hjerteforum Profile Banner
Hjerteforum Profile
Hjerteforum

@hjerteforum

Followers
161
Following
47
Media
52
Statuses
64

Journal of the Norwegian Society of Cardiology // Offisielt tidsskrift for Norsk Cardiologisk Selskap

Norge
Joined May 2022
Don't wanna be here? Send us removal request.
@hjerteforum
Hjerteforum
7 months
Kardiologiske problemstillinger kommer ofte opp i saker med Norsk Pasientskadeerstatning. Lær om vilkår og faktorer som har ført til medhold vs avslag: https://t.co/f2A7BA0Rqa
0
0
1
@hjerteforum
Hjerteforum
7 months
VT-ablasjon er en komplisert, men ofte svært effektiv behandling. Les om erfaringene fra @Oslounivsykehus @MathisStokke https://t.co/Tse2Gl7UL0
0
0
1
@hjerteforum
Hjerteforum
7 months
Perikarditt et en vanlig kardiologisk tilstand. Men hva er årsak/mekanismer? Hvordan stilles diagnosen? Og hva er det siste innen behandling? Alle bør lese denne svært grundige gjennomgangen av #ErikØie og #LarsErikVinge @diakonhjemmet https://t.co/XDCf40iDXP
0
0
0
@hjerteforum
Hjerteforum
7 months
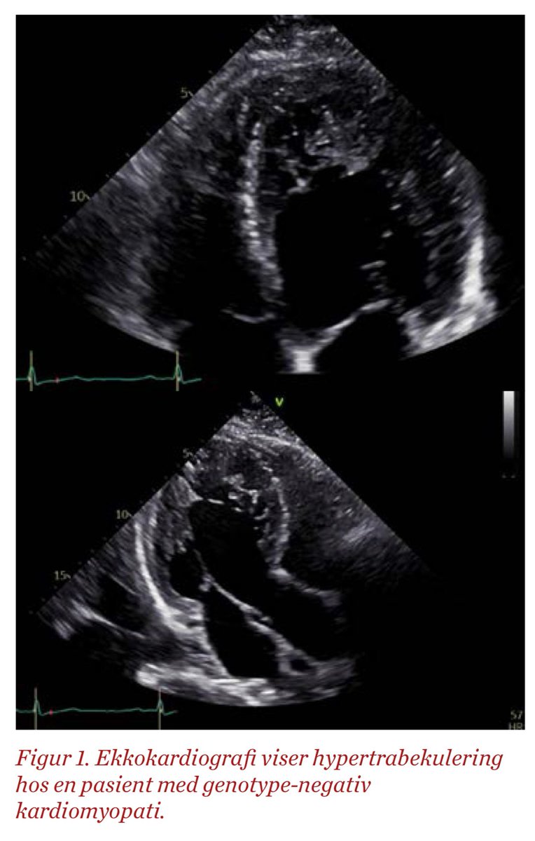
Non-compaction kardiomyopati. Hva er det og er det egentlig en egen entitet? Lær mer i denne grundige gjennomgangen av #NinaHasselberg @ProCardio1 https://t.co/gqjT4WguGF
0
0
0
@hjerteforum
Hjerteforum
7 months
EKG spalten dette nummeret er skrevet av @MagnusNossen sammen med Knut Gjesdal og tar for seg et velkjent elektrofysiologisk syndrom #WPW https://t.co/w7yDe39OXm
0
0
1
@hjerteforum
Hjerteforum
9 months
STRONG@HOME studien ruller ut på >10 sykehus i Norge i disse dager. Kan man trappe opp hjertesviktsmedisiner ila noen få uker etter innleggelse, kun med digital oppfølgning av pasientene hjemme? @pmyhre @BergeKristian https://t.co/ay1xFjhd5T
0
2
4
@hjerteforum
Hjerteforum
9 months
Hjertestans utenfor sykehus er et komplekst tema. I denne fyldige oversiktsartikkelen dekker Geir Øystein Andersen fra @Oslounivsykehus temaet med hovedfokus på sykehusbehandling etter ROSC https://t.co/Mx2SRYbSXZ
0
0
1
@hjerteforum
Hjerteforum
9 months
Meget matnyttig og klinisk relevant artikkel «HYPERTENSJON FOR KARDIOLOGER» av @EvaGerdts og Ester Kringeland https://t.co/vnH4pqChzn
0
0
0
@hjerteforum
Hjerteforum
9 months
Les siste utgave av #EKGspalten av Knut Gjesdal om tidlig repolarisering https://t.co/ckA5C4MMF4
0
0
1
@hjerteforum
Hjerteforum
1 year
I denne artikkelen får vi siste nytt fra ablasjonsregisteret ABLANOR. Som bonus får vi også en fin oversikt over AVNRT https://t.co/v6RL46ryKs
0
0
1
@hjerteforum
Hjerteforum
1 year
Siste nytt fra Norsk Pacemaker- og ICD- Register (NPIR) av Torkel Steen https://t.co/dZKAkCvOLc
0
0
1
@hjerteforum
Hjerteforum
1 year
Screening for #Atrieflimmer er 🔥og en rekke nye studier har gitt oss ny innsikt. Les denne gode oversiktsartikkelen av @trygve_berge og Arnljot Tveit for å henge med i svingene: https://t.co/K3U3oKGPfR
0
0
4
@hjerteforum
Hjerteforum
1 year
SGLT2-HEMMERE TIL PASIENTER MED HJERTESVIKT – LÆRDOM FRA KLINISKE STUDIER @Kristinamalene @mariavistnes @sighalvo https://t.co/iHdFtUcFpM
0
0
1
@hjerteforum
Hjerteforum
1 year
HVILKEN ROLLE BØR #SEMAGLUTID HA I BEHANDLING AV FEDME OG HJERTE- OG KARSYKDOM? https://t.co/XTDwywUcbz
0
1
2
@hjerteforum
Hjerteforum
1 year
EKG-spalten: Artytmogen Kardiomyopati https://t.co/TMOPwR4FK3
0
0
1
@hjerteforum
Hjerteforum
1 year
Ny norsk bok om #ekkokardiografi ! Les bokomtalen av Espen Holthe https://t.co/2WgvoZzTBA
0
0
1
@hjerteforum
Hjerteforum
1 year
Norske yngre hjertelegers arbeidsgruppe (NYHA) har gjennomført en spørreundersøkelse om spesialistutdanning av kardiologer i Norge. @eivindaabel @chrisdodgson Les resultatene her: https://t.co/FN6QK5TmBt
0
0
3
@hjerteforum
Hjerteforum
1 year
#Søvn er en viktig risikofaktor for kardiovaskulær sykdom, men noe kanskje ikke alle hjertemedisinere har nok kunnskap om? Benytt denne anledningen til å lære av prøveforelesningen til ØNH-lege #GunnMaritTraaen @GTraaen https://t.co/BZDbWdsgso
0
0
1
@hjerteforum
Hjerteforum
1 year
Genetiske kardiomyopatier hos barn er viktig å kjenne til både for barn- og voksenkardiologer. Les om epidemiologi, utredning og behandling av de forskjellige tilstandene i denne grundige oversiktsartikkelen av #MaritSmedsrud https://t.co/mG1m8oVS62
0
0
1
@hjerteforum
Hjerteforum
1 year
Trenger du en oppdatering på mekanisk sirkulasjonsstøtte ved kardiogent sjokk? Her har du en glimrende oversikt fra #ChristianEek 📌Aortaballongpumpe 📌Impella 📌ECMO https://t.co/tFP8dWFZQG
0
0
1