
MedEd Cases
@MedEd_Cases
Followers
4K
Following
1K
Media
257
Statuses
1K
Medical Education with an emphasis on Emergency Medicine, Sports Medicine and Orthopedics #meded #emergencymedicine #ems #orthopedic #sportsmedicine #ATC
Joined March 2021
Eden’s test evaluates for thoracic outlet syndrome. The examiner stands behind the patient and palpates the radial pulse. The examiner then applies a downward traction force on the patient’s shoulder as the patient assumes a military posture by retracting the shoulders and
0
5
24
The ECU synergy test evaluates the extensor carpi ulnaris tendon as a cause of the patients pain. Start with the forearm fully supinated, the wrist in a neutral position, and the fingers fully extended. The examiner grasps the patient’s thumb and long finger with one hand while
0
9
70
The vertebral body is the large, weight-bearing anterior portion of a vertebra that provides structural support to the spine. Extending laterally from the junction of the pedicles and laminae are the transverse processes, which serve as important attachment sites for muscles and
0
2
5
In this week's blog post, Dr Kiel reviews bankart lesions, a common complication of shoulder dislocations! Read: https://t.co/YWtMEsdAQQ
#SportsMedicine #Orthopedics #PhysicalTherapy #AthleticTraining #Rehab #InjuryPrevention #Physio #SportsInjury #SportsRehab #PhysioTherapy
0
16
92
The dynamic labral shear test evaluates for glenoid labral tears in the shoulder. The arm is positioned in 90° of abduction and 90° of external rotation, and the elbow flexed. The examiner then continues to abduct the arm further from 90° to 120°. The test is considered positive
1
20
113
This is the CT scan of a soccer player who injured his back. On the top you can see coronal views and the bottom axial views of both an L2 and L3 transverse process fracture on the left and right respectively. Read: https://t.co/vaWwxb7BSx Watch: https://t.co/hRvpgN4z2Z
#MedEd
0
4
14
The Dynamic Internal Rotatory Impingement Test evaluates for femoroacetabular impingement. The patient flexes their unaffected leg in flexion beyond 90 degrees, flattening the pelvic tilt and lumbar lordosis. The examiner dynamically performs a flexion, adduction and internal
1
24
113
The Dynamic External Rotatory Impingement (DEXRIT) Test evaluates for femoroacetabular impingement syndrome. The patient is supine while holding the opposite leg in flexion beyond 90°; this helps flatten the pelvic tilt and reduce lumbar lordosis. The examiner then dynamically
0
8
50
This was an elite soccer athlete who presented with lower back pain following an awkward fall while trying to perform a bicycle kick in a match Read: https://t.co/vaWwxb89I5 Watch: https://t.co/hRvpgN56Sx
#MedEd #MedicalEducation #Medicine #MedSchool #MedStudent
1
2
7
Ultrasound-guided injection of the tibialis anterior tendon sheath is performed to deliver corticosteroid or anesthetic directly into the tendon sheath to reduce pain and inflammation. Real-time ultrasound imaging allows precise needle placement, visualization of the tendon, and
0
7
37
Durkan’s Test evaluates for carpal tunnel syndrome. The examiner applies a firm pressure over the carpal tunnel for at least 30 seconds, enough to cause skin blanching. A positive result is indicated by reproduction of pain or paresthesias in the distribution of the median nerve.
2
34
115
The forearm is composed of two long bones, the radius and ulna, which articulate with each other at the proximal and distal radioulnar joints, allowing for pronation and supination. Surrounding these bones are numerous muscles divided into anterior and posterior compartments,
1
17
77
Tarsal tunnel syndrome is a condition caused by compression of the posterior tibial nerve as it passes through the tarsal tunnel, a narrow space on the inside of the ankle. This entrapment can lead to symptoms such as burning pain, numbness, and tingling along the sole of the
1
46
207
Dugas Sign evaluates for anterior glenohumeral or shoulder dislocation. The patient is asked to place the hand of the affected arm on the opposite shoulder and then attempt to touch the chest with the elbow. A positive test occurs when the patient is unable to touch the opposite
1
17
105
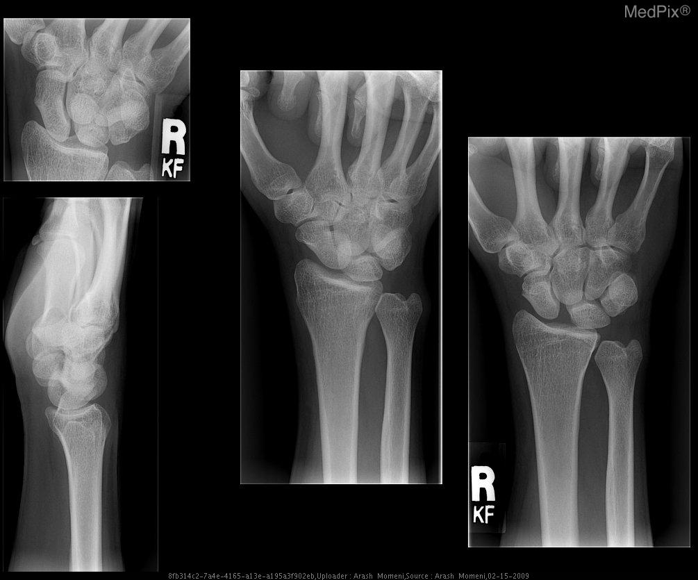
Distal radioulnar joint dislocation is an uncommon injury where the distal radius and ulna lose alignment, often caused by trauma, falls, or sports injuries. Patients typically present with wrist pain, swelling, deformity, and difficulty rotating the forearm. Diagnosis is made
1
15
88
The palmar midcarpal ligaments play an important role in stabilizing the midcarpal joint by connecting the proximal and distal carpal rows. Key ligaments in this group include the scaphotrapeziotrapezoid ligament, scaphocapitate ligament, triquetrocapitate ligament, and
1
23
75
The duck walk test evaluates for meniscus tears. The examiner asks the patient to squat down and walk forward. A positive test occurs when the patient is unable to complete the movement due to pain or experiences pain while in the squatting duck walk position. One study found
4
32
157
A TFCC tear refers to injury of the triangular fibrocartilage complex, a key stabilizer of the distal radioulnar joint and ulnar side of the wrist. Tears can occur from acute trauma, such as a fall on an outstretched hand, or from chronic repetitive loading, particularly with
1
34
132
The DRUJ compression test evaluates for pathology at the distal radioulnar joint. With the forearm in a neutral position, the examiner compresses the ulna against the radius. The test evaluates for instability, tenderness, crepitus, or swelling and is compared to the
1
17
97