Explore tweets tagged as #IMPoCUS
@NephroP
NephroPOCUS
2 years
7
39
179
@NephroP
NephroPOCUS
2 years
Aplicaciones clínicas de la ecografía pulmonar 🔗 https://t.co/TrpAgXFkWb #POCUS #MedEd #IMPOCUS #CriticalCare
1
151
379
@NephroP
NephroPOCUS
1 year
1
27
99
@NephroP
NephroPOCUS
2 years
#POCUS illustration of the day: IVC views - Traditional subxiphoid long axis - Subxiphoid bicaval view showing SVC in addition - Subxiphoid transverse view showing IVC and aorta - Lateral right upper quadrant view showing IVC and aorta #MedEd #Nephrology #IMPOCUS Image courtesy
5
107
356
@NephroP
NephroPOCUS
2 years
Lower limb venous #anatomy for #DVT #POCUS 🔗 https://t.co/PrNVkZfREy #MedEd #IMPOCUS CFV and CFA = common femoral vein and artery SFA, DFA = superficial and deep femoral arteries PV, PA = popliteal vein and artery
5
132
369
@ShrooqHawati
Dr.ShrooqHawati 🇸🇦| د.شروق حَـوَتي
3 years
0
5
10
@NephroP
NephroPOCUS
2 years
Friday classic #POCUS Whale tail sign + thoracic spine sign in a case of pleural effusion #MedEd #IMPOCUS #Nephpearls
4
34
134
@NephroP
NephroPOCUS
2 years
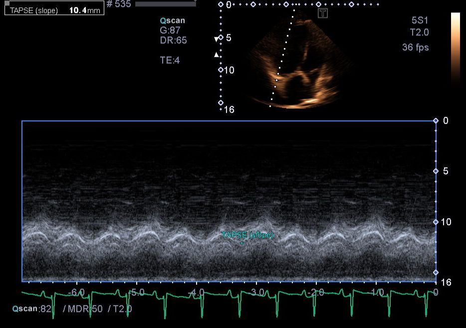
#POCUS quiz of the day 1️⃣ What transthoracic #echofirst view is this? 2️⃣ 🔑 findings in this clip? #FOAMed #FOAMcc #IMPOCUS Courtesy: Ezzeddine FM, et al. CASE (Phila). 2022.
14
27
113
@NephroP
NephroPOCUS
2 years
Weekend #POCUS quiz Identify the anechoic structures ⚫️1⃣2⃣3⃣ #FOAMed #IMPOCUS #Nephpearls
16
24
110
@NephroP
NephroPOCUS
2 years
RV is not an easy chamber to image completely on #POCUS due to its shape and location. Here is a nice illustration of different cardiac views showing different walls of RV. Courtesy: Cardioserv. net #FOAMed #FOAMcc #IMPOCUS
1
66
210
@NephroP
NephroPOCUS
1 year
Interesting #POCUS image - Cheyne-Stokes respiration on diaphragm ultrasound! From 🔗 https://t.co/hQadOGeKOv #MedEd #IMPOCUS
5
24
86
@NephroP
NephroPOCUS
10 months
Graphic representation of #echofirst parameters in the assessment of RV failure. DTI, Doppler tissue imaging; ET, ejection time; FAC, fractional area change; IVCT, isovolumic contraction time; IVRT, isovolumic relaxation time #MedEd #POCUS #IMPOCUS 🔗 https://t.co/1KqROAnknO
2
126
461
@He_L_P_Us
HeLPUs
3 years
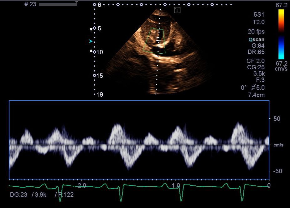
44 yo female patient with systemic sclerosis and severe pulmonary hypertension. How would you describe the hepatic vein Doppler waveform? #echofirst #POCUS #IMPOCUS #Cardiology #MedTwitter #FOAMed
8
11
40
@NephroP
NephroPOCUS
2 years
Axillary vein #POCUS #FOAMed #FOAMcc #IMPOCUS
5
17
97
@NephroP
NephroPOCUS
1 year
#POCUS quiz/game 🎲 Can you match the cardiac window on the left (1-4) to the view on the right (A-D)? These views are not commonly taught in the short introductory #IMPOCUS workshops but are important to know. #FOAMed #Nephpearls
4
28
93
@natpmfl
Natalie Perez-Mendez, MD
3 years
MICU is always nonstop learning & discovering, but today’s bedside echo revealing a massive posterior loculated pericardial effusion was next level. Thankfully patient doing well after our IR colleagues contributed w their expertise! #IMPOCUS
0
1
11
@NephroP
NephroPOCUS
11 months
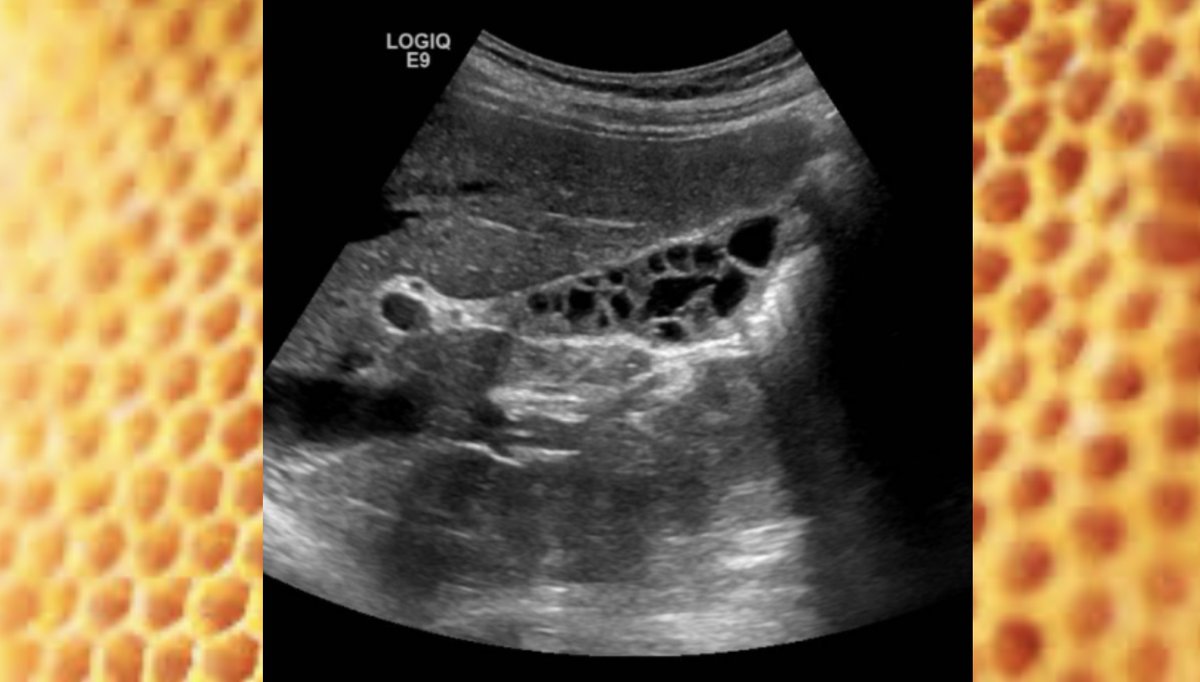
#POCUS image of the day: Honeycomb gallbladder 🐝🍯 Source and further reading: 🔗 https://t.co/nWBKFBauDp #FOAMed #IMPOCUS
3
12
59
@DrGalenMD
Jamie Galen
2 years
Great webinar ⁦@SocietyHospMed⁩ ⁦@skmac7⁩ ⁦@trevorjensen14⁩ ⁦@TanpingWong⁩ ⁦@MDbenji#impocus
0
1
1
@ArgaizR
Eduardo R Argaiz
3 years
Today these wonderful residents became Internists! I can say without a doubt that the future of Internal Medicine is in the hands of the brightest minds in the world! #DiuresisJedis #IMPOCUS Felicidades amigos!
7
3
121