davidalmeidaMD Profile Banner
David Almeida MD Profile
David Almeida MD

@davidalmeidaMD

Followers
2K
Following
266
Media
3K
Statuses
4K

David Almeida, MD MBA PhD is a retina surgeon offering a unique voice that combines passion for ophthalmology, vision for business and expertise in research.

Erie, PA
Joined April 2016
Don't wanna be here? Send us removal request.
@davidalmeidaMD
David Almeida MD
3 years
Although still in development, this new OCT technique (published in AJO) holds promise for objectively grading vitreous cells and assessing the severity of intraocular inflammation in patients with posterior uveitis. https://t.co/biJSBOWuwS
0
3
14
@davidalmeidaMD
David Almeida MD
3 years
Honored to have our amyloidosis report on the cover of the recent Journal of VitreoRetinal Diseases! Despite false-negative vitreous biopsies, the case reveals vitreous opacities, decreased vision, retinal NVE as critical signs in ocular amyloidosis. https://t.co/gyRoDFkLQW
0
1
8
@davidalmeidaMD
David Almeida MD
3 years
Here is a challenging case of severe ophthalmic involvement in granulomatosis with polyangiitis resistant to cyclophosphamide. This 63-year-old female presented with acute vision loss, optic disc edema, headache, and positive cANCA. https://t.co/6NW9V3Ik3Y
0
0
6
@davidalmeidaMD
David Almeida MD
3 years
Here is a dramatic case of leopard-spot pattern after vitrectomy in a patient with chronic rhegmatogenous RD. This unusual pigmentary pattern is likely secondary to chronic fluid in the setting of a longstanding proliferative vitreoretinopathy detachment. https://t.co/cCD3nvoMl8
0
3
19
@davidalmeidaMD
David Almeida MD
3 years
Excellent multimodal imaging of perifoveal unilateral retinal pigment epithelium dysgenesis. Note the well-demarcated flat perifoveal lesion (with variegated pigmentation and scalloped margins). https://t.co/yzsaPpev4G
0
1
18
@davidalmeidaMD
David Almeida MD
3 years
Cool case of a 33-year-old female presenting with cornea verticillata; bilateral whorl-like golden-brown streaks stemming from the central cornea. The diagnosis of a rare lysosomal storage disorder - Fabry disease - was made! https://t.co/wp2k0gxjzn
0
0
1
@davidalmeidaMD
David Almeida MD
3 years
Here is a rare case of monkeypox conjunctivitis in a patient with HIV. Monkeypox is an emergent zoonotic disease caused by an orthopoxvirus which can result in a smallpox-like disease. https://t.co/lXP4FW8AGG
1
2
6
@davidalmeidaMD
David Almeida MD
3 years
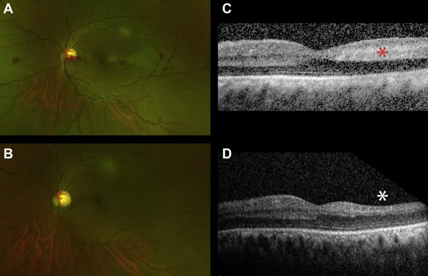
Photo essay of spontaneous resolution of chronic central serous chorioretinopathy. In cases of spontaneous SRF resolution, the “Fuji sign” is a novel OCT biomarker where SRF shape resembles Mount Fuji; strongly associated with spontaneous SRF resolution. https://t.co/OkwXz0fylB
0
0
5
@davidalmeidaMD
David Almeida MD
3 years
New multicenter, randomized controlled, noninferiority trial asks if air is noninferior to SF6 gas tamponade for small (≤ 250 μm) and medium (> 250 μm & ≤ 400 μm) macular holes. Results show air tamponade inferior to SF6 for MH ≤ 400 μm diameter. https://t.co/eX4Hfi1mid
0
0
3
@davidalmeidaMD
David Almeida MD
3 years
Preplanned exploratory analysis of a phase 2 LADDER trial reveals there was NO evidence of worse macular atrophy with the PDS/SUSVIMO implant compared with that with monthly intravitreal ranibizumab 0.5-mg injections. https://t.co/BMj4s1rEHx
0
0
1
@davidalmeidaMD
David Almeida MD
3 years
Just published - here is our article (with a downloadable cheat sheet) - providing a comprehensive overview of past, current, and future treatment modalities aimed at dry age-related macular degeneration. You can find @ Eyes on Eyecare here: https://t.co/cLa8MQ9bN8
0
3
17
@davidalmeidaMD
David Almeida MD
3 years
New prospective, observational (n=15) home OCT study - using self-operated Notal Vision Home OCT (NVHO) system - was examined in nAMD. Results show 96% agreement between manual and automatic grading; nearly all patients agreed that NVHO was easy to use. https://t.co/AzGYexqtE9
0
2
5
@davidalmeidaMD
David Almeida MD
3 years
Recorded @ ASRS, here is my video as the first US surgeon to implant the SING IMT (Implantable Miniature Telescope) from Samsara Vision as part of CONCERTO clinical trial. The SING IMT is for patients with bilateral central scotoma. https://t.co/fJxEFkjBJ3
0
1
4
@davidalmeidaMD
David Almeida MD
3 years
What a f***in race! Burning River 100 @ Cuyahoga Falls OH 102.52 miles 25 hours:57 minutes Thanks to everyone for their love and support! MUCH LOVE to my crew master - my beautiful wife JASMINE - who kept me smiling and running - and did it while looking so good ;-)
0
0
4
@davidalmeidaMD
David Almeida MD
3 years
its time - burning river 100 mile race starts tomorrow @ 4amet! thanks everyone for the support and ready to roll 🔥🔥🔥
0
0
1
@davidalmeidaMD
David Almeida MD
3 years
The WHO declared monkeypox to be a global health emergency. With cases already in dozens of countries, many experts had urged faster action. WHO’s declaration signals a public health risk; Monkeypox has infected tens of thousands in just a few weeks. https://t.co/jmEmW9fEU3
0
0
1
@davidalmeidaMD
David Almeida MD
3 years
Check out the latest Practice Management Insider from Retinal Physician - Scribes in Retina: Evaluating the Cost-Effectiveness of a Vitreoretinal Scribe Program. Learn how a vitreoretinal scribe program can improve clinical efficiency. https://t.co/xWOmuUQTDc
1
0
2
@davidalmeidaMD
David Almeida MD
3 years
New analysis - part of the Global Burden of Disease study funded by Bill & Melinda Gates Foundation & published in The Lancet - finds only risks for adults under age 40 if they consume even a small amount of wine or beer per day. https://t.co/rf74MEkUXF
0
0
1
@davidalmeidaMD
David Almeida MD
3 years
Wonderful to catch up with so many fantastic friends and colleagues here in NYC @ ASRS 2022! Many thanks and privileged to be the first surgeon in the USA to implant the Samsara SING telescope - as part of the CONCERTO clinical trial for bilateral end-stage AMD.
0
0
6
@davidalmeidaMD
David Almeida MD
3 years
New multicenter, retrospective, nonconsecutive case series measured rates of hemi- or central retinal vein occlusion (HRVO/CRVO) in the United States. Data suggest a possible link between COVID-19 infection and increased retinal vein occlusion rates. https://t.co/XZq8L8kGvs
0
1
4