Explore tweets tagged as #RadTech
@Radquarters
Daniel Kowal, MD, RMSK | Radquarters
1 month
2
11
90
@ysftgrr
nikz
3 months
—⊹ 💌 @icedkwon so happy with my purchase !! as a radtech student, super love na love ko ‘tong collection na ‘to >< thank u so much, @icedkwon 💛🩻💜 #nikzmails
1
1
7
@ashongggg23
ѕнoɴɢ
2 months
HAPPY EYE OF MEDICINE (RADTECH WEEK) ☢️🩻☠️ #Radtech #EyeofMedicine
0
0
3
@sukakkuceng
caaa
1 month
First time kerja di RS (untungnya di acc ortu setelah sekian drama) dan ya pss ternyata radtech nya cuman aku doang yang disini🙃
1
0
6
@sukakkuceng
caaa
1 month
Hi, ur radtech gf here🩻
@Dickneypixar
Percival
1 month
Hi, ur baker bf here🤓
1
0
10
@promed_staffing
Promed Staffing Resources
2 hours
ProMed Staffing Resources is expanding our #alliedhealth team and partnering with top hospitals across #NY, #NJ, #PA, and #CT . Contact us at gchahwan@promedsr.com or call (332) 330 9353. #radtech #radiologictech #radiologictechnologist #alliedjobs #manahattan #promedsr
0
0
0
@Radquarters
Daniel Kowal, MD, RMSK | Radquarters
2 months
0
20
102
@Radquarters
Daniel Kowal, MD, RMSK | Radquarters
2 months
2
10
109
@Radquarters
Daniel Kowal, MD, RMSK | Radquarters
2 months
0
7
56
@acidkiu
kiko
2 months
mga bebeloves ko, medtech or radtech? (answer kayo please)
4
0
0
@AIEngineerHub
Henri Hubert
1 month
Is AI making radiologists OBSOLETE? 🤯 Think again. AI-driven radiology is BOOMING—leading to MORE radiologists being hired & BETTER diagnoses. The future isn't replacing us... it's amplifying us. #AIHealth #FutureofMedicine #RadTech
0
0
0
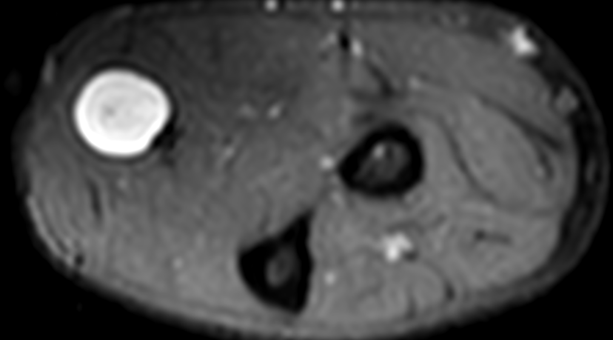
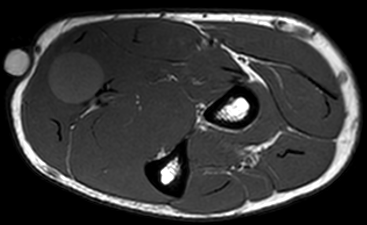
@mskteachingroom
MSK Teaching Room
8 months
What is your differential in this case? 🎯 https://t.co/UujOR4dwub #FOAMrad #FOAMed #mskrad #radres #radtech
9
7
47
@officialtuapage
Trinity University of Asia
21 hours
Level up your RadTech learning. Fresh titles on radiologic procedures, imaging science, & clinical practice are now on our shelves. Drop by the HSC Library and discover resources that can guide you from classroom concepts to real-world application. https://t.co/I3jJPdC22j
0
0
0
@aaashdrez
kesh ⋆. 𐙚 ˚ | temporarily closed
2 months
Happy #RadTech Day! 🩻☢️
1
0
13
@ashongggg23
ѕнoɴɢ
2 months
Akala ko sa pharmacy lang may pharmacology pati din pala saamin radtech. Mas mauuna pa ako mabalew kesa sumakses 😆 10 subject paano ko napapagkasya sa utak ko yan e wala naman ako nun 😭🤷‍♀️ -Goodmorning #studytwt #radtech
0
0
7
@prcboard
PRC Board
20 days
𝑹𝑻𝑳𝑬 𝑹𝑬𝑺𝑼𝑳𝑻𝑺 𝟐𝟎𝟐𝟓 ✔︎ Passers: 2,629 out of 4,419 (59.49%) ➔ Full list: https://t.co/TUbYxmdxpG Congratulations to all passers of the December 2025 RadTech Licensure Exam! ~Source: PRC Official
0
4
16
@HerzingUniv
Herzing University
3 months
Ready to get started in Rad Tech at one of our Florida campuses? Send us a DM! 🎓 #HUPossible #RadTech #Radiology #RadiologyTechnologist #BackToSchool #Healthcare #Careers #CareerChange
0
0
0
@decatkurt
Kurt De Cat
28 days
Fujifilm wint ‘RadTech Europe Innovation Award’ met Aquafuze https://t.co/e1RISPde5w #GrafischNieuws
0
0
0
@prcboard
PRC Board
20 days
TOPNOTCHERS: December 2025 RTLE Results ✔︎ See here: https://t.co/Y2CwjxPSg7 ~Source: PRC Official #rtleresults2025prcboard
0
1
9