getstreamml Profile Banner
StreamML Profile
StreamML

@getstreamml

Followers
113
Following
285
Media
38
Statuses
326

A simple and easy way to build, host, buy & sell RGB, multispectral and hyperspectral image #ML models. #datascience #MLOps #AI #deeplearning #yeg

Treaty 6 Lands/Edmonton
Joined October 2019
Don't wanna be here? Send us removal request.
@poweredbyisaic
ISAIC
3 years
Check out ISAIC's latest blog post on how we helped Clinisys, Farmer's Edge, and https://t.co/Z3aRnGuu2o . https://t.co/O05K6Ez1mC . #ai #ml #albertatech #iaas
0
1
1
@getstreamml
StreamML
3 years
Looking forward to several upcoming meetings with key Okanagan business leaders. Introducing BC businesses to our powerful AI platform. #YVE #Vernonbc #Kelowna #SalmonArm #RDNO
1
1
2
@justingordon212
Justin Gordon
3 years
Good morning to everyone excited to work on making their dreams become a reality
14
13
113
@WalterSchwabe
WalterSchwabe
3 years
Advising business students at UofC Haskayne School of Business this morning. Ah young minds…
0
1
3
@StartAlberta
Start Alberta
3 years
Nominations and applications for the 2022 #StartAlbertaTechAwards are now open! Powered by @ATBFinancial, the awards recognize individuals and orgs for their contributions and impact on #Alberta’s innovation ecosystem. Nominate or apply at: https://t.co/KITOzh5sYN #ABtech
1
10
22
@getstreamml
StreamML
3 years
Bored? Why not create a visual machine learning model? >>Head to https://t.co/mjOBLArNFn for a free account. 1.) Upload pictures of a subject. 2.) Label object 3.) Train 4.) Observe accuracy 5.) Deploy model with API #DataScience #ML #AI #Free #Experiment #machinelearning
0
0
0
@EdmontonGlobal
EdmontonGlobal
3 years
0
3
7
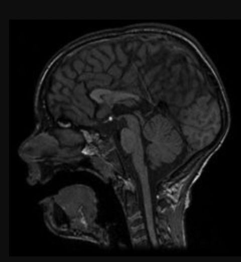
@getstreamml
StreamML
3 years
Anomaly detection training to confirm the presence or not of a brain tumor in multi-classifications. 100% accuracy achieved below using 2K images + one training run. Side view 100% certain no tumor detected.✅ Top view 100% certain tumor detected.✅ #AI #Cancer #ML #VCs
0
1
3
@getstreamml
StreamML
3 years
Big news! StreamML is now actively raising our next seed round. Angel investors and VC’s are invited to connect with us to learn more about this exciting and unique opportunity. #fundraising #VCs #Equity #ML #AI #MLOps #scale #SaaS #machinelearning #DataScience
0
3
3
@getstreamml
StreamML
3 years
Our data science team ran 20 x-Ray images of Pneumonia through our neural net for the first time ever. Returned an positive identification certainty of over 90%! 😎 #ML #radiology #multispec
0
1
2
@getstreamml
StreamML
3 years
Happy Emancipation Day Jamaica! #Jamaica60
0
0
0
@StartAlberta
Start Alberta
3 years
As #Albertatech companies continue to attract #venturecapital, raising $268M in Q2 2022, new #startups continue to be founded here. Welcome these #ABtech startups founded in 2022 to date: @3edges_io, The Connecter Inc, Scription, Cyberbox and Fledge.
4
12
34
@getstreamml
StreamML
3 years
A great day for our team out in the Okanagan, BC. #machinelearning #ML #Vernonbc #Kelowna #agriculture
0
3
2
@getstreamml
StreamML
3 years
This is neat.
@NASAhistory
NASA History Office
3 years
#DidYouKnow that the Apollo 11 astronauts filled out a customs form declaring lunar samples when they returned from space? (The form is authentic, but was completed more for fun than out of necessity.) 3 days later, scientists at @NASA_Johnson started work on the moon rocks. 1/3
0
0
0
@WalterSchwabe
WalterSchwabe
3 years
Check out the funky thermal dogs.
@getstreamml
StreamML
3 years
Playing around with a @flir camera today. Next up, #ML models.
0
1
1
@kingston4h
Kingston 4-H Clubs
3 years
It’s That Time Again!!! ⏰📣Join us in The Youth In Agriculture Village, at the Denbigh Agricultural, Industrial and Food Show. Precision Agriculture, Grow Smart Agri-Techniques, 4-H Youth Farmers & Displays Date: July 30 - August 1 Time: 9am #Denbigh2022 #jamaica4hclubs
0
2
2
@getstreamml
StreamML
3 years
Playing around with a @flir camera today. Next up, #ML models.
0
0
1
@getstreamml
StreamML
4 years
Check out our Instagram for a chance to win a gift card to Campio Brewing! #yeg
0
0
2
@getstreamml
StreamML
4 years
If anyone guessed chipmunk, you would be right! Meet our newest team member and don't be harsh - he's still in training. What should we name him? #ai #ml #tech #imageanalysis #chipmunk
0
0
1
@NASAWebb
NASA Webb Telescope
4 years
Webb’s first full-color images are now the world’s to enjoy! We hope you found them as meaningful and beautiful as we did. Here’s to many years of Webb science — we can’t wait to see what’s next as we continue to #UnfoldtheUniverse!
Tweet card summary image
nasa.gov
Lee esta nota de prensa en español aquí.
244
5K
27K