macromik Profile Banner
Mickaël OHANA Profile
Mickaël OHANA

@macromik

Followers
7K
Following
14K
Media
666
Statuses
7K

PU-PH en Radiologie au CHU de Strasbourg, spécialisé en imagerie cardio-vasculaire et thoracique. Cardiovascular and chest radiologist in Strasbourg, France.

Strasbourg, France
Joined November 2009
Don't wanna be here? Send us removal request.
@macromik
Mickaël OHANA
3 years
🫣 Vous êtes 55% à privilégier la rapidité/facilité de prise de RDV vs l'expertise du radiologue, lorsqu'un examen non urgent est nécessaire. 😄 Je m'attendais à pire, mais c'est déjà trop ! 🧐 Je vous explique en 3 raisons essentielles pourquoi ⬇️ https://t.co/hb6Bz7VuBu
@macromik
Mickaël OHANA
3 years
⚠️ Question importante pour patients et médecins : Quand vous avez besoin d'un scanner/IRM *non urgent* pour vous ou vos patients, vous privilégiez
11
12
33
@macromik
Mickaël OHANA
3 days
Si vous avez aimé : partagez et commentez 🙏
0
0
2
@macromik
Mickaël OHANA
3 days
Un cas exceptionnel qui montre que l'analyse fine du scanner est indispensable. La radiologie C'EST DU SOIN ! Regardez le dossier dans son intégralité ici ⬇️ https://t.co/mxlYT1u490
2
0
6
@macromik
Mickaël OHANA
3 days
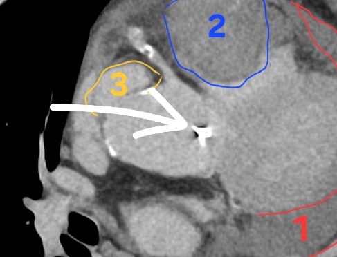
Bonus : la cause est visible ici ! En limite de champ on voit un bout de bioprothèse aortique. Le patient avait déjà été opéré... Il y a probablement eu endocardite (d'où la fièvre...) et rupture aortique sur ancien trajet de CEC...
1
0
2
@macromik
Mickaël OHANA
3 days
En 3 : une image d'addition en regard de l'aorte ascendante. Ça n'est PAS normal. C'est très dur à détecter quand on n'a pas l'habitude ou qu'on ne le recherche pas... C'est ça la cause de l'hémopericarde. Regardez la vidéo pour bien voir comment on repère cette anomalie
1
0
2
@macromik
Mickaël OHANA
3 days
En 2 : un hématome intra péricardique. Ça c'est plus dur à détecter et déterminer, regardez la vidéo pour bien comprendre. Ça nous fait affirmer que 1 est forcément pathologique, et doit nous faire absolument rechercher la cause.
1
0
2
@macromik
Mickaël OHANA
3 days
En 1 sur l'image : épanchement péricardique circonférentiel, assez dense. C'est l'hémopericarde. En règle général tout le monde le voit, c'est la première anomalie à attirer l'oeil. La voir doit faire demander : pourquoi ??
1
0
1
@macromik
Mickaël OHANA
3 days
Alors que l'on pensait à une embolie ou une infection chez cet homme avec fièvre et douleurs thoraciques... Le scanner découvre une rupture aortique avec hémopéricarde 😱 Revenons en détails sur les 3 choses essentielles à ne pas rater sur cette coupe, avec petit bonus après ⬇️
2
3
17
@macromik
Mickaël OHANA
4 days
Qui se souvient de ce Banger des JFR2021 ?? Quelle barre de rire 🤣🤣🤣 "on passe par un trou mais c'est pas celui que vous croyez" ⬇️ https://t.co/9yGBuOU06X
1
0
1
@macromik
Mickaël OHANA
4 days
Il y a 3 choses essentielles à voir sur cette seule coupe axiale, injectée, acquise au temps portal. Evidemment les 3 sont reliées et permettent de faire le diagnostic global ! Un indice : ce n'était pas ce qui était suspecté par les urgentistes 😅
1
0
4
@macromik
Mickaël OHANA
4 days
🤯Un cas très difficile, mais tout est sur cette unique image de scanner : arriverez vous à faire le diagnostic ? Contexte donné par les urgentistes : 72 ans, pneumopathie, mauvaise évolution clinique à J3 du traitement. Recherche EP, surinfection, abcédation. 🤔Vos avis ?
8
1
14
@macromik
Mickaël OHANA
10 days
Le message essentiel à retenir : toujours regarder le cœur sur vos scanners, y compris un "bête" scanner abdomino-pelvien injecté au temps portal. Parfois l'information présente change réellement la prise en charge du patient !
0
1
1
@macromik
Mickaël OHANA
10 days
Je me suis rendu compte, après coup, que j'avais fait une vidéo quasi identique il y a un an ! Et où je racontais, de mémoires la même chose... ⬇️ https://t.co/KJmNPJuAmB (On va donc pouvoir comparer la corrélation intra-lecteur sur 1 cas 🤣)
1
0
0
@macromik
Mickaël OHANA
10 days
Je me rend compte que je radote 😅😅😅 Voici une histoire radiologique sur laquelle je reviens régulièrement: des douleurs thoraciques un peu atypiques, chez un sujet jeune... Et qui au scanner se révèlent être un infarctus ! Toujours être vigilant ! 🧐⬇️ https://t.co/YMRIs30BSK
1
1
1
@macromik
Mickaël OHANA
17 days
Je vous propose un beau dossier d'oncologie thoracique. Une patiente avec une néoplasie pulmonaire métastatique, qui répond spectaculairement bien à l'immunothérapie... Sauf sur une zone du poumon. Qu'est-ce que c'est au final ? Analyse fine du scanner ⬇️ https://t.co/bGz06BHolC
0
0
5
@macromik
Mickaël OHANA
24 days
🥵 Une colique néphrétique, ça fait HYPER mal et le diagnostic est quasiment toujours clinique... 🤔 Alors à quoi peut servir le scanner ? ➡️ A plein de choses comme toujours (diagnostic, pronostic,...) Un bel exemple pour voir en direct et comprendre 🤓⬇️ https://t.co/SeesArWIVA
2
1
9
@macromik
Mickaël OHANA
26 days
😱😱😱 Cela n'augure d'un internet rempli de contenus IA généré par des bots (bon en vrai c'est déjà le cas haha)... Ca fait moyennement envie même si techniquement la présentation est bluffante... (Bon ne pas oublier les présentations incroyables de Sora 1 vs le résultat final)
@OpenAI
OpenAI
27 days
Sound on.
2
0
1
@macromik
Mickaël OHANA
1 month
🤔Une récidive de sciatalgie quelques semaines après une opération pour hernie discale... 🫡L'IRM est essentielle pour faire le distinguo entre les 2 hypothèses principales : récidive herniaire VS fibrose post-op. 😯Les images sont impressionnantes ⬇️ https://t.co/7cboks8eCm
0
1
4
@macromik
Mickaël OHANA
1 month
Evidemment je suis malicieux et je ne vous met pas la séquence la plus importante... Mais quelle est-elle justement ?
4
0
1