rezaesh58 Profile Banner
Reza Eshraghi Profile
Reza Eshraghi

@rezaesh58

Followers
797
Following
771
Media
78
Statuses
397

Attending Physician at Moffitt Cancer Center, breast pathologist (NWMH), Cytology (LUMC), surgical pathology (UIC), Path trained at Loyola and Northwestern.

Florida, Tampa, USA
Joined March 2014
Don't wanna be here? Send us removal request.
@drHTBlungpath
Humberto Trejo Bittar, MD, FCAP
4 days
I am thankful for the privilege of teaching the next generation of pathologists at @MoffittNews. We are still looking to fill Moffitt’s Thoracic Pathology fellowship. Check us out #MedEd #lungpath #pathologyfellowship #fellowship #thoracic @NushaniMD https://t.co/ALLp8iYyGp
1
9
17
@drHTBlungpath
Humberto Trejo Bittar, MD, FCAP
2 days
Non-neoplastic lung pathology is a major part of my work at @MoffittNews. Consider training in thoracic pathology with us! We are still accepting fellows for 2026-2027. Today’s case: metastatic pulmonary calcification in a patient after massive transfusion #lung #pathology #MedEd
0
13
41
@drHTBlungpath
Humberto Trejo Bittar, MD, FCAP
2 days
I also serve as Medical Director of Autopsy at @MoffittNews. Today, our outstanding residents @USFpathology @SaraNickii were finalizing cases when we encountered a very severe case of leukostasis in AML, involving essentially all vessels and causing ischemia in multiple organs
0
17
61
@rezaesh58
Reza Eshraghi
2 days
Eosinophilic intranuclear inclusions (helioid bodies) are helpful features favoring UDH 2 possibilities exist about the helioid bodies: 1) They derive from modification of secretory granules sequestrated in an intranuclear inclusion 2) They develop by condensation of the contents
1
29
85
@MoffittNews
Moffitt Cancer Center
6 days
Live from #ASH25: Sara Niyazi, DO (@SaraNickii) discusses the heterogeneity of circulating CD57+ cytotoxic cell subsets across disease stage and aggressiveness in cutaneous T cell lymphoma. #MoffittASH25 @ASH_hematology
1
6
8
@rezaesh58
Reza Eshraghi
11 days
Displaced epithelial elements are located near the previous BX site. It is crucial to remember that this situation can be a significant diagnostic pitfall, and it should not be misinterpreted as invasive ca. Myoepithelial cells may be neg if cells have been displaced from the
0
9
29
@JameelZena
Zena Jameel
11 months
Come live and work in Tampa, FL for a year! We are accepting applications for the Oncologic Surgical Pathology Fellowship program at Moffitt Cancer Center for the 2027-2028 academic year. Please contact me if interested and visit website for more information.
0
4
2
@rezaesh58
Reza Eshraghi
1 year
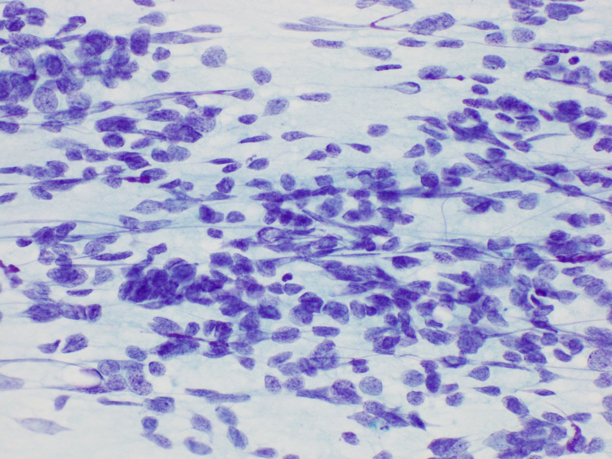
Trichs are socializing around the squamous table...
0
3
6
@rezaesh58
Reza Eshraghi
1 year
Mast Cell Density (MCD) has been reported significantly higher in tissue from fibroadenoma compared to normal breast tissue. However, the role of mast cells in the progression of benign breast fibroepithelial neoplasms is not completely understood and clear.
0
1
5
@rezaesh58
Reza Eshraghi
2 years
Depending on where the cells are originated from, the same cytomorphological features could be interpreted as benign or malignant. Pathology is totally an organ-based discipline. The following characteristics in the thyroid, pancreas, bile duct, etc. are considered
0
1
8
@rezaesh58
Reza Eshraghi
2 years
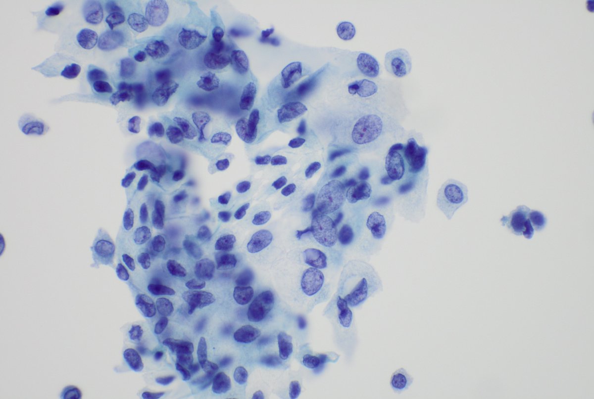
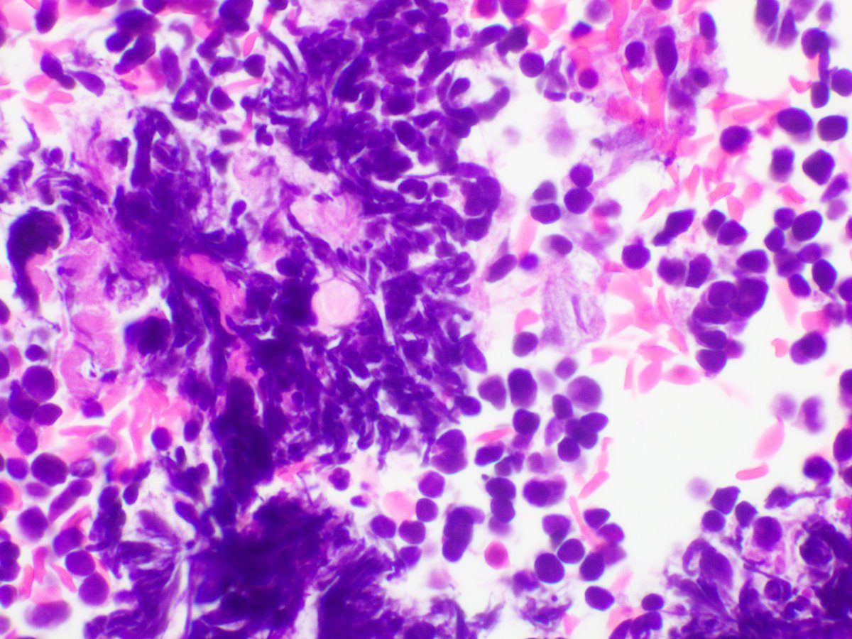
Elderly male patient with auricular mass. Mimicker of small cell carcinoma and large cell lymphomas. The below morphology should always make the pathologist consider MCC as one of the differentials in Rapid On-Site Evaluation (ROSE) of the cytology specimen. Note: Classic
0
0
3
@JameelZena
Zena Jameel
2 years
We have an unexpected opening for breast pathology fellowship at Moffitt Cancer Center for the 2024-2025 academic year. Please contact me if interested and visit our website for more details. https://t.co/pUJgmWXwfU
0
3
6
@rezaesh58
Reza Eshraghi
2 years
Breast cancer in the lymphatic space of dermis IHC: ERG
1
3
10
@Cristina_VargAP
A. Cristina Vargas
3 years
#HemPath #BreStPath Young woman presenting with breast mass Breast bx showing a florid process including necrotising granulomas. Large cells visible at low power 🥹
18
74
172
@atptour
ATP Tour
3 years
302
6K
32K
@LaverCup
Laver Cup
3 years
All the Fedal feelings. #LaverCup
634
12K
82K
@CAPFndn
CAP Foundation
3 years
The best prevention is an early detection. Loyola University Medical Center is hosting a #SeeTestTreat August 20th click here to learn about how this program has been saving lives in https://t.co/5aHTqSuOYo. #HealthEquity @eva_wojcik @LoyolaHealth
Tweet card summary image
foundation.cap.org
Loyola pathologist Dr. Eva Wojcik reflects on leading her fourth See, Test & Treat program, whose attendees included Hispanic, Polish, and Turkish patients
0
5
10
@rezaesh58
Reza Eshraghi
3 years
Pleomorphic adenoma of the breast. AKA benign mixed tumor. Rare tumor. Admixture of luminal epithelial and myoepithelial cells embedded in chondromyxoid /mucinous stroma. True osteoid changes may occur. Myoep cells are usually polygonal and singly throughout the stromal matrix.
3
9
38
@eva_wojcik
Eva Wojcik, MD
3 years
Proudly responsible for including Paris System for Reporting Urinary Cytology (TPS) in 5th Edition of WHO Urinary and Male Genital Tumors @cytopathology @mtsiddi @cjvand @ZMaleki_cyto @sza_jhcyto @barkanga @aakasharmand @NayarRitu @bfaquin @KMirza
9
44
208
@DrRosaPath
Marilin Rosa, MD
3 years
We are accepting applications for our 24-25 #breastpathology fellowship. This year we are part of the Unified Approach and common recruitment timeline. Send your application to Angie.Courtney@moffitt.org @JameelZena @rezaesh58 #breastpath #SPUnifiedApproach @MoffittNews
0
5
13