FadiSaab17 Profile Banner
Fadi Saab Profile
Fadi Saab

@FadiSaab17

Followers
3K
Following
6K
Media
349
Statuses
2K

Passionate about patients rights. Researcher, scientist and above all a collaborator. Mission: Limb Salvage

Michigan, USA
Joined March 2017
Don't wanna be here? Send us removal request.
@CLI_Global
CLI Global Society
5 days
To submit a case for the next MCLIN presentation or panel discussion, email MCLIN@cliglobalsociety.org & include de-identified HIPAA compliant patient history, images, and procedure information on 5-10 blank (white) PowerPoint slides. Learn more: https://t.co/NbeDv0lrq3
0
1
1
@FadiSaab17
Fadi Saab
25 days
Always a satisfying technique in obliterated calcified vessels. Re-back technique to cross an impossible SFA @CLI_Global @AmputationSuck @BobTahara @CraigMWalkerMD @trisharoymd @docTPlive @KNagarshethMD @baijazvascular @_backtable @Vascupedia_com
2
1
23
@trisharoymd
Trisha L. Roy MD PhD FACS
2 months
Ah at last some data to support my personal bias - revasc multiple tibials for better endo outcomes! @MattMenard6 presents BEST CLI data @ESVSmembership!
2
2
18
@SriniTummala
Srini Tummala MD FSIR FSVM
2 months
Live @EndovascularNy The masters of tibial and pedal interventions giving us their tips and tricks!!! @FadiSaab17 Marianne Broadmann Lawrence Garcia @tatsuya_nakama @PK_MountSinai @SIRspecialists @ACCinTouch
1
4
11
@DutchRojas
Dutch Rojas
3 months
Health systems love sequestration. Every threat of Medicare cuts destabilizes your contracts, tanks your valuations, and makes it easier for them to buy your practice at a discount. That’s not “market forces.” That’s predation dressed up as policy. And endorsed by @cmsgov
0
5
10
@FadiSaab17
Fadi Saab
3 months
Amazing hands on session with #AMP2025 faculty doing pedal access @kmadass @Watts_IR @michaelcsiah @lizgenovese
3
1
35
@FadiSaab17
Fadi Saab
3 months
Great talks with @YsaAugust #AMP2025 discussing CTO crossing and challenging cases @AMPSymposium
0
2
11
@FadiSaab17
Fadi Saab
3 months
First day live cases #AMP2025 showcasing contemporary tech to treat #realworld CLI patients @AMPSymposium @kmadass @KNagarshethMD @CarmenHeaney @Colleen_Waters1
0
2
17
@_backtable
BackTable Vascular and Interventional
4 months
Calling all vessel prep enthusiasts! This week on BackTable, tune in as @JayMathewsMD and @michaelcsiah break down specialty balloons and devices, how they decide to use them, and the latest technologies that will be shaping their future practice. A great listen for
1
5
25
@FadiSaab17
Fadi Saab
4 months
Who is responsible? When an insurance company denies authorization for a CLTI Pt with rest pain… using pre authorization, Peer to Peer and mildly Abnormal ABI to block treatment…Weeks!!!!! Patient showed up to ER with occluded Profunda and occluded tibial!!!! @_backtable
4
1
14
@AMPSymposium
AMP the CLTI Meeting
5 months
Watch this AMP 2024 highlight! Dr. Khanjan Nagarsheth shares key insights on timing & level of minor amputation in pDVA. Full talk + more: https://t.co/evL0hYDXkE Don't miss #AMP2025! Advance rates end Fri. at 11:59 PM ET: https://t.co/MJPYpwyczy
0
5
10
@AMPSymposium
AMP the CLTI Meeting
5 months
Course Director Spotlight: Why #AMP2025 Matters Dr. @bretwiechmann & Dr. Richard Neville share why AMP is a premier meeting for CLTI education & amputation prevention. Register by July 11 to secure the advance rates: https://t.co/ps14s3SUrA
0
4
7
@BobTahara
Bob Tahara
5 months
Wow. These are sobering statistics from @DutchRojas
@DutchRojas
Dutch Rojas
5 months
Medicaid is a billing mechanism, not a care guarantee. In Pennsylvania, Medicaid enriches three tax-exempt empires: UPMC, Penn Medicine, and Geisinger, and steals from the good people of PA. You’ve said Republicans are trying to rip healthcare from 500,000 Pennsylvanians.
0
1
7
@CLI_Global
CLI Global Society
5 months
Explore our Member Directory to see who’s leading the charge in advancing education, innovation, and collaboration. 🔎 Discover the CLI Global Society community >> https://t.co/6aeh1jrrxF
0
2
2
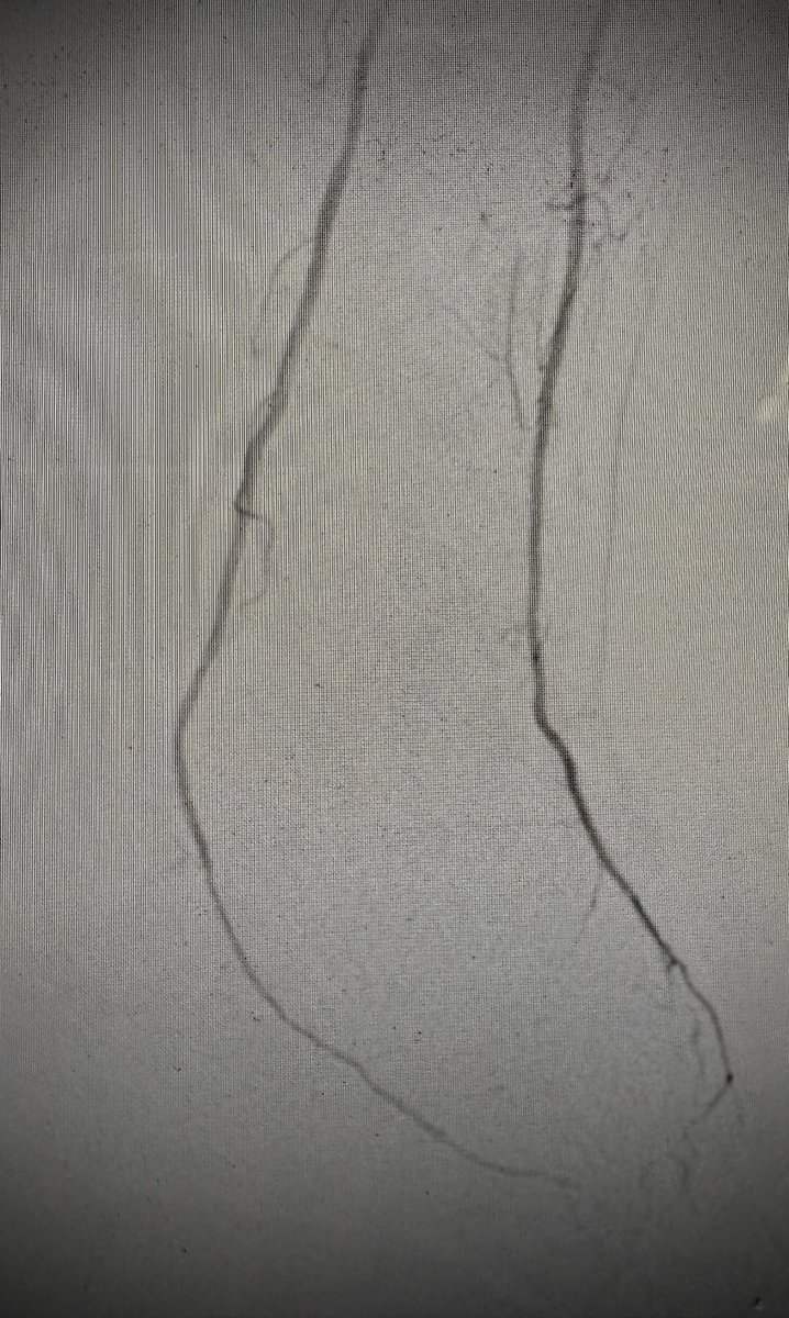
@FadiSaab17
Fadi Saab
5 months
High resolution image showing the spur protrusion into the media #SPUR @reflowmedical . Retrievable scaffold in tibial dz. Excited to utilize this technology in our tough CLI pts @HadyLichaaMD @JayMathewsMD @AmputationSuck @AmputationSuck @keithppereira @kmadass @CraigMWalkerMD
1
3
16
@FadiSaab17
Fadi Saab
5 months
Another example of utilizing #SPUR @reflowmedical in pts with tibial dz. Around the ankle is a tough area especially in CTO pts.@CLI_Global @AmputationSuck @AMPSymposium @CLIjournal @SCAI @OEISociety @bretwiechmann @BobTahara @KNagarshethMD @JayMathewsMD @dandu_n
1
0
18
@FadiSaab17
Fadi Saab
5 months
Another achievement for our publications committee @CLI_Global @BobTahara @dandu_n @HadyLichaaMD . Learn about the gap between RCTs and Real world in CLTI pts
@FadiSaab17
Fadi Saab
5 months
Congratulations to our Publications committee ⁦@CLI_Global⁩. Another publication discussing the drastic gap between RCT and real world CLTI pts ⁦@KNagarshethMD⁩ ⁦@EricSecemskyMD⁩ ⁦@bretwiechmann⁩ ⁦@CarmenHeaney⁩ ⁦
0
1
4
@FadiSaab17
Fadi Saab
5 months
Congratulations to our Publications committee ⁦@CLI_Global⁩. Another publication discussing the drastic gap between RCT and real world CLTI pts ⁦@KNagarshethMD⁩ ⁦@EricSecemskyMD⁩ ⁦@bretwiechmann⁩ ⁦@CarmenHeaney⁩ ⁦
0
2
7
@bretwiechmann
Bret Wiechmann
5 months
This, this, this👇
@EPotterMD
Elisabeth Potter MD
5 months
I’ve heard you telling me that your hospitals and clinics are understaffed and stretched too thin. Today, it happened to my patient and I know it’s happening to others, too. I showed up to do three breast reconstruction surgeries. But the hospital told me they didn’t have enough
0
1
5
@AMPSymposium
AMP the CLTI Meeting
5 months
Level up your skills at #AMP2025! Join hands-on workshops on Aug. 14 in Chicago—featuring expert-led training in limb salvage & endovascular access. Register by July 11 to secure the advance rates: https://t.co/DZJjfAAhdU @kmadass @michaelcsiah @MidOhioVascular @DrLizGenovese
0
5
17