pizquierdog Profile Banner
Paula Izquierdo Profile
Paula Izquierdo

@pizquierdog

Followers
151
Following
238
Media
18
Statuses
62

Urologist at Fundació Puigvert

Joined January 2022
Don't wanna be here? Send us removal request.
@pizquierdog
Paula Izquierdo
11 days
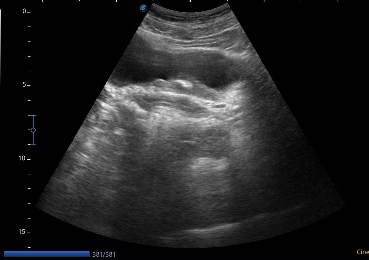
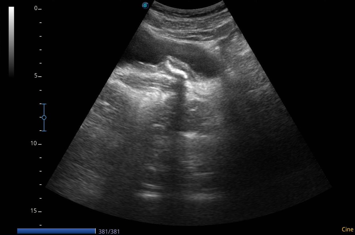
Complete fragmentation of a distal ureteral stone by #ESWL. Radiological and Ultrasound verification. Small stones are also fun!! @FPuigvert @oangerri @koey_kana @paoloverri05 @a_bravo_balado @joanfundi
0
3
13
@pizquierdog
Paula Izquierdo
13 days
Un altre any més #Tips quirúrgics al #28SimposiSCU @ISchwartzmann resumint pas a pas els punts claus de l'EEP!! @scurologia @DrJM_Gaya @FPuigvert
0
2
6
@pizquierdog
Paula Izquierdo
15 days
Wonderful MiniECIRSs with high power lasers today. Ho:YAG and Tm:YAG examples! Enjoying EAU Masterclass on Lasers in Urology. @Uroweb @oangerri @koey_kana @a_bravo_balado @paoloverri05 @FPuigvert
0
2
10
@joanfundi
Joan Palou Redorta
1 month
New staff at ⁦@FPuigvert⁩: ⁦@malvessa2⁩ in Uroncology, ⁦@SQuevedoM⁩ in Functional Urology and ⁦@a_bravo_balado⁩ and ⁦@pizquierdog⁩ in the Stone Unit. Great people, excellent future!! Happy to have them on Board!👌
0
7
29
@JHernandez_RX
Jonathan A. Hernández Mancera
5 months
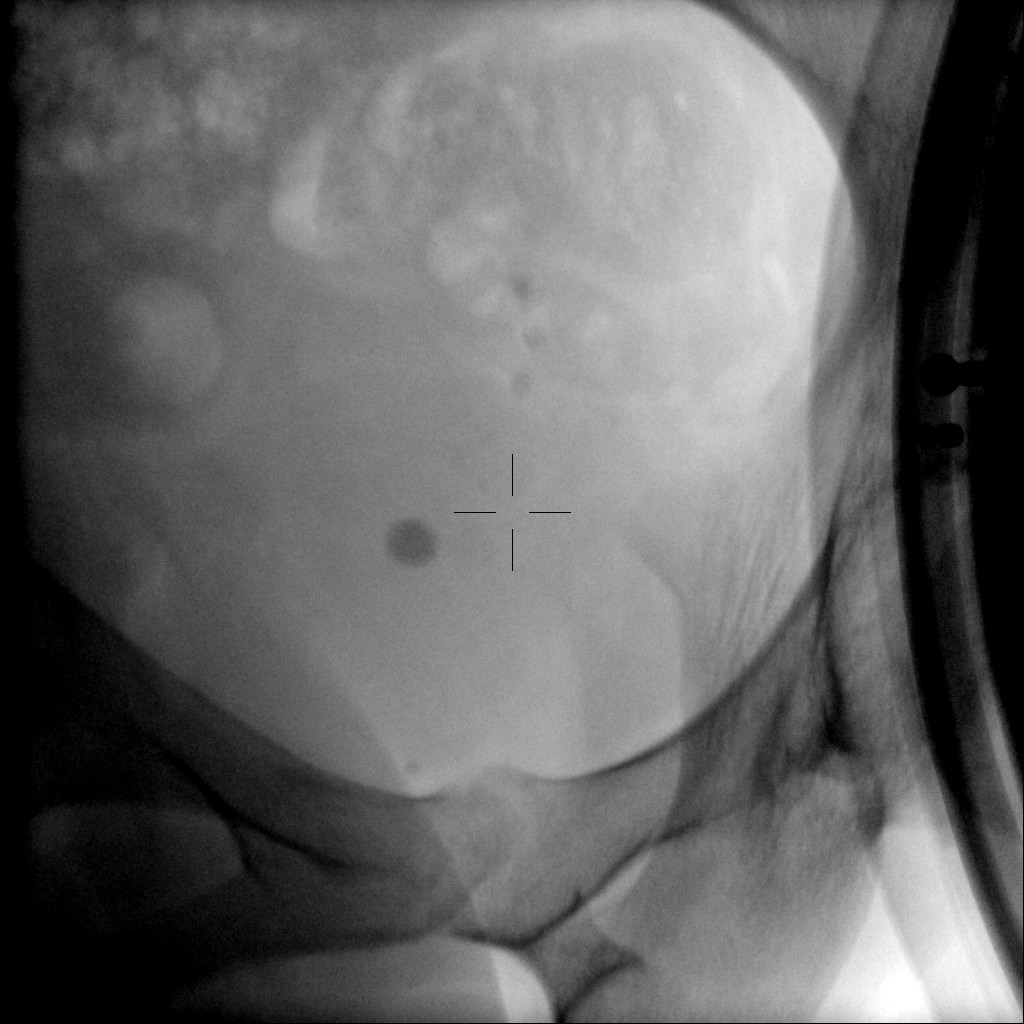
Sometimes, plain films 💾 can still give us very important information before moving on to other imaging techniques 💻. Which genitourinary congenital condition can be inferred in this KUB X-ray? 🧐 @ESUR_JN @residentesSERAM @EsgarSociety @_uroima
2
2
9
@DrFelixGuerrero
Félix Guerrero-Ramos
5 months
Excelente trabajo de un gran amigo al que admiro por su labor, solidez científica, y enorme trabajo a cargo de @actasurologicas ENHORABUENA @RodriguezFaba por tu ímprobo trabajo mejorando nuestra revista @InfoAeu
3
10
31
@pizquierdog
Paula Izquierdo
5 months
Último curso del #CongresoNacional2025. Nefrolititomia percutánea de lo básico a lo avanzado. Casos clínicos y consejos de expertos!! @dperfen @drmarcoscepeda @ramon_cansino
0
3
9
@pizquierdog
Paula Izquierdo
5 months
Gracias a la @InfoAeu por el primer premio Julián Gutiérrez de Toledo, por el trabajo sutura manual vs mecánica en cistectomia radical presentado en #CongresoNacional2024. Este trabajo es la tesis de @UROGavrilov. @RodriguezFaba @AlbertoBreda1 @joanfundi
7
4
26
@pizquierdog
Paula Izquierdo
5 months
En el curso de adiestramiento de #TumoresUroteliales de la @InfoAeu. Listos para aprender de los mejores expertos!! #ComiteMultidisciplinar #Nacional2025 @RodriguezFaban @DrFelixGuerrero @malvarezmaestro @mjuanfi81
0
5
15
@FPuigvert
Fundació Puigvert Barcelona
6 months
👨‍🎓👩‍🎓 Aquesta iniciativa pionera, única a Espanya, consolida el lideratge de la Fundació #Puigvert i la @UABBarcelona en formació especialitzada en cirurgia robòtica urològica. Ja representa el 56% de les intervencions robòtiques al país!
1
4
6
@albasierrad
Alba Sierra del Rio
6 months
@albasierrad
Alba Sierra del Rio
6 months
0
3
12
@sbinhamrii
Saeed Bin Hamri
6 months
🎶 Somebody to LOVE By Queen 🎵 #Endourology
2
10
90
@joanfundi
Joan Palou Redorta
6 months
Excelent ⁦@ResidentesAEU⁩ team in ⁦@FPuigvert⁩: three “New” urologists ready to spread their PUIGVERT experience! Intensive and productive 5 years! ⁦Dra Paula Izquierdo, Dr Raúl Sanchez and Alba Farré.⁩
0
6
20
@FPuigvert
Fundació Puigvert Barcelona
7 months
El temps passa molt ràpid!!🥹 Els residents homenatjats avui, al costat dels directors dels serveis de Nefrologia, Lluís Guirado, d’Urologia, @joanfundi i de Psicologia Clínica, @francescmaestre.
0
10
43
@RodriguezFaba
Óscar Rodríguez Faba
7 months
This month in @actasurologicas words of wisdom-editorial by @ISchwartzmann Mastering the curve: Advances and challenges in teaching endoscopic en... https://t.co/WCYzuqLAEz
1
5
14
@dperfen
Daniel Pérez Fentes
7 months
Hoy termina con nosotros su estancia de 2 meses la doctora @pizquierdog Brillantez, pasión, ilusión, interés, talento, motivación, sencillez, humildad, generosidad. Con estos mimbres, será una de las mejores endourólogas en breve. Mucha suerte amiga! Aquí tienes tu casa 🫶
3
4
34
@urotoday
UroToday.com
7 months
Laparoscopic surgery for renal tumors in patients aged 85 years and older. #AuthorCommentary Laparoscopic renal cancer surgery is feasible in patients ≥ 85, but not without risks. New data from Spain show higher morbidity in urinary tract tumors vs renal tumors. Age alone
3
3
6
@pizquierdog
Paula Izquierdo
7 months
Is age just a number when it comes to laparoscopic oncological surgery? 🔍 Our study explores the safety and outcomes of laparoscopic surgery in patients 85+ with renal/urothelial tumors. Insightful findings you don't want to miss! 👇 🔗 https://t.co/R0mfkKqxeS @jorhuguet1
0
0
4
@FPuigvert
Fundació Puigvert Barcelona
8 months
Today in #PiS: #Robot-assisted video-endoscopic inguinal lymphadenectomy with the Hugo™️ RAS System: surgical set-up and initial experience. "On penile cancer, we would be able to have new indications for penile cancer on configurations for this new robotic platform"
1
11
31