jcgeorgemd Profile Banner
Jon George Profile
Jon George

@jcgeorgemd

Followers
2K
Following
2K
Media
510
Statuses
1K

Interventional Cardiologist, Endovascular Medicine Specialist

Philadelphia, PA
Joined April 2012
Don't wanna be here? Send us removal request.
@jcgeorgemd
Jon George
5 years
Have you struggled to figure out the variability in access, strategies, and outcomes for endovascular revascularization of complex SFA CTO? Here’s an algorithm to simplify the process validated by the #FACTOR score. So proud of this work with my colleagues! @gpangioclub
@InvasiveCardiol
Journal of Invasive Cardiology
5 years
SFA-CTOs represent a challenging subset of lower-extremity PAD. Varghese et al aimed to develop a hybrid algorithm to approach complex SFA-CTOs in a step-wise fashion https://t.co/yalVgG8QpO @jcgeorgemd @ebenezer_md #DeborahHeartAndLungCenter https://t.co/yalVgG8QpO
1
7
31
@jcgeorgemd
Jon George
10 days
It’s that time of year again, and I’m preparing to co-host with @john_kuryan the annual @wearebloomindia #BloomGala to raise funds for education for underprivileged children in India. Each year, we make a fool of ourselves for a good cause, so come join us to find out what’s next
1
0
0
@jcgeorgemd
Jon George
15 days
Honored to present as faculty at @VIVAPhysicians on behalf of @AVS_PIVL to demonstrate the latest innovation with #PulseIVL and a new era of lithotripsy alongside Dr. Chris Metzger
0
1
7
@jcgeorgemd
Jon George
19 days
That feeling when you barely make the Door-to-Balloon (D2B) time of 90 minutes….. @GPAngioClub @ACVCPhila @ReVascMed
1
0
3
@jcgeorgemd
Jon George
22 days
Sobering to see this article by @BeckersHR about the high rate of hospital closures in @PAStateDept that needs urgent attention. We need to unify to fix this scary trend before our patients are left without access to care! @GPAngioClub @ACVCPhila @ReVascMed
0
1
3
@jcgeorgemd
Jon George
24 days
Excited to be back at @TCTConference as faculty sharing the stage in the main arena on “Mastering Disaster” with expert colleagues: @sahilparikhmd Dr. Ken Rosenfield, @SripalBangalore Dr. Danielle Bajakian, @DougDrachmanMD @roblookstein and Dr. Chris Metzger.
0
1
11
@jcgeorgemd
Jon George
26 days
I’ve been married for 18 years and practicing medicine post-specialization for 16 years but never had the chance to work at the same hospital as my wife, until this opportunity popped up! Roaming the hallways @TempleHealth this week with my wife was special!
90
410
5K
@jcgeorgemd
Jon George
28 days
Excited to partner @American_Heart to raise funds to drive critical research, improve care, and empower lifesavers. Doing our part @ReVascMed with our clinical team to join the #2025PhiladelphiaHeartWalk to contribute to this mission! Join us on 11/1 to #ReVaMPcardiovascularcare
1
1
6
@jcgeorgemd
Jon George
29 days
#CTOPCI Case Files: investment procedure after STAR (Sub-intimal Tracking and Re-entry) revascularization of LCX CTO. In the era of drug-coated balloons, is there a role for DCB angioplasty to preserve investment procedures until staged definitive therapy? @GPAngioClub @ReVascMed
1
1
10
@jcgeorgemd
Jon George
1 month
Honored to share my perspective on “How to Attract and Retain Top Cardiologists” @BeckersHR Annual Meeting. Takeaways: 1. Maintain focus on Patient Care 2. Drive Learning and Advancement 3. Stimulate Career Growth 4. Build Team Culture 5. Support Work-Life Balance @ReVascMed
0
1
9
@jcgeorgemd
Jon George
1 month
#ComplexPVIFiles: when single vessel runoff to the foot just isn’t enough…..and no discernible reconstitution of AT or Peroneal? What next, #DVA ? @GPAngioClub @ACVCPhila @ReVascMed #CLIFighters
2
0
1
@jcgeorgemd
Jon George
2 months
Excellent first @GPAngioClub of the new academic year discussing #ComplexPCI last week. Join us for the next one to review #ComplexPVI and peripheral interventions. @PennCVFellows @TJHeartFellows @TempleCards @LankenauCV @CooperCVFellows @ACVCPhila @ReVascMed
0
0
3
@jcgeorgemd
Jon George
2 months
Join us for the first @GPAngioClub of the new academic year discussing #ComplexPCI cases with area fellows and attendings! @TJHeartFellows @PennCVFellows @TempleCards @LankenauCV @CooperCVFellows @ReVascMed @ACVCPhila
1
1
2
@jcgeorgemd
Jon George
3 months
#PVI CaseFiles: when your #PlaqueArt resembles your MedicalPracticeLogo and Vision: #ReVaMP=ReVascMedProfessionals #ReVaMPCardiovascularCare #ReVaMPStatusQuoHealthCare @ReVascMed @GPAngioClub @ACVCPhila
0
1
4
@jcgeorgemd
Jon George
3 months
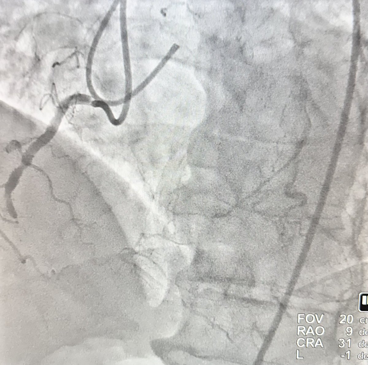
#CTOPCI CaseFiles: Successful PCI of RCA CTO with antegrade wire escalation using IVUS imaging for adequate sizing and stent coverage of re-entry site for excellent antegrade flow. @ReVascMed @TJHeartFellows @GPAngioClub @ACVCPhila
0
1
5
@jcgeorgemd
Jon George
5 months
In this specific case, MLA went from 6.4 mm2 to 15.8 mm2 (2.5x). Is this sufficient?
0
1
3
@jcgeorgemd
Jon George
5 months
#CarotidCaseFiles: how aggressively do you post-dilate following carotid artery stenting? Is it time to develop and use objective intravascular imaging #IVUS data to guide adequate stent expansion? @GPAngioClub @ACVCPhila @ReVascMed
2
0
6
@jcgeorgemd
Jon George
5 months
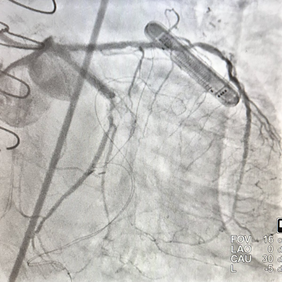
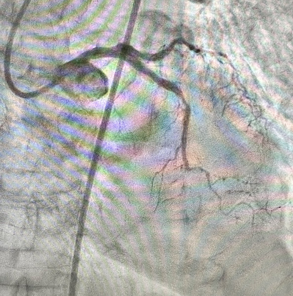
#CorCTOCaseFiles: Always consider hibernating coronaries in patients with CTO and coronary ischemia with preserved and viable myocardium! No LAD seen on pre-angio or collateral flow with obvious patent distal to apical LAD post-PCI. @GPAngioClub @ACVCPhila @ReVascMed
0
0
11
@CorsAtTheShore
CorsAtTheShore
5 months
Fellows course going strong right by the ocean! Amazing #ECG tutorial with @KedarSankholkar followed by @RajTayalMD and Dr. Joe DeGregorio kicking it off! Coming up: @SVRaoMD @jcgeorgemd and so much more. #Cors2025 #MedEd #Cardiotwitter
0
4
11