPERDIBLE! 🧵 Un antes y un después en la resucitación del #ShockSéptico. El ensayo ANDROMEDA-SHOCK-2 nos presenta un protocolo personalizado que rompe esquemas. ¿Listo para cambiar tu práctica? 👇 📚Personalized Hemodynamic Resuscitation Targeting Capillary Refill Time in
1
7
29
@rksanti
Santiago Oquendo MD
1 month
🚨 ¡ALERTA MÉDICA! 🔥 SOFA-2: La revolución en evaluación de pacientes críticos que estabas esperando después de 30 años 📈🩺 #SOFA2 #UCI 1/🧵 Contexto e Importancia • SOFA-1 (1996) obsoleto 😴 No reflejaba meds/dispositivos modernos 💊🤖 • Objetivo: SOFA-2 global 🌍 Para
2
84
266
@rksanti
Santiago Oquendo MD
1 month
1/10 🚨 Nueva revisión sobre #Sífilis en @JAMA_current (2025): Causada por Treponema pallidum, un espiroqueta gram-negativo. Globalmente, ~8M adultos (18-49a) adquirieron sífilis en 2022. En EE.UU., casos aumentaron 61% (2019-2023), con +112% en mujeres y +106% en sífilis
0
0
3
@markinho_gc
Marcos Gamboa
4 months
Esta revisión de la Enfermedad Hepática Metabólica (MASLD) del NEJM, es muy completa, desde el describir su afectación multisistémica, repasa la fisiopatología, pasando por la estratificación del riesgo. Brinda la información basada en evidencia sobre el tratamiento actual y
1
79
207
@rksanti
Santiago Oquendo MD
4 months
🧵📌 Nuevo guideline AHA/ACC 2025 en HTA: lo que realmente cambia tu práctica. 👇 1/14 🩺🎯 Meta universal: <130/80 mmHg para la mayoría de adultos. Ajusta según fragilidad, institucionalización y embarazo. Recordatorio de por qué importa: HTA = factor de riesgo más prevalente y
0
103
291
@rksanti
Santiago Oquendo MD
4 months
🧠🕒 ¿Y si te dijera que alteplasa podría ser útil hasta 24h después de un ACV isquémico? Te resumo la HOPE Trial publicada en JAMA 2025 📚👇 #MedicinaInterna #Neuro 🧵1/DOI:10.1001/jama.2025.12063 2/ 🔍 Pregunta de investigación: ¿Administrar alteplasa IV entre 4.5 y 24h mejora
2
117
369
@javier20ch
Dr. FEVI🫀🩺
4 months
Nueva Guía ACC 2025: PERICARDITIS. ☑️Nuevos criterios diagnóstico: 🔎 🔘Dolor torácico pleurítico o equivalente con presentación clínica sugestiva.💥 🔘Más ≥1 hallazgo adicional (0 = improbable, 1 = posible, +2 = diagnóstico definitivo). ▪️Frote pericárdico. 🫀❄️ ▪️Cambios en el
2
116
357
@rksanti
Santiago Oquendo MD
5 months
🚑Lower Urinary Tract Symptoms in Men JAMA 📢 ¿Disuria, urgencia, nicturia o chorro débil en hombres mayores? Los síntomas del tracto urinario inferior (LUTS) son comunes y tienen un impacto importante en la calidad de vida. 1️⃣📊 Hasta el 40% de los hombres >50 años presentan
0
41
126