cytojournal Profile Banner
Cytojournal Profile
Cytojournal

@cytojournal

Followers
95
Following
3K
Media
23
Statuses
51

Journal focus cytopathology, homepage https://t.co/whxEBsNsCz

Media&News Company
Joined November 2023
Don't wanna be here? Send us removal request.
@cytojournal
Cytojournal
1 month
💡 Recommended articles: Cytopathology of urine (and the Paris system): CMAS #4. Editor: Shikha Bose; Series Editor: Vinod Shidham 👉 https://t.co/LWk5wedCaU #UrinaryCytopathology #TheParisSystem #DiagnosticAccuracy #Biomarkers #DigitalPathology
cytojournal.com
Cytopathology of urine (and the Paris system): CMAS #4. Editor: Shikha Bose; Series Editor: Vinod Shidham
0
0
1
@cytojournal
Cytojournal
2 months
💡 Recommended articles: The physiological and pathogenic roles of yes-associated protein/transcriptional co-activator with PDZ-binding motif in bone or skeletal motor system-related cells 👉 https://t.co/byhY9XV1z1 #Bone #Cartilage #Heterotopicossification #Mesenchymalstemcell
0
0
1
@cytojournal
Cytojournal
2 months
💡 Recommended articles: E2F1-mediated ESPL1 transcriptional activation predicts poor prognosis and promotes the proliferation of leiomyosarcoma 👉 https://t.co/DhpPY8VZZK #Leiomyosarcoma #Extraspindlepolebodieslike1 #E2F1 #Cellcycle #Proliferation
0
0
1
@cytojournal
Cytojournal
2 months
💡 Recommended articles: Computer-assisted scatter plot analysis of cell and nuclear areas distinguishes urothelial carcinoma in urine cytology specimens 👉 https://t.co/ReLtXNsEOK #Computer-assistedimageanalysis #Cytology #Papanicolaoustaining #Urine #Urothelialcarcinoma
cytojournal.com
Computer-assisted scatter plot analysis of cell and nuclear areas distinguishes urothelial carcinoma in urine cytology specimens
0
0
1
@cytojournal
Cytojournal
2 months
💡 Recommended articles: Exploration of immunocytochemical biomarkers related to central lymph node metastasis in papillary thyroid microcarcinoma 👉 https://t.co/rwpzpXin1s #Immunocytochemistry #Keratin-5 #Lymphatic #Papillarythyroidmicrocarcinoma
0
0
1
@cytojournal
Cytojournal
3 months
💡Recommended articles: Histopathological findings of 687 thyroid nodules,suspicious for malignancy on ultrasound,with an indeterminate cytopathological diagnosis after the combination of the Bethesda System and BRAF mutation status https://t.co/dAeC37Vq4m #Thyroid #Pathological
cytojournal.com
Histopathological findings of 687 thyroid nodules, suspicious for malignancy on ultrasound, with an indeterminate cytopathological diagnosis after the combination of the Bethesda System and BRAF...
0
0
1
@cytojournal
Cytojournal
7 months
💡Recommended articles: Relationship between transmembrane emp24 domain containing 2 expression and tumor stem cell characteristics in oral cancer https://t.co/uHloca4ryI #OralCancer #Cytology #Pathology #pathx #pathtwitter
cytojournal.com
Relationship between transmembrane emp24 domain containing 2 expression and tumor stem cell characteristics in oral cancer
0
1
2
@cytojournal
Cytojournal
7 months
💡Recommended articles: Cytopathology of urine (and the Paris system): CMAS #4. Editor: Shikha Bose; Series Editor: Vinod Shidham https://t.co/LWk5wedCaU #UrinaryCytology #Cytology #Pathology #pathx #pathtwitter
cytojournal.com
Cytopathology of urine (and the Paris system): CMAS #4. Editor: Shikha Bose; Series Editor: Vinod Shidham
0
1
3
@cytojournal
Cytojournal
7 months
💡Recommended articles: The physiological and pathogenic roles of yes-associated protein/transcriptional co-activator with PDZ-binding motif in bone or skeletal motor system-related cells https://t.co/byhY9XV1z1… #Bone #Cartilage #Cytology #Pathology #pathx #pathtwitter
0
1
2
@cytojournal
Cytojournal
7 months
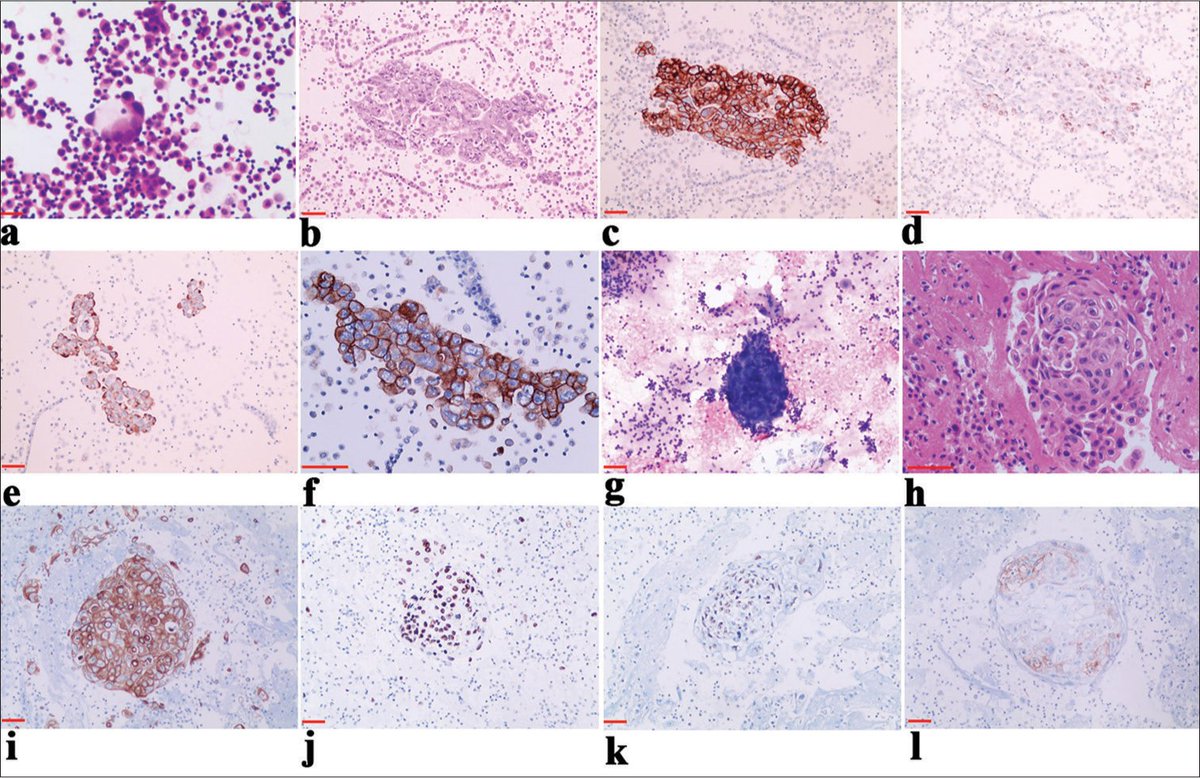
💡Recommended articles: Pulmonary extranodal NK/T-cell lymphoma: A clinicopathological analysis of five patients https://t.co/3CdqLJ1Di0 #Pulmonary #lymphoma #Cytology #Pathology #pathx #pathtwitter
0
4
13
@cytojournal
Cytojournal
8 months
💡Recommended articles: Ankyrin repeat domain 1 is dysregulated in keloids and suppresses keloid fibroblast growth, migration, and extracellular matrix deposition https://t.co/3RE6YHM3Wz #Fibroblasts #Keloid #Cytology #Pathology #pathx #pathtwitter
0
3
13
@cytojournal
Cytojournal
8 months
💡Recommended articles: Computer-assisted scatter plot analysis of cell and nuclear areas distinguishes urothelial carcinoma in urine cytology specimens https://t.co/ReLtXNsEOK #image #urine #Cytology #Pathology #pathx #pathtwitter
0
5
25
@cytojournal
Cytojournal
8 months
💡Recommended articles: Exploration of immunocytochemical biomarkers related to central lymph node metastasis in papillary thyroid microcarcinoma https://t.co/rwpzpXhPbU #Immunocytochemistry #lymph #Cytology #Pathology #pathx #pathtwitter
0
1
11
@cytojournal
Cytojournal
8 months
💡Recommended articles: Histopathological findings of 687 thyroid nodules, suspicious for malignancy on ultrasound, with an indeterminate cytopathological diagnosis after the combination of the Bethesda System and BRAF mutation status https://t.co/dAeC37USeO #Thyroid #pathx
0
1
8
@cytojournal
Cytojournal
9 months
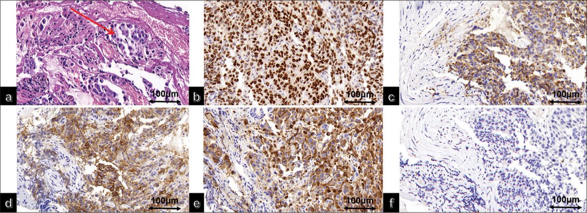
💡Recommended articles : A case of lung adenocarcinoma expressing carbonic anhydrase IX and cluster of differentiation 10 antigen combined with renal clear cell carcinoma https://t.co/RYHKRroYmu #lungcancer #CCRCC #Cytology #Pathology #pathx #pathtwitter
0
1
4
@cytojournal
Cytojournal
9 months
💡Recommended articles : Identification of transcription factors associated with the disease-free survival of triple-negative breast cancer through weighted gene co-expression network analysis https://t.co/Q4dNcKMjQQ #BreastCancer #Cytology #Pathology #Cytopathology
0
2
6
@cytojournal
Cytojournal
9 months
💡Recommended articles : E2F1-mediated ESPL1 transcriptional activation predicts poor prognosis and promotes the proliferation of leiomyosarcoma https://t.co/DhpPY8VZZK #Leiomyosarcoma #Proliferation #Biomarker #Cytology #Pathology #Cytopathology
0
1
6
@cytojournal
Cytojournal
10 months
💡Recommended articles : Utility of fine-needle aspiration cytology combined with flow cytometry in extramedullary hematolymphoid lesions – A cross-sectional study @DebasisGochhait https://t.co/XMNxHVLHSQ #cytometry #Lymphoma #Cytology #pathology #cytopathology
0
5
15
@cytojournal
Cytojournal
10 months
💡Recommended articles : Expression of minichromosome maintenance proteins in the exfoliated cells supplement sputum cytology in the diagnosis of lung cancer https://t.co/uVyCCiPqbs #neoplasms #Immunocytochemistry #cytology #pathology #cytopathology
0
1
6
@cytojournal
Cytojournal
10 months
💡Recommended articles : Expression and clinical significance of programmed death ligand-1 evaluated by 22C3 antibody in pleural effusion metastatic non-small-cell lung cancer Dongmei Gu,Lin Hu,Lingchuan Guo #Immunohistochemistry #cancer #pathology https://t.co/6o7HOklYYw
0
1
13