pabsala Profile Banner
Pablo Salazar, MD Profile
Pablo Salazar, MD

@pabsala

Followers
147
Following
199
Media
15
Statuses
73

Board Certified Cardiac Electrophysiologist via @UChicagoMed, @UChicago, @uchicagohvc, @Uchicagocardio

Talcahuano, Chile
Joined September 2011
Don't wanna be here? Send us removal request.
@pabsala
Pablo Salazar, MD
2 months
Great PVC case today. One burn and gone. Male, 30% PVC burden, EF 42%. Thanks to @ignespinozac for the map. @DrRoderickTung @hhuang123 @andresenriqueza @FellowEP
1
1
5
@pabsala
Pablo Salazar, MD
8 months
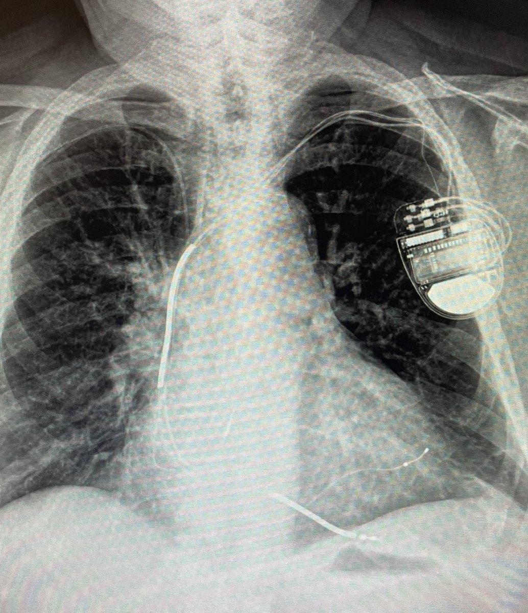
Bye bye anesthesiologists!…first S-ICD implanted only with local anesthesia in Chile!!!…at Hospital last Higueras Talcahuano…many thanks to @JorgeERomeroMD for his instrumental manuscript. @FellowEP @hhuang123 @DrRoderickTung @andresenriqueza @Yurgeny @BostonSciLatam
3
3
13
@pabsala
Pablo Salazar, MD
11 months
Parahisian PVC, always a challenge to ablate arrhythmias in this region. “We aware of your neighbors @DrFerminGarcia used to say”. Ablated from RCC. @andresenriqueza @FellowEP @DrRoderickTung @hhuang123
2
3
21
@pabsala
Pablo Salazar, MD
1 year
Always loving collaboration with my buddy @FellowEP . Today we did, to the best of our knowledge, the first ISP-LV access in Chile. To tackle a VT storm with mechanical AV and MV. @hhuang123 @DrRoderickTung @Dr_Santangeli @andresenriqueza @ABeaser @gauravaupadhyay
0
5
41
@pabsala
Pablo Salazar, MD
1 year
Cardioneuroablation. 30 yo male, coming with weeks of fatigue, dizziness, syncope. ECG sinus Brady 40 bpm. No reversible causes. Atropine test 40>>95 bpm. Final HR 98 bpm, no atropine response.@hhuang123 @FellowEP @DrRoderickTung @gauravaupadhyay
6
6
52
@pabsala
Pablo Salazar, MD
2 years
Third Micra @MDT_Cardiac at Las Higueras Hospital, Chile. The program continues growing. @FellowEP @ABeaser @gauravaupadhyay @DrRoderickTung @LAHRSonline1
2
0
4
@pabsala
Pablo Salazar, MD
2 years
Second Micra implant at Las Higueras Hospital, Chile. Our program continues growing. @ABeaser @HNayakEP @DrRoderickTung @gauravaupadhyay @FellowEP @MDT_Cardiac
1
0
8
@pabsala
Pablo Salazar, MD
2 years
First Micra AV implant at Hospital las Higueras, Chile!!!… excellent result, thanks to the @MDT_Cardiac team support….@HNayakEP @ABeaser @DrRoderickTung @FellowEP @gauravaupadhyay
3
0
3
@pabsala
Pablo Salazar, MD
3 years
Happy to share our early experience with lead extraction, thanks to @HNayakEP and @ABeaser for their support. @uchicagohvc.
2
1
7
@pabsala
Pablo Salazar, MD
4 years
Another successful extraction. This was a challenging one for an early career, “flying solo” extractor. High risk extraction, Morbid obese, with 11 yo CRT-D, dual coil, pace dependent. Coming with sepsis, positive BC and lead vegetations. Thanks @HNayakEP @ABeaser for the wisdom
0
1
11
@CirculationEP
CircEP
4 years
Human Recordings of Left Atrial Epicardial-Endocardial Asynchrony During Persistent Atrial Fibrillation @DrRyanBurris @DrRoderickTung #AHAJournals #Epeeps https://t.co/Mv5GaRxfce
Tweet card summary image
ahajournals.org
0
20
44
@pabsala
Pablo Salazar, MD
4 years
Another successful lead extraction from our growing program. Pocket infection with lead exposure after generator change in a community hospital, transfer to us for management. A 10 yo lead. Applying @HNayakEP @ABeaser wisdom.
2
0
21
@hrs_journal
HeartRhythm
4 years
EMPIRIC ABLATION OF POLYMORPHIC VENTRICULAR TACHYCARDIA/FIBRILLATION IN THE ABSENCE OF A MAPPABLE TRIGGER: Prospective Feasibility and Efficacy of Pacemap Matching to Defibrillator Electrograms, by @DrRoderickTung and colleagues
1
8
40
@pabsala
Pablo Salazar, MD
4 years
Excited to share our approach for this challenging entity, thanks to @DrRoderickTung and all the Uchicago team for an amazing fellowship and mentoring.
@DrRoderickTung
Roderick Tung
4 years
EMPIRIC ABLATION OF POLYMORPHIC VENTRICULAR TACHYCARDIA/FIBRILLATION IN THE ABSENCE OF A MAPPABLE TRIGGER: Prospective Feasibility and Efficacy of Pacemap Matching to Defibrillator Electrograms (SITE)
2
1
12
@DrPengShengChen
Peng-Sheng Chen, MD
4 years
"EMPIRIC ABLATION OF POLYMORPHIC VENTRICULAR TACHYCARDIA/FIBRILLATION IN THE ABSENCE OF A MAPPABLE TRIGGER: Prospective Feasibility and Efficacy of Pacemap Matching to Defibrillator Electrograms" by Roderick Tung et al had been accepted for publication by Heart Rhythm.
1
4
38
@DrRoderickTung
Roderick Tung
4 years
Nice write-up of rare and dramatic pleiomorphic VT case @pabsala. Refractory Ventricular Tachycardia Originating From an Intracardiac Me... https://t.co/DRojFh7gvL @JACCJournals #ablateVT
1
6
33
@pabsala
Pablo Salazar, MD
5 years
Map by @Noozie2
0
0
3
@pabsala
Pablo Salazar, MD
5 years
1
0
3
@pabsala
Pablo Salazar, MD
5 years
Amazing case (1:38h) endo/epi VT ablation (2 prior failed endocardial ablations at OSH). Great epicardial circuit and nice example of Non-propagated stimulus @DrRoderickTung
1
5
21
@pabsala
Pablo Salazar, MD
6 years
Period...
@mayorlightfoot
Archived: Mayor Lori E. Lightfoot
6 years
I’m not playing. Stay home (your own home). Save lives. https://t.co/jPUdaRsoTp
0
0
1