morrisonMSK Profile Banner
 William Morrison, MD Profile
 William Morrison, MD

@morrisonMSK

Followers
12K
Following
30K
Media
4K
Statuses
9K

Past President, Society of Skeletal Radiology. Inventor of the steerable needle (https://t.co/KrmBIwqzcl) Co-Founder, https://t.co/wEpjAOpK9m

Philadelphia, PA
Joined February 2012
Don't wanna be here? Send us removal request.
@morrisonMSK
 William Morrison, MD
5 years
Hi all! My startup Trace Orthopedics has developed a percutaneous tendon repair device- we are looking for early investors (eligible for 20% discount). We also support self-directed IRA investment. Visit https://t.co/GJFVr9jsZx and click on ‘Investors’. Or contact me directly!
22
49
274
@morrisonMSK
 William Morrison, MD
8 hours
Post apocalyptic stories are always so popular, why don’t we make an apocalyptic theme park for the kiddies? -Zombie Funpark -Alien Invasion World -Robot Revolt Zone -Nuclear Winter Wonderland
0
0
1
@morrisonMSK
 William Morrison, MD
19 hours
3
0
5
@morrisonMSK
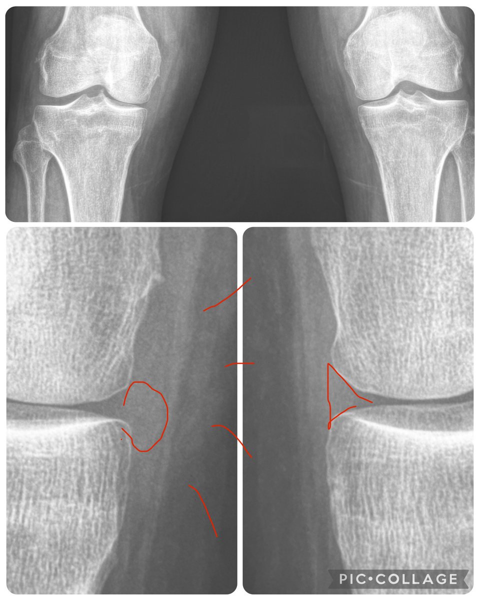
 William Morrison, MD
19 hours
Before attributing ‘joint space narrowing’ at the knee to arthritis, take a look at the meniscus (yes, you can faintly see menisci on radiographs) - often the narrowing is due to meniscal extrusion, which in turn is related to meniscal tear.
1
2
8
@morrisonMSK
 William Morrison, MD
1 day
I found that he had learned basic Russian, presumably in case he was shot down. This is all when I was 2 years old
0
0
3
@morrisonMSK
 William Morrison, MD
1 day
Just got a trove of documents from US Navy re: my dad’s military service. He was a fighter pilot in WW2 and Korean War. His specialty was aerial photography of enemy forces. During the Cold War he flew around Russia to monitor incursions as part of the US early warning program.
1
0
6
@morrisonMSK
 William Morrison, MD
2 days
Watching Pluribus and thinking that Kirk McCoy and Spock would have fixed everything in one episode @WilliamShatner
0
0
2
@morrisonMSK
 William Morrison, MD
2 days
It’s almost Christmas, where can I find a partridge in a pear tree
1
0
1
@morrisonMSK
 William Morrison, MD
3 days
I get the feeling that if we ever go the Soylent Green route, RFKjr will be out there demanding we don’t pasteurize it
0
0
0
@morrisonMSK
 William Morrison, MD
5 days
Cat has a new box seat when we watch TV together
1
0
4
@morrisonMSK
 William Morrison, MD
5 days
Spotted in the woods
1
0
0
@morrisonMSK
 William Morrison, MD
8 days
Me tomorrow, getting consent from a patient for bone biopsy: “don’t worry- for pain control we will be using a weapon of mass destruction”
@JenniferJJacobs
Jennifer Jacobs
8 days
Fentanyl will be classified as a weapon of mass destruction via an EO today, Trump says.
0
0
3
@morrisonMSK
 William Morrison, MD
8 days
Happy early birthday to me and my birthday buddy Brad Pitt, a mere two days apart in age!! (I’m older)
1
1
6
@morrisonMSK
 William Morrison, MD
8 days
Legend has it, if you rub your knee hard enough a magic genie will appear
2
4
85
@morrisonMSK
 William Morrison, MD
8 days
I have an automated response to any CEOs who @ me
1
0
1
@morrisonMSK
 William Morrison, MD
8 days
Yes, AI will have a big impact on many aspects of life. It will disrupt the current job market. But I find it hilarious that tech CEOs are oblivious to the fact that their skillset is possibly the most easy to replace
@mcuban
Mark Cuban
9 days
Creators should LOVE Ai. AI doesn’t make uncreative people creative. It allows creators to become exponentially more creative. Creative iteration that used to take hours , days or weeks, can happen in minutes. The different routes you wanted to take but didn’t have the
1
0
2
@morrisonMSK
 William Morrison, MD
9 days
0
0
8
@morrisonMSK
 William Morrison, MD
9 days
Ready for a wild night in NYC
0
0
5
@morrisonMSK
 William Morrison, MD
9 days
40 Tesla MRI (Metro Intersection)
0
0
11
@morrisonMSK
 William Morrison, MD
10 days
Honestly wasn’t expecting this
1
0
5
@morrisonMSK
 William Morrison, MD
10 days
Waiting for Waiting for Godot
1
0
5