Explore tweets tagged as #TSVG
@bloom8636838828
Bloom
2 months
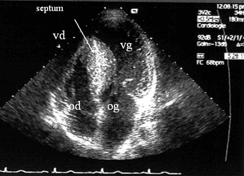
Cardiomyopathie Hypertrophique non obstructive La CMHno représente 30 à 70 % des cas et, même si elle ne génère pas de gradient significatif dans le TSVG elle entraîne une forte charge symptomatique : dyspnée, angor, FA, arythmies ventriculaires (TV/ESV) et IC
1
0
0
@nota_p_astrum
n_o_t_a
1 year
このTSVGのロゴ部分のジグザグした感じの処理をイラレでやる場合にどうしたらいいかがずっとわからない。 なにか��落としてる機能一発でできそうな雰囲気もあるけど…イラレ詳しい人助けて
1
0
2
@nota_test
実験室
4 months
普通にほしいファズ、TSVGのBabbling FlowerとShields Blender
0
0
6
@aionfork
David Conner
3 months
#systemd why isn't this the first thing you learn about modern linux systems, esp. w.r.t #DesktopLinux? `t=$(mktemp -d); systemd-analyze --user dot \ --to-pattern='*.target' \ --from-pattern='*.target' \ | dot -Tsvg > $t/all.targets.svg`
0
0
0
@fogofeno2
💯 fora ana paula é os cabeça de latas 💢
9 months
Luana Piovani uma mulher que falou apenas a verdade sobre cugina Léo dias e a sua pariceira veio dizer que ela está precisando de médico uma coisa que ela nunca teve logo Léo dias uma pessoa que luta contra os vícios dele falar isso é pôr isso que ele é vazio #LuanaPiovani #TSvG
2
0
0
@nixos_asia
NixOS Asia
2 years
Want to see the dependency graph of a #Nix package? Run: nix-store --query --graph $(nix build --no-link --print-out-paths .) | dot -Tsvg > output.svg (Thanks to Tim DeHerrera) https://t.co/FuPzXlskZ5
1
2
17
@aend_de
änd – Ärztenachrichtendienst
14 days
Nächste Kasse fordert Streichung von TSVG-Zuschlägen: „Dauerhaft nicht tragbar“
0
0
0
@Balcahtn
HÜLYA 💛❤
9 months
Hüzünlü bakışlar "Muslera'm"😔🫶 #StayWithUsOsimhen #KupaBeyiGALATASARAY 25 #TSvG
0
0
10
@GmanJav
The Blue Jay
7 days
كؤد خصم نون ستايلي 1 ▬كؤبؤن▬كود▬خصم▬نون▬ ⎐ستتايليي⎐ ZQX⊴ ⎐ٺوٺ⎐ ⊵RKK28⊴ ▬مترو▬برازيل ⊵ds7⊵ ^^^^ Tsvg
0
0
0
@motunii3150
Melissa Mitchell
2 months
TSVg كؤبؤن▬كؤد e6zk خصم▬ايهرب▬ايهيرب 24zs D8P3 كؤبؤن RfU67 كود MrqNa خصم▬نون▬ ⎐ٺوٺ⎐ ⊵RRX4⊴ ⎐ابهررب⎐ ⊵CNU3074⊴
0
0
0
@neon_ura_h
ネオン
28 days
tsvg ## ▬كؤبؤن▬نون▬كؤد▬خصم▬ايهرب▬ايهيرب▬ ⎐ٺوٺ⎐ ⊵QT99⊴ ⎐ابهررب⎐ ⊵IPY1290⊴
0
0
0
@owenjamesmorgan
كؤد خصم نون
1 month
tSVg ## ▬كؤبؤن▬نون▬كؤد▬خصم▬ايهرب▬ايهيرب▬ ⎐ٺوٺ⎐ ⊵QT99⊴ ⎐ابهررب⎐ ⊵IPY1290⊴
0
0
0
@ygcbojjo492
Vivian Morris
2 months
▬كؤبؤن▬كود▬خصم▬نمشي▬ ▬كؤبؤن▬كود▬خصم▬نون▬ ⎐ٺوٺ⎐ ⊵RRF75⊴ ⎐ٺمـ ـشى⎐ ⊵NMS46⊴ &&^ TSvG
0
0
0
@lucasgomesraim2
Lily Diaz
2 months
▬كؤبؤن Hfsw كؤد 5BWo خصم▬ايهرب dR8D ايهيرب▬ YpVBj كؤبؤن TSVG كود J8KG4 خصم Hnjd نون▬ ⎐ٺوٺ⎐ ⊵RRX4⊴ ⎐ابهررب⎐ ⊵CNU3074⊴
0
0
0
@Mengaana
Mengaana
1 year
1
2
4
@toqkgjut1645
Karen Cox
4 months
yslE كؤبؤن lUpnw كؤد yiNL خصم bVB5D ايهرب tSVG ايهيرب▬ ▬كؤبؤن▬كود X9j0 خصم▬نون gDDqx ⎐ٺوٺ⎐ ⊵EWW⊴ ⎐ابهررب⎐ ⊵CNU3074⊴
0
0
0
@tatouche40
abdenour
10 months
فإن عدمَ استراحَ براحتيهِ tSVg #السعودي_الرهيب_وصلللل #نحن_معللللمات_44
0
0
0
@sarahbi61048866
sarah.bish
3 months
▬كؤبؤن▬كؤد▬خصم▬ايهرب▬ايهيرب▬ ▬كؤبؤن▬كود▬خصم▬نون▬ ⎐ٺوٺ⎐ ⊵S3Q⊴ ⎐ابهررب⎐ ⊵GCA5893⊴ ^^^ tsVg
0
0
0
@nSubMj
nSubMj
10 days
مساج في جدة الرياض منزلي فندقي tsvg
0
0
0