Explore tweets tagged as #patternless
@KATO_Nishiafu
KATO👻✨ただのニシアフ好きです。
1 month
飼育個体のご紹介❣️ Ghost × Oreo × Patternless👻 (パープルヘイズ🪯) ♂ フルアダルト パープルヘイズは、小さな頃はピンクがかった紫色のような、 とても柔らかい色合いを見るのが特徴です。 市場やイベントで見かける個体はベビー〜ヤングサイズが多く、
0
10
258
@okashinashippo1
おかしなしっぽ
2 months
WO Oreo Patternless♂♀ 49800円
0
1
18
@schneechannel
シュネー
9 months
Patternless Albino Mutant🐸
0
0
23
@MeredithKHerman
Meredith Herman, DO
10 months
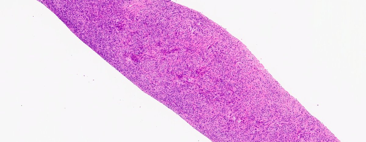
#PathQuiz what is the diagnosis? 🔬 NAB2-STAT6 🔬 hemangiopericytoma-like vessels 🔬patternless pattern @UMichPath #BSTPath #COTW
14
15
71
@KATO_Nishiafu
KATO👻✨ただのニシアフ好きです。
1 month
【DREXXさん新入荷ラインナップ】 WO 66% het Amel Caramel Oreo Patternless♂❣️✨ 白地多めの柔らかなボディカラーに、 WOらしい“抜け感”が絶妙に映える、とても美しい1匹です。 抜けた部分に乗るグレーのニュアンス、 そして尻尾の付け根から続く、
0
1
99
@okashinashippo1
おかしなしっぽ
1 month
WO Amel Oreo Patternless♂ 108000円
0
0
12
@sza_jhcyto
Syed Z. Ali
3 months
Patternless pattern - still mesmerizing.
1
2
27
@insectech
insectech 昆虫採集と標本用品の専門店 動物の惑星フィギュア日本正規販売店
3 months
動物の惑星 ナメハダタマオヤモリ(パターンレス) Smooth knob-tailed gecko(Patternless) Nephrurus levis Animal Heavenly Body AHB Figure We are an authorized retailer & ship worldwide!
0
0
1
@KATO_Nishiafu
KATO👻✨ただのニシアフ好きです。
1 month
今週末のロコズマーケットでお手伝いさせていただく DREXXさん(@DTB_2025) に新入荷があったとのことで、撮影させていただきました😊🤲 Oreo Patternless ♀ US CB 🇺🇸 / アダルトサイズ 国内では珍しい、パターンレスなのに背中の広範囲に柄が残るタイプのオレオパターンレスです。
0
2
62
@mayank_b_
MAYAVERSE🌌
22 days
Good Morning. Pattern = Life Create → Stay → Break → Repeat Brahma → Vishnu → Mahesh → Repeat Being in a patternless -shh
0
0
5
@KATO_Nishiafu
KATO👻✨ただのニシアフ好きです。
1 month
【DREXXさん新入荷ラインナップ】 WO 66% het Amel Caramel Oreo Patternless♂❣️✨ エグ味すら感じるほど “スカッと抜ける強発色のオレンジ” に、 個性あふれるアベラント柄が組み合わさった、とても魅力的な1匹です🔥 複雑で立体感のある模様、そして主張の強い色味のコントラスト。
0
1
82
@MhPathology
MetroHealth Pathology
3 months
🫁Solitary Fibrous Tumor of Lung - Rare fibroblastic neoplasm of lung with NAB2-STAT6 gene rearrangement - Patternless pattern / Hemangiopericytoma pattern with intervening keloidal collagen - Positive for CD34 and STAT 6 (highly specific) #MHPathology #cwru #PathX #pathology
1
3
8
@Noirreptiles
🦎Noir reptiles🦎1/11アクバス東京1/17.18JRS静岡冬レプ出店
4 months
パープルヘイズhetキャラメル Ghost Oreo Patternless het Caramel 男の子♂ ばっちりのセミアダルトサイズ😊👍🏻 ̖́- パープルヘイズ、ゴールドヘイズ繁殖に🔥🔥 ¥74,000 (税込) お気軽にお問い合わせください!
0
0
14
@StarsGecko
Stars_Gecko ニシアフ【】
9 months
おっきくなってきました! 5月のイベントにも間に合うサイズかな? (Whiteout patternless #ニシアフ #ニシアフリカトカゲモドキ #爬虫類 #ホワイトアウトパターンレス
0
0
65
@KATO_Nishiafu
KATO👻✨ただのニシアフ好きです。
1 month
【DREXXさん新入荷ラインナップ】 WO 66% het Amel Caramel Oreo Patternless♀🔥 WOらしい“特徴的な乱れ”がしっかり現れつつ、鮮やかなオレンジ、グレー、焦げ茶が複雑に交わったスペシャル感のあるWO表現の1匹です。 これだからWOは本当に面白いし、 表現の幅が広くて魅力が尽きません🔥
0
5
76
@omegafreelancer
Omegafreelancer (Commissions OPEN!)
5 months
No... And JP Raptors have stripes, but they're so irregular and complex, along with how they're shot in the film, that they don't pop, and which has made them REALLY hard to replicate in later decades without just making them "patternless brown/olive"
@Brand0nsm181274
Brand0nsm1th
5 months
That explains the random striped raptors in the game. There female replacements from sorna “possibly a wild population”
9
22
222
@YJDX8lCOBhaxbPq
T-SAKAE
1 year
おつかれさん🙋 どーですかこの激しく格好の良い様は。 「飼いたいけどもう飼えない…」 ネシアンP好きがただただ切歯扼腕するお蛇。 Simalia amethystina/ Merauke patternless (*特定危険動物です。許可をお持ちでないと飼育出来ません)
0
1
52
@USSI_OSAKA
USSI_OSAKA
2 months
[CT1820] Whiteout Zulu (Het Snow) 25CB ♀ [CT1510] Amelanistic Patternless (Het Oreo) 25CB ♀ [CT04GH] Whiteout Amelanistic Patternless (Non Select Line) 25CB ♀ [CT201] Tangerine Amelanistic (Het Patternless,Non Select Line) 25CB ♀
0
1
18
@DukeofBourdilon
Duke of Bourdillon
3 months
Christian Association of Nigeria Refutes Genocide Claims, Describes Terrorist Attacks as Random and Patternless The Christian Association of Nigeria (CAN) has firmly dismissed allegations of a targeted “Christian genocide” in the country, clarifying that the wave of terrorist
1
14
12