Ahmed Bennis MD πŸ«€ Profile
Ahmed Bennis MD πŸ«€

@drbennisahmed

Followers
3K
Following
9K
Media
5K
Statuses
6K

Professor of Cardiology πŸ«€ FACC / FESC / FHFA

Casablanca, Grand Casablanca
Joined August 2023
Don't wanna be here? Send us removal request.
@drbennisahmed
Ahmed Bennis MD πŸ«€
13 hours
Diabetes and sudden cardiac death: a Danish nationwide study Individuals with diabetes displayed consistently elevated incidence rates of SCD across age groups. Further, the elevated risk of SCD in individuals with diabetes diminished with increasing age. For both T1D and T2D,
0
3
14
@drbennisahmed
Ahmed Bennis MD πŸ«€
13 hours
Long forms of cardiac troponin T for myocardial infarction diagnosis: the SuperTROPO study The long cTnT assay demonstrated good diagnostic performance in identifying MI in patients with elevated total cTnT levels, with the potential to improve the accuracy of MI diagnosis.
0
2
11
@drbennisahmed
Ahmed Bennis MD πŸ«€
13 hours
Cardiac Troponin Screening and Clinical Outcomes in Patients Receiving Immunotherapy cTnI surveillance integrated with symptom-based triaging can facilitate early intervention and treatment of cardiotoxicities such as myocarditis #Cardiology #MedTwitter #CardioTwitter
0
0
7
@drbennisahmed
Ahmed Bennis MD πŸ«€
14 hours
Clinical Impact of In-Hospital Hemoglobin Decline Without Overt Bleeding After Transcatheter Aortic Valve Replacement An in-hospital hemoglobin decrease β‰₯3 g/dL after TAVR, even in the absence of overt bleeding, was very common and independently associated with worse outcomes.
0
0
5
@drbennisahmed
Ahmed Bennis MD πŸ«€
14 hours
Sex-specific body fat distribution predicts cardiovascular ageing Shared and sex-specific patterns of body fat are associated with both protective and harmful changes in cardiovascular ageing, highlighting adipose tissue distribution and function as a key target for
0
2
14
@drbennisahmed
Ahmed Bennis MD πŸ«€
14 hours
Cardiac magnetic resonance imaging in transthyretin amyloidosis: getting to the heart of the matter It is clearly necessary to implement CMR in the routine evaluation of treatment effects in phase III trials, as well as in real-world assessments of the comparative effectiveness
0
2
29
@drbennisahmed
Ahmed Bennis MD πŸ«€
14 hours
Transthyretin amyloid cardiomyopathy: natural history and treatment response assessed by cardiovascular magnetic resonance CMR with ECV mapping can track changes in cardiac amyloid burden and treatment response in ATTR-CM, with changes in ECV being independently associated with
0
2
16
@drbennisahmed
Ahmed Bennis MD πŸ«€
14 hours
Artificial intelligence-based identification of thin-cap fibroatheromas and clinical outcomes: the PECTUS-AI study AI-based OCT image analysis allows standardized identification of patients at increased risk of adverse cardiovascular outcome, offering an alternative to manual
0
4
13
@drbennisahmed
Ahmed Bennis MD πŸ«€
2 days
Merck’s WINREVAIRβ„’ (sotatercept-csrk) Met Primary Endpoint in Phase 2 CADENCE Study in Adults With Combined Post- and Precapillary Pulmonary Hypertension (CpcPH) due to Heart Failure With Preserved Ejection Fraction (HFpEF) WINREVAIR demonstrated a statistically significant and
merck.com
WINREVAIR demonstrated a statistically significant and clinically meaningful reduction in the primary endpoint of pulmonary vascular resistance (PVR) compared to placebo, improving the ability of...
0
4
9
@drbennisahmed
Ahmed Bennis MD πŸ«€
3 days
Adherence to guideline-directed medical treatments in heart failure. A scientific statement of the Heart Failure Association (HFA) of the ESC and the ESC Working Group on Cardiovascular Pharmacotherapy Polypills, digital monitoring platforms, enhanced patient education and
1
10
21
@drbennisahmed
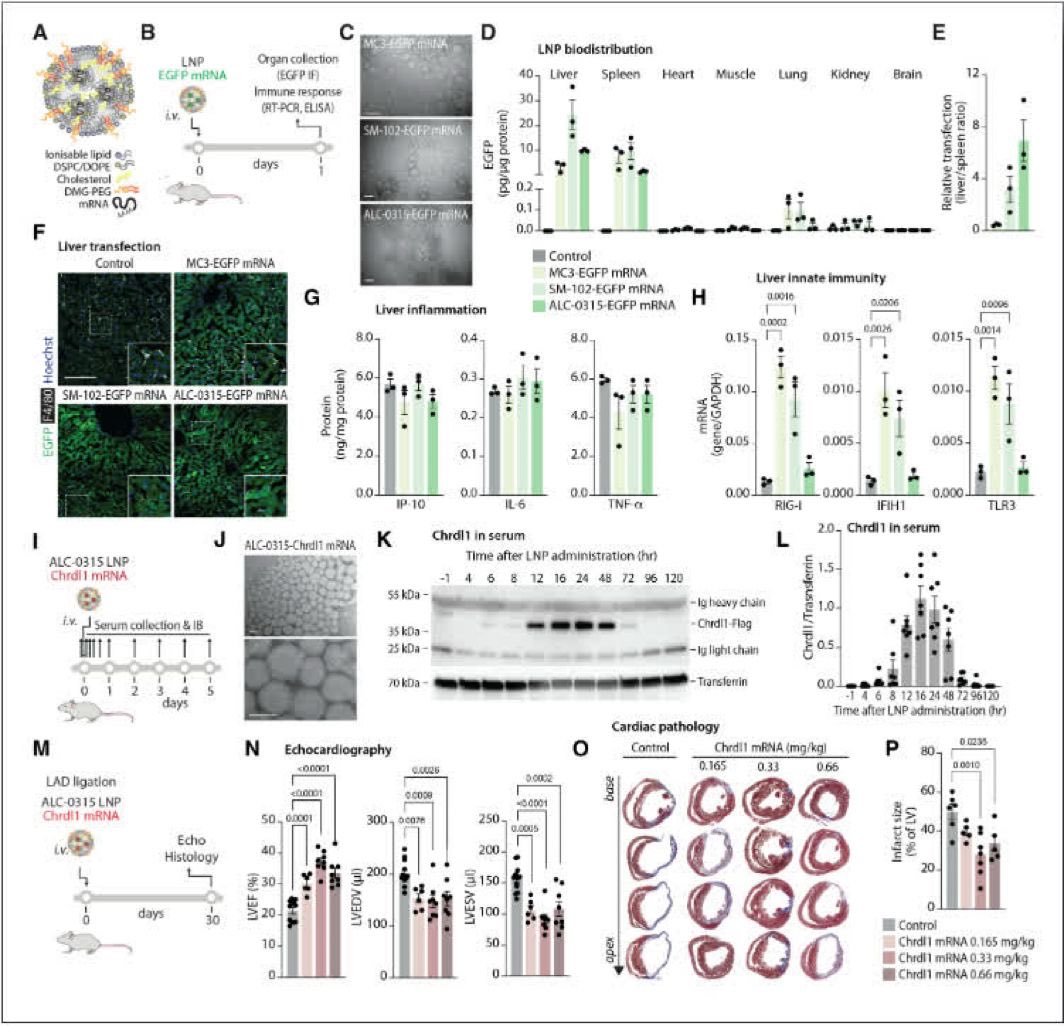
Ahmed Bennis MD πŸ«€
3 days
Chordin-Like 1 mRNA Therapy for Acute Myocardial Infarction Using an in vivo method for the functional selection of cardioprotective factors, we previously screened a barcoded adeno-associated virus library from the mouse secretome and identified the bone morphogenetic protein 4
1
1
6
@drbennisahmed
Ahmed Bennis MD πŸ«€
3 days
Long-Term Favorable Cardiac Remodeling in Obstructive Hypertrophic Cardiomyopathy Patients Treated With Mavacamten for Up to 128 Weeks: Insights From the VALOR-HCM Trial In the VALOR-HCM trial, treatment with mavacamten resulted in sustained favorable cardiac remodeling,
0
3
16
@drbennisahmed
Ahmed Bennis MD πŸ«€
3 days
Pulsed Field Ablation Using a Novel Biphasic Catheter vs Thermal Ablation for Paroxysmal Atrial Fibrillation: InsightPFA Trial The nsPFA exhibited noninferior efficacy and comparable safety to AI-guided RFA while obviating the need for general anesthesia #Cardiology #MedTwitter
0
5
18
@drbennisahmed
Ahmed Bennis MD πŸ«€
3 days
Dual vs Single Antiplatelet Therapy After Transcatheter Aortic Valve Replacement for Bioprosthetic Valve Failure DAPT after valve-in-valve TAVR may be associated with a lower 1-year incidence of stroke, whereas no significant difference was observed for other major ischemic and
0
15
25
@drbennisahmed
Ahmed Bennis MD πŸ«€
3 days
Benefit of icosapent ethyl across types and sizes of myocardial infarction in REDUCE-IT IPE significantly reduced MI across most subtypes and sizes in statin-treated patients with elevated triglycerides at increased cardiovascular risk #Cardiology #MedTwitter #CardioTwitter
0
10
32
@drbennisahmed
Ahmed Bennis MD πŸ«€
4 days
Oestrogen-related receptor Ξ³ in sepsis-induced cardiomyopathy: role of cardiomyocyte subtype conversion This study not only identifies cardiomyocyte subtype conversions as a key pathophysiological basis for SICM-induced cardiac dysfunction but also establishes ERRΞ³ as the
0
1
8
@drbennisahmed
Ahmed Bennis MD πŸ«€
4 days
Colchicine for secondary prevention of vascular events: a meta-analysis of trials In patients with prior coronary disease or stroke, colchicine reduced the composite of cardiovascular death, myocardial infarction, or stroke by 12%. #Cardiology #MedTwitter #CardioTwitter
0
6
21
@drbennisahmed
Ahmed Bennis MD πŸ«€
4 days
Frailty and long-term outcomes in younger patients with acute myocardial infarction Frailty is independently associated with poor outcomes after AMI, with the strongest impact observed in younger patients, highlighting the need for frailty assessment across all age groups.
1
8
28
@drbennisahmed
Ahmed Bennis MD πŸ«€
5 days
GLP-1 and GIP Beyond Glycaemia: Evolutionary Roles in Energy Optimisation and Organ Protection Incretin hormones do not merely facilitate glucose homoeostasis; they coordinate an integrated systemic response to feeding that aligns metabolic efficiency with the protection of
0
7
38
@drbennisahmed
Ahmed Bennis MD πŸ«€
5 days
National Trends and Disparities in Heart Failure Hospitalizations and Inpatient Outcomes Between 2010-2022 This longitudinal analysis of U.S. hospitalizations from 2010 to 2022 revealed that HF hospitalizations began increasing in 2014, peaked in 2019, and then declined sharply
0
3
10