Explore tweets tagged as #VisualField
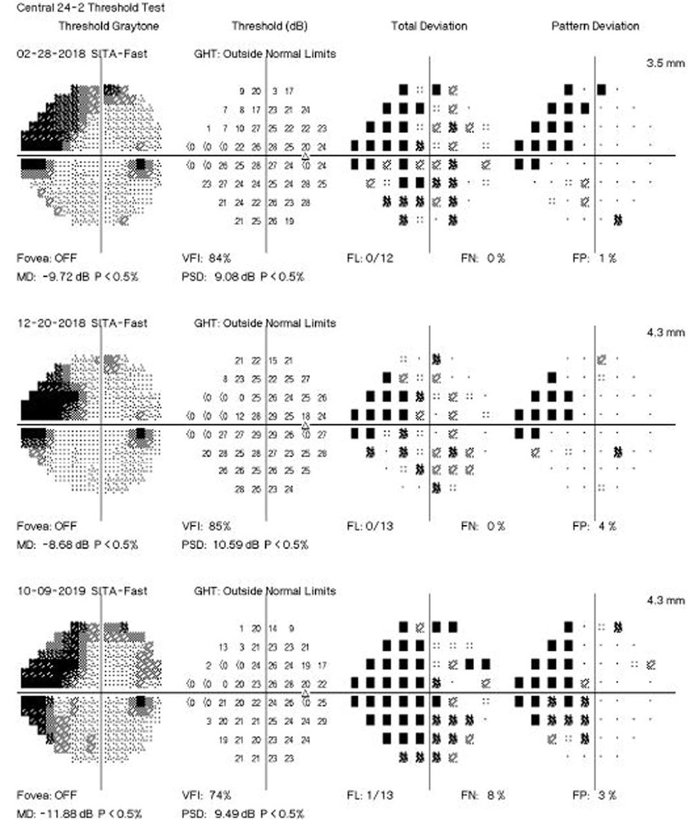
Monitor Central VF to Catch Fast Progressors In patients with POAG followed for over 10 years, this region was more indicative of rapid deterioration than global metrics. Read more: https://t.co/iYyK6YnWAc
#optometry #optometrist #eyecare #visualfield #glaucoma
1
4
13
With over 1 billion eye exams powered by M&S Technologies, count on the same proven expertise behind the Smart System® VR Headset; portable solution for visual field testing. More > https://t.co/r7bt1VXhjI
#Optometry #Optometrist #VisualField
@MSTechEyes a @HilcoVision Brand
0
0
0
🔍 7,917 eyes with #glaucoma: When <0 dB VF points (floor) were retested: • Std→Std: ~10.3% <0 dB → ≥7 dB • Std→Fast: ~15.8% • Std→Faster: ~25.5% ⬆️ Effect strongest in macula. ⚠️ Faster tests may show false improvement masking progression. #Perimetry #VisualField #SITA
0
0
0
Today we are in Glaucoma Screening. This test is called Visual field. It tests the sensitivity of the retina in individual areas. RATSA must have this as a mandatory Test for drivers. #Optometry #Glaucoma #Visualfield
1
2
9
Systematic Review of VR Perimeters Highlights Importance of Dynamic Range, Field of View The closer a device’s measurements are to the gold standard HFA, the less risky it becomes to transition a patient to this new system. https://t.co/GV0fbjTm2t
#vision #optometry #visualfield
0
1
2
To all the #OpticNerve specialists (#glaucoma or #NeuroOphth) out there on #EyeTwitter, what is wrong with this #VisualField? Does this artifact have a name, how about Gertsmann artifact? @DrLorraineEyeMD @kevinelaimd @MicieliMD
7
4
32
Read "Visual Field Loss and Lesions Along the Visual Pathway" in our February issue to learn how VF testing and multimodal imaging can help determine the best path forward with certain ocular diseases: https://t.co/u7cwE1RpQt 📖 #optometry #optometrist #vision #visualfield
0
39
129
Inferior Nasal Step and Enlarged Blind Spot Most Common Early VF Changes in Glaucoma Researchers working on a proposed new framework that may improve disease monitoring reported the associations: https://t.co/UTpj1xXmp9
#glaucoma #retina #optometry #visualfield
0
1
5
The early diagnosis of NTG is critical because #visualfield defects are often more significant and located closer to the central visual field than with other types of #glaucoma. Prompt diagnosis, however, can be difficult. Continue reading: https://t.co/sq0BRNx7yJ
2
6
36
Know your font. Award-winning Lexend font. https://t.co/IPqO40tMXK
#font #fontdesign #googlefonts #accessibility #accessiblefonts #accessibilityforall #google #googleforeducation #neurodivergent #neuroscience #dyslexia #dyslexiaawareness #adhd #adhdawareness #visualfield
1
0
8
0
0
0
#gm ! Made new art called "visions". Tbh, it's a new level to me. https://t.co/8HF0pqsfx6
#nfts #nftart #nftcommunity #digitalart #visualfield #abstraction #colorful #1of1
1
0
7
#Glaucoma Rehab using Transcranial Stimulation study for combined perceptual learning, transcranial electrical stimulation for vision enhancement @trialsjournal @thebraindriver #BrainStimulation #Aging #Neuromodulation #Neurophysiology #visualfield
https://t.co/C0EfdBw9W4
0
0
0
Read the full article here ⤵️ https://t.co/CNIIqe5GzV
#raredisease360 #ophthalmology #visualacuity #eyedisease #visualfield #visionloss #thyroideyedisease
0
0
0
[Pupil Pod] Dr. Sila Bal welcomes Dr. @ikekahmed to review a case of a 68-year-old man with a history of POAG who experienced progression of a #visualfield defect and #glaucomatous optic neuropathy. Listen here: https://t.co/pS1lAKZ3Ui
0
3
7
⚡ Invest in a perimeter that offers both static & kinetic perimetry! The Octopus 900 offers everything one can ask of a perimeter in one device. https://t.co/srWLOpdrZq Our booth is B409 at #escrs2023. #haagstreit #investin #visualfield #perimetry #glaucoma #cataract #cornea
0
0
0
Drs. Radcliffe, Kinast, and Bacharach discuss recent innovations in #visualfield technology in part 32 of the Glaucoma Physician Video Channel. https://t.co/fa2paPEIp3
0
0
4
View the complete article below ⤵️ https://t.co/Bw70mbtQ4t
#raredisease360 #thyroid #thyroideyedisease #endocrinology #endocrinologist #intraocularpressure #diplopia #visualfield
0
0
0
#OpticNerveHead blood flow and the location of #VisualField damage may determine #VisualOutcomes in patients with #Glaucoma and #Myopia. Research in @AJOphthalmology
https://t.co/f2FfmBMFez
#OpticNerve #VisualFieldDamage #Optometry #EyeCare #EyeHealth
0
0
0