cmseibold Profile Banner
Constantin Seibold Profile
Constantin Seibold

@cmseibold

Followers
70
Following
368
Media
37
Statuses
140

Postdoctoral Researcher, UK-Essen

Essen
Joined November 2020
Don't wanna be here? Send us removal request.
@ThiloZimmermann
Thilo Zimmermann (@[email protected])
2 years
Neues KI-Institut @Uni_Stuttgart umfasst 2 @Cyber_Valley Prof. Analytic Computing (@ststaab) & #AutonomeSysteme (#KaiArras), @SimTechStuttga2 Prof. ML in den Sim.wiss., Jun.-Prof. Autonomous Sensing and Perception Systems (@AlinaRoitberg) & Prof. #MaschinellesLernen & #Robotik
@Uni_Stuttgart
Uni Stuttgart
2 years
KI für #Simulationen und #IntelligenteRobotik: Daran forscht künftig das neugegründete Institut für Künstliche Intelligenz an der #UniStuttgart. Das Ziel: den Transfer von KI-Anwendungen in Wirtschaft und Gesellschaft vorantreiben.👉
0
2
4
@vivoutlaw
Vivek Sharma
2 years
Come join our #CVPR23 workshop on Large Scale Holistic Video Understanding (@LSHVU), happening on 18th starting at 8:30am PST. Program schedule (Room: East 8, Poster: West Exhibit Hall, # 100-114):
lnkd.in
This link will take you to a page that’s not on LinkedIn
1
2
8
@cmseibold
Constantin Seibold
2 years
This was my last paper during my time at the graduate school @hidss4health and a collaboration with @AlexanderJaus, Matthias Fink, Moon Kim, @SimaelR, Ken Herrmann, @JensKleesiek and Rainer Stiefelhagen.
0
0
0
@cmseibold
Constantin Seibold
2 years
We make this available via a simple "pip install cxas". We also provide a gradio demo to easily test this method: https://t.co/bSWxYT2OzF For more details, check out our paper: https://t.co/rsxUKoyvC5
Tweet card summary image
arxiv.org
Purpose: Interpreting chest radiographs (CXR) remains challenging due to the ambiguity of overlapping structures such as the lungs, heart, and bones. To address this issue, we propose a novel...
1
0
0
@cmseibold
Constantin Seibold
2 years
In this work, we leverage the shared imaging properties between CXR and CTs to enable networks to delineate anatomical structures pixel-wise. The used PAX-Ray++ dataset has 157 anatomical classes with more than ten thousand images and two million annotated instances.
1
0
0
@cmseibold
Constantin Seibold
2 years
The anatomy in chest radiographs (CXR) is typically difficult segment manually due to the ambiguity introduced by overlapping structures. We Adress this in our paper and publish models to segment 157 anatomical labels in CXR: https://t.co/rsxUKoyvC5
1
2
10
@cmseibold
Constantin Seibold
2 years
When your otherwise free work day is suddenly filled with meetings... 😅
@UniofOxford
University of Oxford
2 years
🐢 | During a research trip, a team of Oxford researchers took part in the #ProtetugaProject through @FundaPrincipe to observe sea turtles laying eggs. Fundação Príncipe works with local communities to protect biodiversity on the island. 📽 | @principeproject #TurtleDay
0
0
0
@cmseibold
Constantin Seibold
3 years
Also a big thank you to the @hidss4health graduate school for enabling these past few years in research!
0
0
0
@cmseibold
Constantin Seibold
3 years
I guess it is finally done!! Managed to successfully defend my PhD thesis today. I researched methods aiding the generation of medical reports. I loved my time at the cv:hci and the @KITKarlsruhe overall. I will certainly miss the atmosphere, great colleagues and friends!!
2
0
7
@cmseibold
Constantin Seibold
3 years
Probably not thinking too straight right now due to an exam in the afternoon, but I think I might release a pre-print with associated Models and Dataset for fine-grained anatomy segmentation in the first week of May... (because self-set deadlines always work ... 😆)
0
0
5
@cmseibold
Constantin Seibold
3 years
Quite funny how such a notification can improve the mood 😄 https://t.co/523ovBFkCe
0
0
2
@cmseibold
Constantin Seibold
3 years
😓🖨️
0
0
3
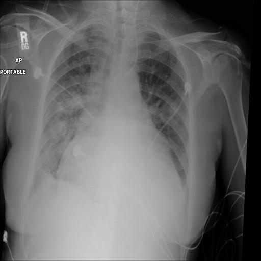
@cmseibold
Constantin Seibold
3 years
When annotating such findings, however, it is also worth thinking about, do we want to capture the entire abnormal organ or just the part of the organ that is abnormal. Cardiomegaly in CXR is obv not a strong example, but still ...
1
0
2
@cmseibold
Constantin Seibold
3 years
I've been going over the saliency maps of our CXR Vision-Language model from MICCAI22. Despite it being somewhat obvious, I found it interesting that for some classes it will just activate on the abnormal enlargements for cardiomegaly. Other CNN had activated on the entire heart.
1
0
2
@cmseibold
Constantin Seibold
3 years
Merry Christmas to all of you! I hope we can get some time to rest and then freshly start the new year.
0
0
2
@cmseibold
Constantin Seibold
3 years
The more you can't have something, the more you want it, right? Currently writing my thesis and so many ideas pop into my head of what I would love to just try out, but I don't have the timeeee... Feels like torture... 😭😭😭
0
0
0
@cmseibold
Constantin Seibold
3 years
Standing here in poster room 1 to present my paper about detailed chest Xray annotations for phrase grounding 🤸 Still wish I could have attended #BMVC2022 in person =(
1
0
7
@cmseibold
Constantin Seibold
3 years
Recently, I started doing endurance training again like swimming or jogging and find myself often out of breath. I'm wondering if this is due to covid or due to me being out of shape... 🤔 (I'm assuming the latter 😄)
0
0
1
@cmseibold
Constantin Seibold
3 years
Great (and lengthy 😅) overview on Vision-language-pretraining by Gan et al. https://t.co/ET2Xu8Vmoi Imo worth checking out for anyone who is interested in this field. (Medical applications are not explicitly handled)
Tweet card summary image
arxiv.org
This paper surveys vision-language pre-training (VLP) methods for multimodal intelligence that have been developed in the last few years. We group these approaches into three categories: ($i$) VLP...
0
0
1
@CarbonBrief
Carbon Brief
3 years
Analysis: Which countries are historically responsible for climate change? | @drsimevans @tomoprater #COP27 @COP27P #archive Read: https://t.co/12ePLNqUyx
1
28
48