hemepathiseasy Profile Banner
Norris Hollie, MD, PhD Profile
Norris Hollie, MD, PhD

@hemepathiseasy

Followers
230
Following
22
Media
46
Statuses
141

Hematopathologist | Asst Prof&Fellowship Dir @OhioState | Hemato/#Pathology trained @BIDMCPath @harvardmed | Views=own. Follow for #hemepath pearls.

Joined March 2024
Don't wanna be here? Send us removal request.
@hemepathiseasy
Norris Hollie, MD, PhD
12 days
#hemepath #pathology #MedEd Are you ready to level up? Take the free 2-3 min assessment to find out (link in bio)
0
0
2
@hemepathiseasy
Norris Hollie, MD, PhD
8 days
When I hear flow cytometry suggested to rule out Hodgkin or a suggestion of “high grade panel???” (with their voice rising at the end) before the slide hits the stage, it alerts me that a deeper understanding/Engagement of the #hemepath toolbox is needed. #hemepath101
0
0
0
@hemepathiseasy
Norris Hollie, MD, PhD
8 days
When “DLBCL, NOS” is suggested based on sheets of large CD20, but without a question about location, rearrangements, or infection, it tells me more work is needed to build a robust Mental Map. #hemepath #pathology
0
0
0
@hemepathiseasy
Norris Hollie, MD, PhD
8 days
When I’m asked the difference between CLL and SLL, it reminds me there are some High-level concepts that have not been made clear. In this case, the difference between “leukemia” and “lymphoma”. #hemepath101 #hemepath #pathology
0
0
1
@hemepathiseasy
Norris Hollie, MD, PhD
12 days
I get many questions from trainees that are based upon concepts that are discussed in signout, but not found in reference texts. #MedEd #pathology
0
0
1
@hemepathiseasy
Norris Hollie, MD, PhD
27 days
Little-known fact about #hemepath🤔: If we really could distinguish ALL the different myeloid and lymphoid neoplasms by morphology alone, we would never order IHC, Flow, FISH, PCR, NGS, etc. #pathology #MedEd #pathx #PathTwitter
0
0
1
@Saroja_DeviG
Saroja Devi Geetha
1 month
CSF showing blasts in a patient with Acute Myeloid Leukemia #PathTwitter #MedTwitter #HemePath #CytoPath #PathResidents #CytoFellow
3
24
119
@hemepathiseasy
Norris Hollie, MD, PhD
1 month
Would you like a non-technical but practical introduction to #flowcytometry? https://t.co/q3CemhCEpf #hemepath #pathology #MedEd
0
1
2
@hemepathiseasy
Norris Hollie, MD, PhD
1 year
Why it’s important to Z-stack (focus up and down) when searching for ring sideroblasts on a bone marrow aspirate iron stain. Same 100x field, slightly different focus. #hemepath #pathtwitter #pathx #pathology
0
1
4
@hemepathiseasy
Norris Hollie, MD, PhD
2 months
BCL1/CycD1: In lymph node, can be mantle cell lymphoma. In spleen or BM, can be hairy cell leukemia. In BM, can be a subtype of plasma cell myeloma. In lymph node, can be endothelial cells. Know what ur looking for B4 throwing on stains. #hemepath #pathology #pathtwitter #pathx
0
1
6
@hemepathiseasy
Norris Hollie, MD, PhD
2 months
Many approach #pathology like a card-matching game. But #hemepath is more like a world to navigate. Take CD117/CKIT for example: In AML land—blast marker. In mast cell land—mast cells. In erythroid land—proerythoblasts. In plasma cell land—abnormal marker. #pathtwitter #pathx
1
1
8
@hemepathiseasy
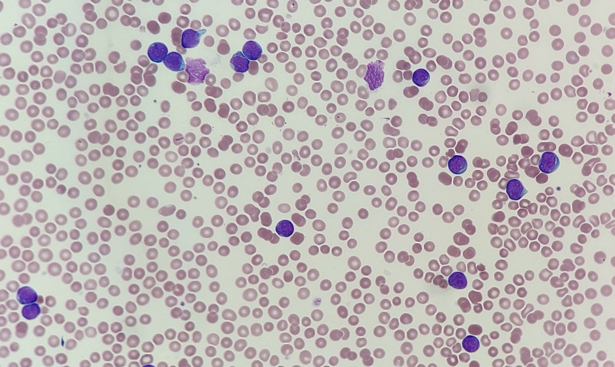
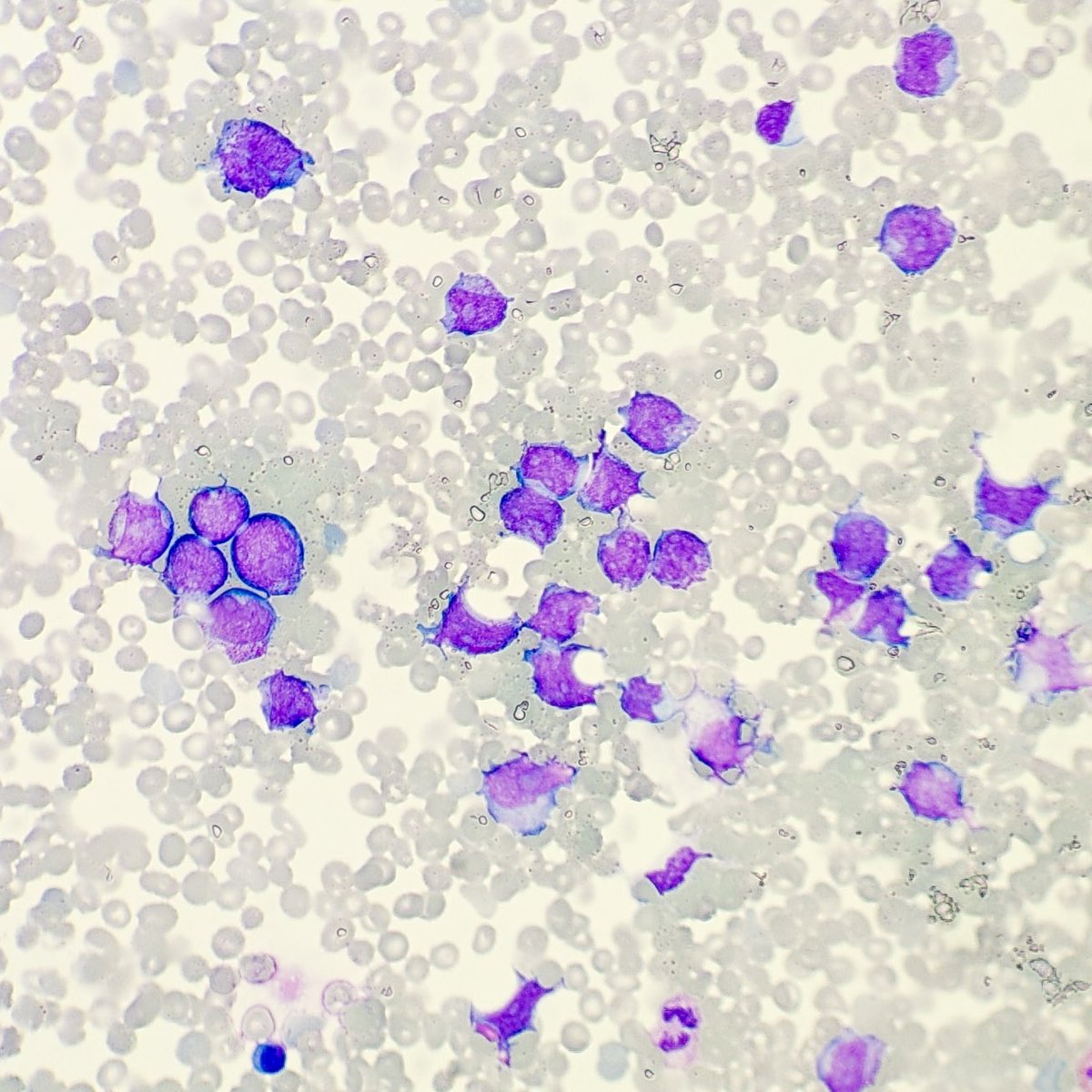
Norris Hollie, MD, PhD
2 months
How many tools does #hemepath have? And how are they used differently from other #pathology subspecialties? 👇 https://t.co/QpchWGVJKI
0
0
1
@hemepathiseasy
Norris Hollie, MD, PhD
7 months
“Atypia” is context-dependent. For some tissues, pleomorphism is atypia. For others, monomorphism is atypia. For some, dark nuclei is atypia. For others, light nuclei is atypia. You have to know your specific tissue. That’s why there’s so many subspecialties. #pathology
1
4
11
@OnlyCellsLTD
Only Cells
4 months
🩸#MorphologyMonday | Case MM250707: Acute lymphoblastic leukaemia https://t.co/T2aC86zZ2b 👦 14 year old male ✅ WBC: Elevated at 37.83 ×10⁹/L ✅ Hb: Reduced at 87 g/L ✅ PLT: Markedly decreased at 19 ×10⁹/L ✅ RBC: 2.93 ×10¹²/L ✅ MCV: Normocytic at 87.4 fL ✅ RDW: 16.4%
@OnlyCellsLTD
Only Cells
4 months
🩸#MorphologyMonday | Case MM250721 https://t.co/esSnsprXy0 This week’s case comes from a 14 year old teen with a total white cell count of 81.25 ×10⁹/L, low platelets, and an abnormal FBC. Blood film images attached. What would you be considering based on this FBC and the
0
6
13
@hemepathiseasy
Norris Hollie, MD, PhD
5 months
New academic year starting soon. New #pathology #pathmatch #residents, how are you preparing? What books are you buying?
0
0
0
@hemepathiseasy
Norris Hollie, MD, PhD
6 months
0
0
0
@hemepathiseasy
Norris Hollie, MD, PhD
6 months
0
0
0
@hemepathiseasy
Norris Hollie, MD, PhD
6 months
0
0
1