prof_alhamdan Profile Banner
أ. د.خالد الحمدان Profile
أ. د.خالد الحمدان

@prof_alhamdan

Followers
8K
Following
367
Media
247
Statuses
2K

🇸🇦✒️أكاديمي وإستشاري زراعة الأسنان وأمراض اللثة 🇺🇲البورد الأمريكي

الرياض
Joined April 2012
Don't wanna be here? Send us removal request.
@prof_alhamdan
أ. د.خالد الحمدان
8 years
ظاهرة #إنحسار_اللثة في المجتمع يبدو لي أنهامُنتشرة بكثرة ويتأخر تشخيصها في بعض الحالات إلى مراحل مُتقدمة.سيتم سرد الأسباب والعوامل المُساعدة وطرُق #الوقاية و #العلاج وأشياء أخرى تحت هذا #الهاشتاق ( #إنحسار_اللثة )و في حساب #الإنستجرام كذلك #السعودية #الرياض #القدية
78
95
411
@cachetmed
CACHET - مستشارك المتقدم للتدريب الصحي
27 days
✨ Highlights on indirect ceramic restorations activities 📷 @prof_alhamdan True Step forward for Postgraduate Education & Professional Development #Dentistry #CACHET #التطوير_المهني
0
1
2
@ImageDentClinic
مركز إمـج لطب الأسنان
28 days
🔵 زراعة فورية للأسنان. • • @prof_alhamdan
0
1
2
@prof_alhamdan
أ. د.خالد الحمدان
1 month
@ImageDentClinic زيادة سماكة #اللثة لتفادي إنحسار_اللثة مستقبلاً #صحة #الرياض #القدية #موسم_الرياض #Gingiva #gum_recession #teeth #riyadh #RiyadhSeason
0
1
1
@prof_alhamdan
أ. د.خالد الحمدان
2 months
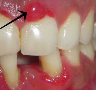
@ImageDentClinic حالة لسن تمت معالجة العصب و لم يتم تغطية السن مباشرة بتلبيسة مؤقته او دائمة نتج عنها صدع في السن مما ادى إلى خلع السن و تعويضه بغرفة سنية @ImageDentClinic #الرياض_الان #الرياض #موسم_الرياض #أمم_إفريقيا_2025
0
1
2
@ImageDentClinic
مركز إمـج لطب الأسنان
2 months
🔵 حالة مراجع تم تغطية الجذور المكشوفه بسبب انحسار اللثة، وذلك بإستخدام تسيج بديل عن نسيج سقف الحلق. • تم علاج الحالة من قبل البروفيسور. د. خالد الحمدان (أستاذ واستشاري أمراض وجراحة اللثة وزراعة الأسنان) @prof_alhamdan الرياض؛ ت: 0114836060 جوال: 0504836060
0
1
2
@ImageDentClinic
مركز إمـج لطب الأسنان
2 months
🔵 حالة لمراجع تم اجراء خلع الأسنان ووضع الزرعات السنية مباشرة بعد الخلع، كما يظهر من خلال الاجراء بعد مرور ٣ اشهر، سلامة اللثة ومكان الزراعة الصحيح والتركيب النهائي. الصورة مع التركيبة هنا بعد مرور سنة على الإجراء تُظهر سلامة اللثة والزراعة والتركيبة. • • تم علاج الحالة من
0
1
3
@Drwahabi91
د.عبدالملك الوهابي
3 months
شكرا عالتعقيب الجميل بروف 👌🤝
@prof_alhamdan
أ. د.خالد الحمدان
3 months
@Drwahabi91 التشخيص التشخيص التشخيص أهم خطوة في مرحلة العلاج عدم الوصول لتشخيص دقيق يؤدي إلى خطأ بل أخطأ في طرق العلاج.... شكرا دكتورنا. عبدالملك على هذه التغريدة. تتشابه خراجات اللثة مع خراجات العصب في ظاهرها. لذا لابد من تحديد السبب قبل البدء في العلاج.
3
1
4
@Drwahabi91
د.عبدالملك الوهابي
3 months
عند وجود خراج بجانب السن او الضرس يجب ان تتأكد هو بسبب امراض لثه perio او مشكلة العصب بالسن Endo او كلاهما ايهما بدأ أولآ عن طريق التشخيص الدقيق وفحص اللثه والانسجه والعظم والسن وعمل اختبارات له بالاضافه لانواع الاشعه المطلوبه بعدها يتم التشخيص وخطة العلاج بناء عليها عدم
6
13
145
@ImageDentClinic
مركز إمـج لطب الأسنان
3 months
🔵 حالة لمراجع تم اجراء خلع الأسنان ووضع الزرعات السنية مباشرة بعد الخلع، كما يظهر من خلال الاجراء بعد مرور ٣ اشهر، سلامة اللثة ومكان الزراعة الصحيح والتركيب النهائي. الصورة مع التركيبة هنا بعد مرور سنة على الإجراء تُظهر سلامة اللثة والزراعة والتركيبة. • • تم علاج الحالة من
0
1
1
@prof_alhamdan
أ. د.خالد الحمدان
4 months
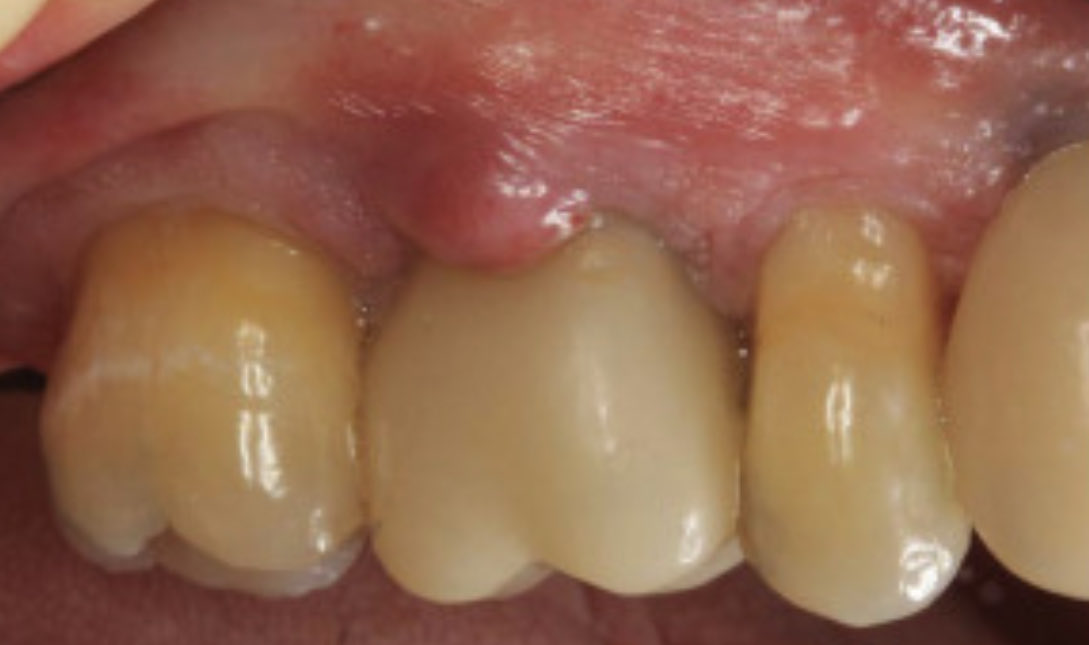
حالة لمراجع يعاني من #إنحسار_اللثة تم علاج المشكلة من خلال نسيج من سقف الحلق. نتيجة رائعة وثبات حتى بعد مرور ٧ سنوات من الإجراء. #الرياض #موسم_الرياض #موسم_الرياض_2025 ↘️⬇️↙️ @ImageDentClinic
1
1
5
@ImageDentClinic
مركز إمـج لطب الأسنان
4 months
🔵 هل تعاني من انحسار اللثة؟ وماهي الأعراض وطرق العلاج؟ • تمت الاجابة من قبل : أ. د. خالد الحمدان (أستاذ واستشاري أمراض وجراحة اللثة وزراعة الأسنان) @prof_alhamdan • للمواعيد؛ الرياض، ت؛0114836060 جوال: 0504836060
0
1
7
@ImageDentClinic
مركز إمـج لطب الأسنان
4 months
🔵 زراعة سن فورية لضرس طاحن. • تم علاج الحالة من قبل البروفيسور. د. خالد الحمدان (أستاذ واستشاري أمراض وجراحة اللثة وزراعة الأسنان) @prof_alhamdan #الرياض؛ ت: 0114836060
0
1
4
@prof_alhamdan
أ. د.خالد الحمدان
4 months
#الوقاية_خير_من_العلاج أثبتت الدراسات أنه في حال إجراء #تقويم_الأسنان عندما تكون اللثة من النوع الرقيق قد يحدث #إنحسار_اللثة مع مرور الوقت حتى لو بعد ٦ سنوات خصوصا في المنطقة الأمامية من الفم. في هذه الحالة تم تطعيم #اللثة لتفادي المشاكل المستقبلية. #موسم_الرياض #RiyadhSeason
1
0
3
@ImageDentClinic
مركز إمـج لطب الأسنان
4 months
🔵 عملية تغطية جذور الأسنان والنتيجة بعد مرور سنة على الإجراء. • @prof_alhamdan
0
1
4
@ImageDentClinic
مركز إمـج لطب الأسنان
5 months
🔵 صورة أشعة لحالة مراجع قام بعمل زراعة للأسنان قبل ١٥ عاماً في مركز إمج لطب الأسنان، تظهر ثبات وسلامة الزرعة السنية @prof_alhamdan إحجز موعدك اليوم مع استشاريي المركز، الرياض، ت: 0114836060 0504836060
0
1
4
@malbejede
mohaned
5 months
سعدنا اليوم بتطوع في تنظيم المحاضرة المميزة للجمعية السعودية لأمراض و جراحة اللثة من تقديم الدكاترة @prof_alhamdan @Omar_Alabood د.اياد الغنيم الشكر موصول لمدير الجمعية @amriperio وكل من يعمل فيها.
0
3
11
@DentisttHm
Dr.Mohammed
5 months
يوم جُمعة وجمعة مميزة في حضور محاضرة: Tissue & Tension: A Second Chance for Every Implant من تقديم نخبة من قامات مجال طب الأسنان في جراحة اللثة وزراعة الأسنان 🦷 من تقديم : @prof_alhamdan د.اياد الغنيم الشكر موصول لمدير الجمعية @amriperio وايضًا المشرف @Omar_Alabood 💙👏🏾🦷🦷
0
1
5
@Kruee90
Almukhalfi
5 months
تشرفت اليوم بقيادة فريق المتطوعين في حدث مميز جداً جداً من تنظيم @saudiperio وخلاله اجرينا مقابلات مع قامات علمية في طب الاسنان في المملكة العربية السعودية @prof_alhamdan @Omar_Alabood د.اياد الغنيم واخص بالشكر مدير الجمعية @amriperio وكل من يعمل فيها على حرصهم واهتمامهم
0
3
15
@prof_alhamdan
أ. د.خالد الحمدان
5 months
@saudiperio
Saudi Society of Periodontology &Implant Dentistry
5 months
Saudi Society of Periodontology & Implant Dentistry Upcoming Scientific Activities #SSPIReach "Tissue & Tension: A Second Chance for Every Implant (Symposium)" 🗓️12 Sep, 2025 ⏰ 01:00 PM 🇸🇦 📍Dorat Najd Resort, Ryiadh, KSA. Register Now! 🔗for registration scan the QR code
0
0
1
@saudiperio
Saudi Society of Periodontology &Implant Dentistry
5 months
Saudi Society of Periodontology & Implant Dentistry Upcoming Scientific Activities #SSPIReach "Tissue & Tension: A Second Chance for Every Implant (Symposium)" 🗓️12 Sep, 2025 ⏰ 01:00 PM 🇸🇦 📍Dorat Najd Resort, Ryiadh, KSA. Register Now! 🔗for registration scan the QR code
0
2
3