
Penny Smyth
@penvs17
Followers
74
Following
221
Media
8
Statuses
187
MS Neurologist, divisional director neurology, University of Alberta
Edmonton, Alberta
Joined January 2016
👩🏻💻 Our review on Radiologically isolated syndrome (aka presymptomatic MS) is out! We discussed 📚 updated diagnostic criteria 📚 risk factors and biomarkers for symptomatic MS transition and prognosis AND 📚RIS treatment @XtineLebrunF
1
15
41
As we head into a long weekend, we encourage the U of A community to wear orange shirts on Sept. 30 and Oct. 1 to honour the experiences of children stolen from their families and placed in residential schools. Learn more about Orange Shirt Day and the events from First
0
20
25
Ocrevus and rituximab don't work in primary progressive MS? This French Observational study of 1,184 people found those taking these drugs had similar rates of disability progression (when correcting for other confounders) than people not taking them.
neurology.org
Background and ObjectivesAlthough rituximab failed to demonstrate a significant effect on disability progression in primary progressive multiple sclerosis (PPMS), ocrelizumab succeeded. Our main...
5
22
61
Summary of Aphasia 📖 Reference: Color Atlas of Pathophysiology Thieme #Pediatric #Neurology #Behavioural 🧠
0
438
2K
“We must continue to have empathy for each other, to learn from each other and to find ways that together we can imagine a different future.” As communities celebrate National Indigenous History Month and honour the heart work led by Indigenous colleagues, past and present, Dr.
0
13
23
Ofatumumab-induced severe reactivation of psoriasis in a person with #MultipleSclerosis: Watch out comorbid psoriasis in the context of B-cell-depleting therapies! Case report from @jlugiessen ▶️ https://t.co/rrsvhqys5g
1
14
34
Mobility impairment is one of the top problems associated with multiple sclerosis (MS). Losing mobility and motor function may have major consequences on the quality of life. Check out strategies that may help with improving motor abilities: https://t.co/3CZLocXdyO
mymsteam.com
Mobility impairment is one of the top problems associated with multiple sclerosis (MS). Fifty-six percent of people diagnosed with MS reported a loss in mo
0
3
8
Best advice I ever received as a trainee, “Be gracious to the nurses you work with. They’ll move mountains for you and the patient’s you care for together.” Too many examples of nurses moving mountains for me and our pts over 12 yrs of rural practice. 🙏🏼 #NursingWeek2024
This National Nursing Week, @CFNUPresident Linda Silas recognizes the incredible value of every nurse from coast to coast to coast. #NursingWeek2024 #NurseTwitter #cdnhealth #canlab
3
49
152
This month, the Royal College of Physicians and Surgeons of Canada (@Royal_College) announced that Dr. Melanie Lewis has been appointed to lead a new initiative to address burnout among healthcare providers. Read the story: https://t.co/o2KLiskUlm
0
2
3
Ocrevus vs. Kesimpta for MS. Which is better? According to this observational study in Italy (396 participants, mean follow up 13.2 months), they are absolute equal with similar relapse rates and "no evidence of disease activity" (NEDA-3) https://t.co/mnvFngDpsy
10
22
96
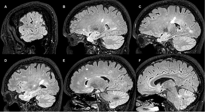
A 61 year old woman developed painless vision loss in the left eye in her 20s and later had a second episode of vision loss and then decades later slurred speech. MRI showed THIS. Multiple sclerosis? No! Her brother also had painless severe bilateral vision loss. Diagnosis?
14
21
106
Canada causes multiple sclerosis. According to this study on 1.5 million immigrants to Canada, the higher proportion of their life spent in Canada, the greater their risk of MS.
neurology.org
Background and ObjectivesWhile immigrants to high-income countries have a lower risk of multiple sclerosis (MS) compared with host populations, it is unknown whether this lower risk among immigrants...
6
13
45
“We do have a responsibility to address the societal context of people with #MS," says @drruthdobson of @QMUL on the importance of considering social factors of health. Read more about diversity in MS care & research in our latest ECTRIMS Insights ➡️ https://t.co/0Y1UGdvURE
0
5
12
The PNS Nurse Program: A Health Care Support Concept for Patients With Immune-Mediated Peripheral Nervous System Diseases https://t.co/CsZHZ9I96W
#NeuroTwitter
1
3
5
Learning Through #Teaching: How #Physicians Learn Medicine in Authentic Clinical Contexts: https://t.co/VoOs5xrvMC.
#MedEd
0
5
10
Designing an educational program? Check out this 1-pager that provides tips on how to select and interpret 3 commonly used #educational pyramids: https://t.co/Ny1KNIrQRd.
#MedEd (2022)
0
3
8
Sometimes I see horrible things at work. And I need to just take the long way home. To work through it. Measure it out. My path through the midnight Underbrush is lit by moonlight, and it undulates wildly Forcing me to focus on everything that Wasn’t that.
57
38
936
📣 We now have collections of Last Pages curated by topic! Check out these collections of 1-page primers on #advocacy, #DEI, education and learning theory, #assessment, and more: https://t.co/X9orVJSkH3.
#MedEd
0
3
5
The April 2024 issue of Neurology: Clinical Practice is now available: https://t.co/voBo3vsjh4 This issue's cover art, "Seizing Serenity—The Encephalitic Canvas Unveiled" is by Sasivimol Virameteekul, MD. #NeuroTwitter @Bella_Sasivimol
1
11
33