Explore tweets tagged as #Rotatory
@pati_marins64
Patricia Marins
2 months
@the_ex_engineer There is no AB ammo requiring 1-3 rounds per target. Only for static rotatory targets, not drones.
9
0
5
@JPSJ_official
Journal of the Physical Society of Japan (JPSJ)
4 months
Rotatory Thermo-Bioconvection in a Suspension Containing Gravitactic Microorganisms Yashika, Yogeshver Dutt Sharma, and Sanjalee Maheshwari https://t.co/dzAXWpczfR
0
1
1
@MoAImam
Mo Imam
9 months
Posterolateral Rotatory Instability Develops Following the Modified Kocher Approach and Does Not Resolve Following Interval Repair https://t.co/oXFqPTKO61
0
10
37
@MoAImam
Mo Imam
6 months
(a) and (b) The circle of Horii. See text for explanation of stage numbers. LUCL, lateral ulnar collateral ligament; MUCL, medial ulnar collateral ligament; PLRI, posterolateral rotatory instability. (Redrawn from O’Driscoll SW, Jupiter JB, King GJ, et al. The unstable elbow.
1
18
83
@MedEd_Cases
Medical Education
2 months
The hyperpronation test evaluates for posteromedial rotatory instability. The patient’s elbow is passively positioned at 90 degrees of flexion while the examiner hyperpronates the forearm, generating a medial rotatory force across the ulnohumeral joint. A positive hyperpronation
0
16
40
@MedEd_Cases
Medical Education
2 months
Posteromedial rotatory instability is a rare elbow injury characterized by abnormal rotational instability of the ulna and radius relative to the humerus, often due to disruption of the medial collateral ligament and supporting structures. It is diagnosed through a combination of
1
12
48
@orthotraumamd
Jan Szatkowski
2 months
That “pain + clunk” with supination + valgus as you move from full extension into ~40° is a very specific instability story. Before picking A–E: what named exam is being described here, and what does it tell you about rotatory vs. pure valgus instability?
@orthobullets
Orthobullets
2 months
Can you answer our FREE Question of the Day? A 42-year-old male presents to the ED following a posterolateral elbow dislocation after a snowboarding accident. His elbow is reduced in the ED and post-reduction imaging reveals no fracture. Two weeks later, he complains of
0
0
6
@MedEd_Cases
Medical Education
3 months
The gravity varus stress test of the elbow evaluates for posteromedial rotatory instability. The shoulder abducted to 90° and the forearm in neutral rotation. The elbow is then actively moved through repeated flexion and extension. A positive test is indicated if the patient
0
10
37
@jbjs
J Bone & Joint Surg
3 months
"Staged Management of Chronic Atlantoaxial Rotatory Subluxation With Halo-Gravity Traction and Cervical Fusion" by Gausper et al. Read online at: https://t.co/Mnn2YWLgCH
0
2
4
@GreenJournal
Neurology Journal
2 months
This Video #NeuroImage depicts traumatic atlantoaxial rotatory fixation in a young child (video at link): https://t.co/Jq19vcqIG1
0
1
22
@ParveenYograj
Dr Parveen Yograj
15 days
@TheKoshurDoc @RaghuramanMenon THANK YOU @TheKoshurDoc - For reviving my nostalgic memories . Having worked in Neurosurgery for three months during my rotatory Registrarship (now termed Senior Residency), your post truly took me back nearly 29–30 years.( 1995 - 1998 ).I still remember performing burr hole
5
7
68
@tishhanews
TISHHA News and Broadcast
7 months
Read full article: https://t.co/DTcvDzjjDd @aiims_newdelhi and PGIMER faculty protested at AIIMS Delhi on Aug 1, demanding rotatory headship. @OffCMCVellore @DelhiPolice @IMAIndiaOrg @OfficialJipmer @JPNadda @mpprataprao @RajaBrar_INC @AnupriyaSPatel @NMC_IND
0
0
1
@WithLoveIndiaa
With Love India
5 months
Do approvals & tendering have any meaning for Railways in Bihar ? Despite final approvals and completion of the tender process, there is still no visible progress on two crucial ROB projects in Nalanda: ROB at LC-34A/T near Bihar Sharif Jn Rotatory ROB at LC-30C/E at Sohsarai
3
21
71
@angew_chem
Angewandte Chemie
21 days
Metabolic glycoengineering and bioorthogonal chemistry demonstrates that in adult zebrafish – being a model for the human inner ear – a membrane that senses rotatory accelerations of the head is constantly renewed. @TheSugarDocs @UniKonstanz #openaccess
0
2
4
@Ourbiharsharif
Our.Biharsharif || Nalanda ||
3 months
Dinosaurs will make a comeback, but Bihar Sharif (Nalanda) is not going to get 2 crucial ROB projects in the city anytime soon. 😑 • ROB on LC-34A/T near Bihar Sharif Jn • Rotatory ROB on LC-30C/E at Sohsarai Halt @MpNalanda @drsunilmla @RailMinIndia @RCD_Bihar @dmnalanda
1
4
10
@CrazedDeals
Crazed Deals
3 months
Rotatory cheese grater with handle Buy via Amazon now 24% off -> https://t.co/eYKqKRCDsa
2
1
10
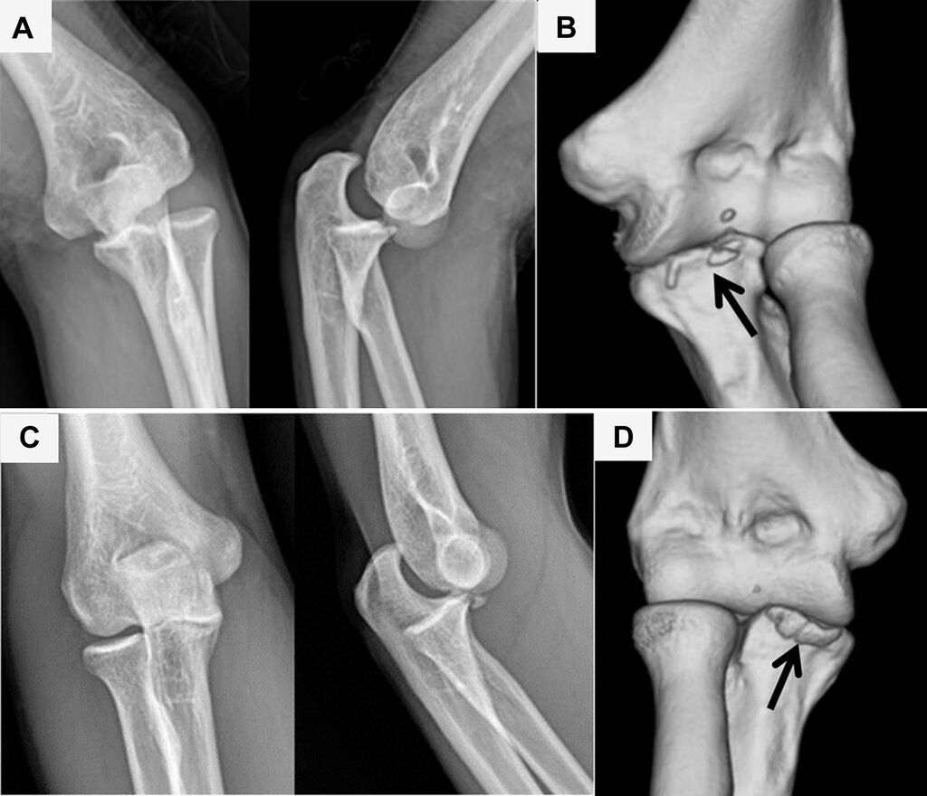
@BoneJointJ
The Bone & Joint Journal
19 days
Early identification and appropriate surgery are essential in the management of patients with posteromedial rotatory instability of the elbow to prevent the development of early post-traumatic osteoarthritis. #Surgery #Patients #Osteoarthritis #Trauma https://t.co/eOtcqOQ1Le
0
2
5
@AnandMurthiMD
Anand Murthi MD
3 months
Split Anconeus Fascia Transfer for Posterolateral Rotatory... : JAAOS - Journal of the American Academy of Orthopaedic Surgeons
0
0
6
@dgafms_mod
DGAFMS-MoD
6 months
The 4th POGS-AFMC Intercollegiate Rotatory UG Quiz was organised by the Dept of Obstetrics & Gynaecology, #AFMC on 16 Sep 2025 with participation from seven Pune colleges. Team BJ Medical College won the competition, while DY Patil Medical College secured runners-up. Lt Gen
1
0
14