regintautami Profile Banner
Schmidt Jones Profile
Schmidt Jones

@regintautami

Followers
786
Following
2K
Media
762
Statuses
4K

︽✵︽ Mutant and Proud !! | I Love Food | Eat More Real Food 🏋️‍♀️🏃‍♀️ #everyrunhasapurpose

The Xavier Institut --Terran
Joined March 2019
Don't wanna be here? Send us removal request.
@regintautami
Schmidt Jones
3 years
Not everyone is going to support you 100 %
0
0
5
@regintautami
Schmidt Jones
6 days
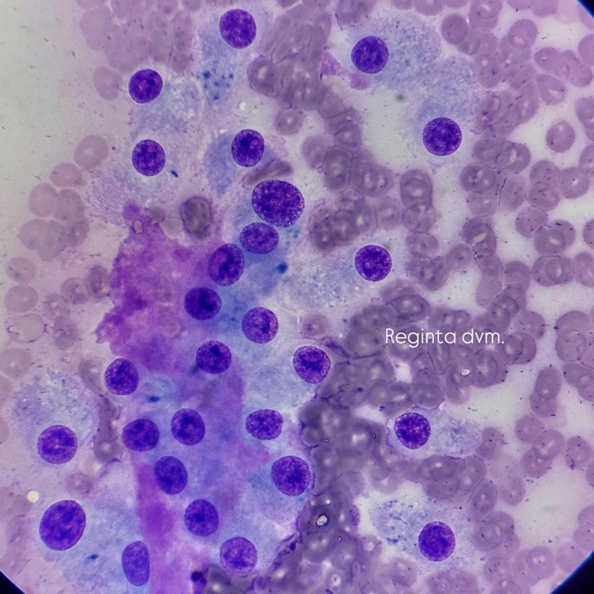
>> these finding are compatible with tyrosine, supporting a thyroid origin for the mass *i'm still studying and practicing* ✌️ #cytology #veterinarycytology #veterinaryclinicalpathology #vetpathology
0
0
0
@regintautami
Schmidt Jones
6 days
A cluster of uniform cuboidal to columnar epithelial cells.The cells are uniform in appearance with basilar nuclei displaying minimal anisokaryosis and moderate amounts of medium blue cytoplasm,containing variable numbers of irregularly sized blue-black granules in the cytoplasm
1
0
0
@regintautami
Schmidt Jones
6 days
Ventral Neck Mass in Dog (FNA) -- Thyroid Gland Tumor --
1
0
0
@regintautami
Schmidt Jones
10 days
The cat is healthy now And made a good progress Yeay
0
0
0
@regintautami
Schmidt Jones
10 days
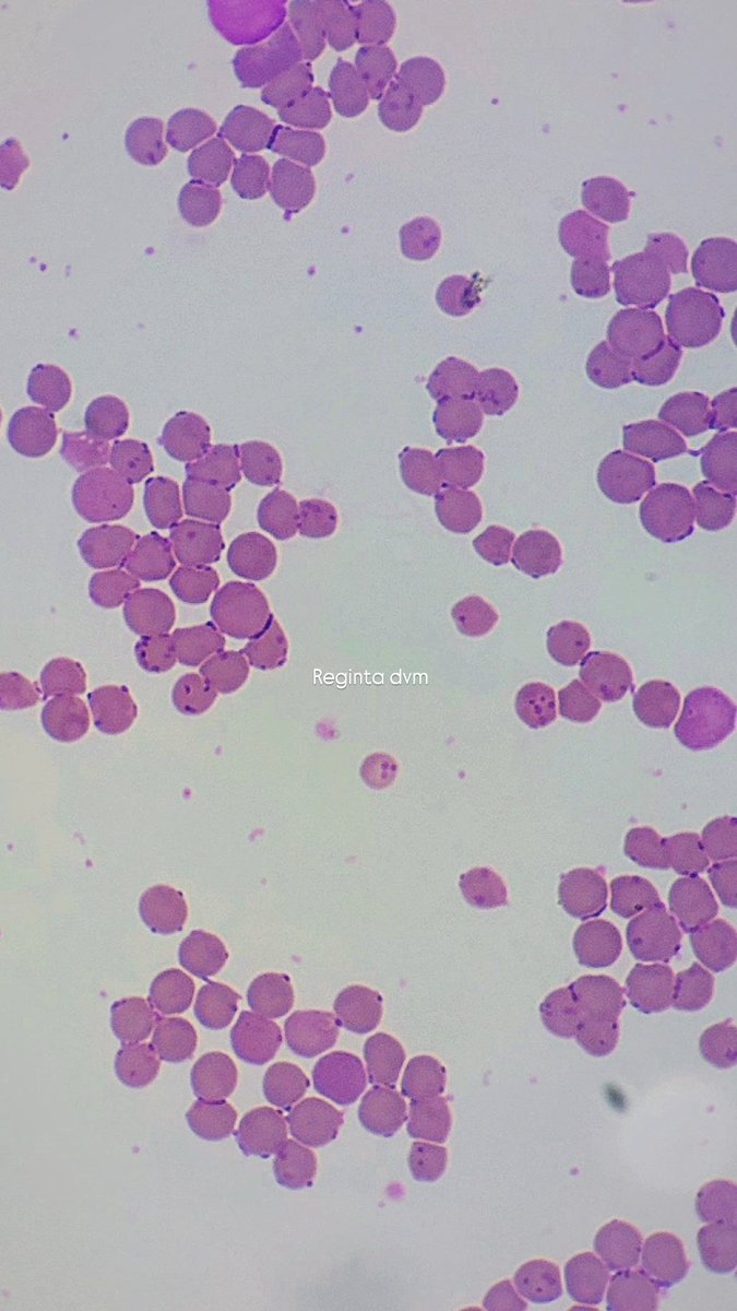
Cat with severe hemolitic anemia, trombocytopenia and jaundice Retic still high Mycoplasma felis PCR + Blood Smear + Agglutination RBC
1
0
1
@regintautami
Schmidt Jones
11 days
Day off? Apa itu? Di mimpi aja sampe masih pegang mikroskop
0
0
0
@MafiaWasit
Komisi Wasit
21 days
POV: Rizky Ridho ketika abroad di Bayern München dan ngobrol dengan Manuel Neuer
9
78
554
@princessWlLL
Cvnty Will
25 days
ts pissed me off even more how did they not notice this 😭
289
2K
91K
@regintautami
Schmidt Jones
24 days
Check out my 2025 LinkedIn Rewind! 🎬 Made with @coauthorstudio https://t.co/tZXZFzFacp
0
0
2
@regintautami
Schmidt Jones
28 days
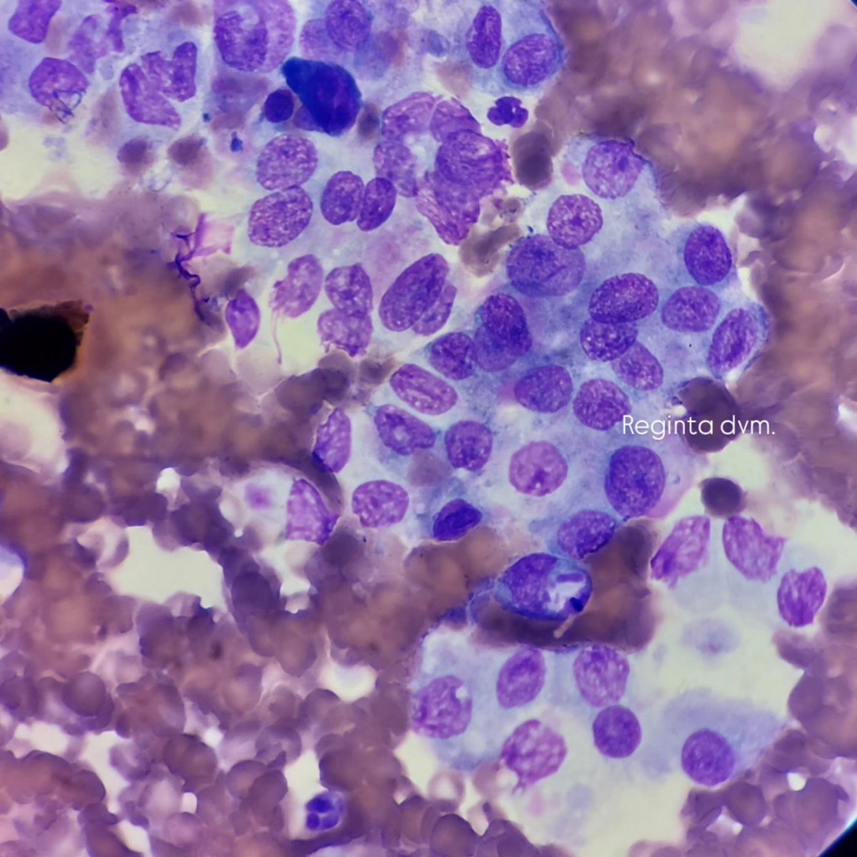
Macrophagic Inflammation
0
0
0
@regintautami
Schmidt Jones
1 month
Workshop penutup tahun yang sangat berkesan
0
0
6
@regintautami
Schmidt Jones
1 month
#Throwback Scope 20 Nov 2025 Singapore Zoo
0
0
3
@regintautami
Schmidt Jones
1 month
Harus kuat
0
0
0
@regintautami
Schmidt Jones
1 month
What is the point of life?
0
0
0
@regintautami
Schmidt Jones
1 month
Rasanya pengen ngilang
0
0
0
@regintautami
Schmidt Jones
2 months
Akhirnya merasakan rasa dan mencium bau Dan menelan sudah ga kyk menelan kaca
0
0
0
@regintautami
Schmidt Jones
2 months
Meriang oh meriang
0
0
0
@regintautami
Schmidt Jones
2 months
You all deserves this Mike :")
@mikeshinoda
Mike Shinoda
2 months
It’s hard to imagine that only a few years ago, we didn’t know if the band would continue. We’re so grateful for the warm welcome back Thank you for @linkinpark’s #Grammy nominations today: Best Rock Album (From Zero) & Best Rock Performance (The Emptiness Machine)
0
0
0
@regintautami
Schmidt Jones
2 months
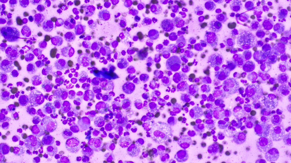
Cytology from Pyothorax in cat
0
0
7
@regintautami
Schmidt Jones
3 months
Rasanya kayak kesedot dementor
0
1
0