divinekofi Profile Banner
Divine Kofi Pekyi Profile
Divine Kofi Pekyi

@divinekofi

Followers
21
Following
38
Media
7
Statuses
32

Medical Lab Scientist | Data-Driven Diagnostics | AI & #LabScience | Turning Data into Lives

Kumasi-Ghana
Joined July 2014
Don't wanna be here? Send us removal request.
@divinekofi
Divine Kofi Pekyi
10 months
Hey, I’m Divine, a Medical Lab Scientist obsessed with AI in diagnostics. Let’s connect! #LabScience #AI
0
0
1
@divinekofi
Divine Kofi Pekyi
10 months
Personalised medicine is booming in 2025: 3D tumoroid models are changing how we study cancer. More accurate, patient-specific data = better treatments. Exciting times for lab science! #PersonalizedMedicine #CancerResearch #TumoroidModels #PrecisionTherapies #MedicalLab
0
0
1
@divinekofi
Divine Kofi Pekyi
10 months
AI’s the future of diagnostics. Imagine LIMS predicting reagent needs or flagging errors before they happen: efficiency on steroids. Thoughts? #LabScience #AIinHealthcare #LabScience #MedLabTech #MLS #AIinHealthcare #PrecisionMedicine #LabHeroes #FutureLab
0
0
1
@divinekofi
Divine Kofi Pekyi
10 months
Labs of tomorrow: AI, automation, & us, MLS pros: pushing boundaries. Let’s lead the charge for smarter diagnostics. #FutureLab #MedLabScience #LabScience #MedLabTech #MLS #AIinHealthcare #PrecisionMedicine #LabHeroes #FutureLab
0
0
1
@divinekofi
Divine Kofi Pekyi
10 months
Precision med’s exploding—labs tailoring tests to DNA. It’s personal, it’s powerful, but it’s a data avalanche. Can we keep up? #PrecisionMedicine #LabLife #LabScience #MedLabTech #MLS #AIinHealthcare #PrecisionMedicine #LabHeroes #FutureLab
0
0
1
@divinekofi
Divine Kofi Pekyi
10 months
AI’s storming med labs in 2025—crunching data, spotting trends, & freeing us for the big stuff. Are we ready to team up with machines? #LabScience #AIinHealthcare"
0
0
1
@satyanadella
Satya Nadella
11 months
A couple reflections on the quantum computing breakthrough we just announced... Most of us grew up learning there are three main types of matter that matter: solid, liquid, and gas. Today, that changed. After a nearly 20 year pursuit, we’ve created an entirely new state of
5K
19K
107K
@CodeByPoonam
Poonam Soni
11 months
Grok 3 just dropped and it's INSANE Everyone on X is going crazy over its capabilities. 13 WILD examples so far (Don't miss the 5th one)
30
62
460
@heyshrutimishra
Shruti
11 months
🚨 BREAKING: Elon Musk’s xAI JUST launched the Grok 3 & it’s wild. 🔥 It outperforms Gemini 2 Pro, Deepseek V3, Claude 3.5 and OpenAI's GPT-4o in multiple benchmarks. Here’s why this is HUGE: 👇
17
21
167
@CodeByPoonam
Poonam Soni
11 months
Goodbye ChatGPT Perplexity just dropped Deep Research and it's FREE 10 WILD examples so far: (Don’t miss the 5th one)
58
212
2K
@divinekofi
Divine Kofi Pekyi
1 year
0
0
0
@divinekofi
Divine Kofi Pekyi
3 years
How AI Can Save Lives by Predicting Esophageal Cancer Risk: Learn how the TissueCypher test can help patients with Barrett’s oesophagus and their doctors make better-informed decisions about treatment options. https://t.co/H9cG3sjG0w
labmedica.com
TissueCypher Barrett’s Esophagus test is the world’s first precision medicine test that predicts the future development of esophageal cancer in patients with BE.
0
0
1
@divinekofi
Divine Kofi Pekyi
3 years
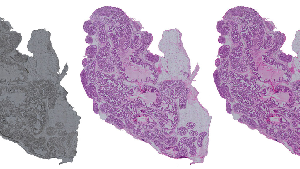
AI can virtually stain tissue samples for histopathology, saving time and resources. Learn how it works and why it matters for cancer diagnostics. [ https://t.co/lr6YGL6lho] #AI #ArtificialIntelligence #histopathology #cancer
0
0
2
@divinekofi
Divine Kofi Pekyi
5 years
0
0
0
@divinekofi
Divine Kofi Pekyi
11 years
Both Americans who were treated for the Ebola virus in the U.S. have been discharged from an Atlanta hospital. http://t.co/dVYHBl1Cco
0
0
0
@CMichaelGibson
C. Michael Gibson MD
11 years
BREAKING: 1st Ebola case coming to Atlanta for treatment. Read the memo to Emory physicians: http://t.co/zUtDSEySRH http://t.co/ZdprVRS7Vr
11
74
22
@nubiancheetah
Nii Simmonds
11 years
Some facts about Ebola and how yo protect yourself http://t.co/c9mHhRMkio #ebola #cdc
1
7
1
@CMichaelGibson
C. Michael Gibson MD
11 years
.@WHO deploys volunteer medical workers to respond to Ebola outbreak in Sierra Leone, West Africa - meet them here: http://t.co/SUTgxz1qne
0
6
2
@divinekofi
Divine Kofi Pekyi
11 years
Partnership is trust!
0
0
0
@divinekofi
Divine Kofi Pekyi
11 years
For every Change comes with a Change!
0
0
0