Explore tweets tagged as #SIGNET
@MirunaPopescu13
Miruna Popescu, MD
4 days
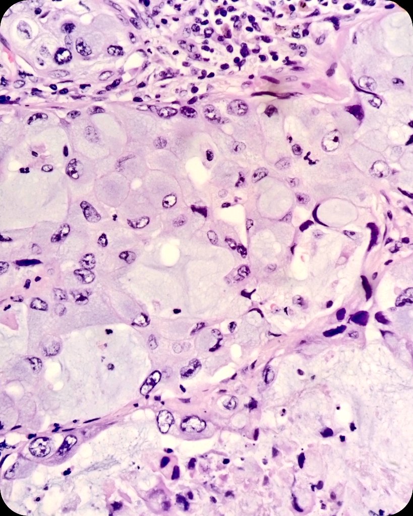
DLBCL, NOS showing signet ring cell-like morphology. #hemepath #PathTwitter
4
31
79
@trellisgroup_
Trellis
6 hours
Signet is launching an initiative to retrieve old jewelry — part #sustainability move, part business model shift 💎 Explore what this could mean for the jewelry market: https://t.co/ytgX6gwtci
0
0
0
@Laurynosaure
lau' 🌺
3 days
Je me plaignais avoir perdue toutes les lingeries en signets En fait, je ne les ajoute jamais en signet.
0
0
2
@Traptrix_signet
signet
48 minutes
引き強
0
0
0
@Jouhatsu_ai
Jouhatsu
5 days
L'application Notes de votre iPhone est l'application la plus puissante au monde. Pourtant, vous ne l'exploitez pas pleinement. Voici 8 fonctionnalités que vous ne connaissez peut-être pas : [ Ajoutez en signet🔖 pour ne pas perdre ! ]
6
13
34
@duckhuca
Héctor-Enrique Torres-Rivas, MD
12 days
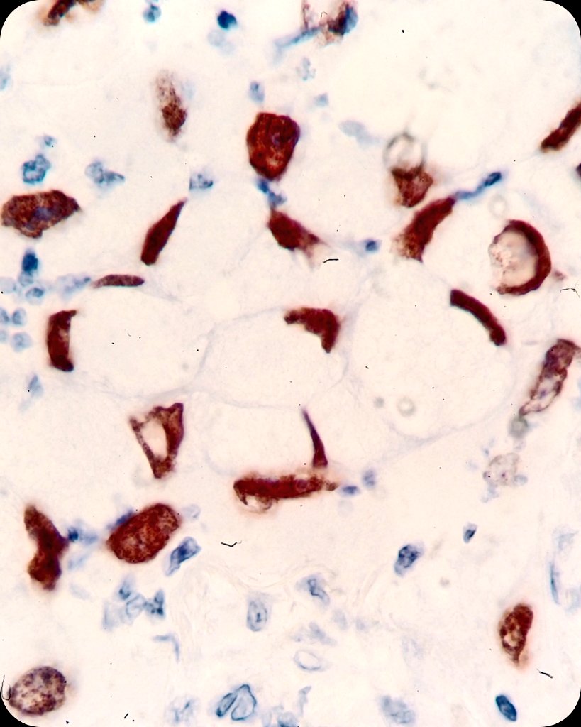
🫁 Lobectomy. 🔬 Lung Adenocarcinoma. 💍 Signet ring cells. ➕ TTF1. #LungPath #LungCancer #PathX
0
12
51
@Tatlermagazine
Tatler
10 days
Beaming in the garden of his Highlands estate, King Charles looks every inch the proud monarch in a new photograph. And eagle-eyed royal fans have spotted that the King may have subtly swapped out his old ring for a new one in dedication to his father https://t.co/8T5cYV7U3L
16
63
549
@lianabitcoin
Liana Wallet
12 days
We don't like testnet here. So i'm doing a Signet bitcoin giveaway! 0.1337 (signet) BTC to whoever wins this. Retweet and leave a comment about why you deserve it! (Signet coins have absolutely 0 fiat value, but fiat also has no real value so it's fair)
8
6
16
@9649_signet
抹茶ラムネ
5 days
ナヒーダちゃんとシグウィンちゃん
0
22
142
@_scat_official
Scat
6 days
美的9月号にて 西山智樹さんに "Proto" signet ring(SILVER) https://t.co/OCZ9rCYcMk "Rose" bracelet https://t.co/548gSI6vBZ の2点をご着用いただきました。 #西山智樹 #timelessproject
1
21
136
@Jouhatsu_ai
Jouhatsu
7 days
Maîtriser Excel, c'est une mine d'or. Prenez une journée pour apprendre ça. Voici les meilleurs fonctions Excel que vous devez connaître : [ Ajoutez en signet🔖 pour ne pas perdre ! ]
8
107
340
@longingthemoon
ara
17 hours
benophie is giving couples on ‘signet regency romance’ book covers
3
37
262
@trellisgroup_
Trellis
8 days
Signet is launching an initiative to retrieve old jewelry — part #sustainability move, part business model shift 💎 Explore what this could mean for the jewelry market: https://t.co/lhu1w3cZAu
0
3
4
@KaitoEtLIA
Kaito
9 days
L'intelligence artificielle a tué Excel ! Fini les formules complexes et les tutoriels YouTube de 15 heures. Voici comment vous pouvez créer des formules, des codes et des tableaux avec ChatGPT : [ Ajoutez en signet🔖 pour ne pas perdre ! ]
7
8
15
@abittools
エイビット🔧工具専門店
11 days
SIGNETの最新工具セット登場。 シグネットのメカニックツールセット85点組、2025-26バージョンが入荷しました。 今年のセットは1/4ツールセット付き! https://t.co/88MjivJiJ4
0
6
22
@coco_RUNTUBE_JP
ココちゃん😈RUNTUBE.|るんちゅーぶ!推し
7 days
ポジドラ SIGNETさんの参考分 ミニラチェセットがめちゃコンパクト 応急処置的に持っておくのありかも
1
0
4
@Deep_GeniusAi
|| Deep Genius AI || AUTOMATION || AI ||
7 days
Je ne comprends pas pourquoi les gens n'utilisent pas l'IA pour gagner de L’ARGENT J'ai GAGNÉ facilement mon premier DOLLAR en ligne avec ChatGPT et Canva VOICI comment j'ai procédé : [ Ajoutez en signet🔖 pour ne pas perdre ! ]
4
6
11
@konakanakonaka1
こなかな
10 days
某ショップの教え 携帯工具? SIGNET ウルトラショート ミニラチェセット買ってビット揃えれば良いよ。と言われたので早速購入 2,000円以下でコンパクトでメッチャいいよ。
3
87
846
@KaitoEtLIA
Kaito
7 days
Week-end = Netflix 09 films choquants qui vous ouvriront les yeux sur l'IA et la technologie. Le n°8 est à voir absolument [ Ajoutez en signet🔖 pour ne pas perdre ! ]
4
6
13