Brian Imada Profile
Brian Imada

@bimada808

Followers
156
Following
534
Media
5
Statuses
60

Vascular & Interventional Radiologist in Hawaii | @IRColorado, @BCM_Radiology and @uhmed alum | Born & Raised in Honoka’a 🤙🏼

Honolulu, HI
Joined November 2010
Don't wanna be here? Send us removal request.
@LCasadaban
Leigh Casadaban, MD
3 years
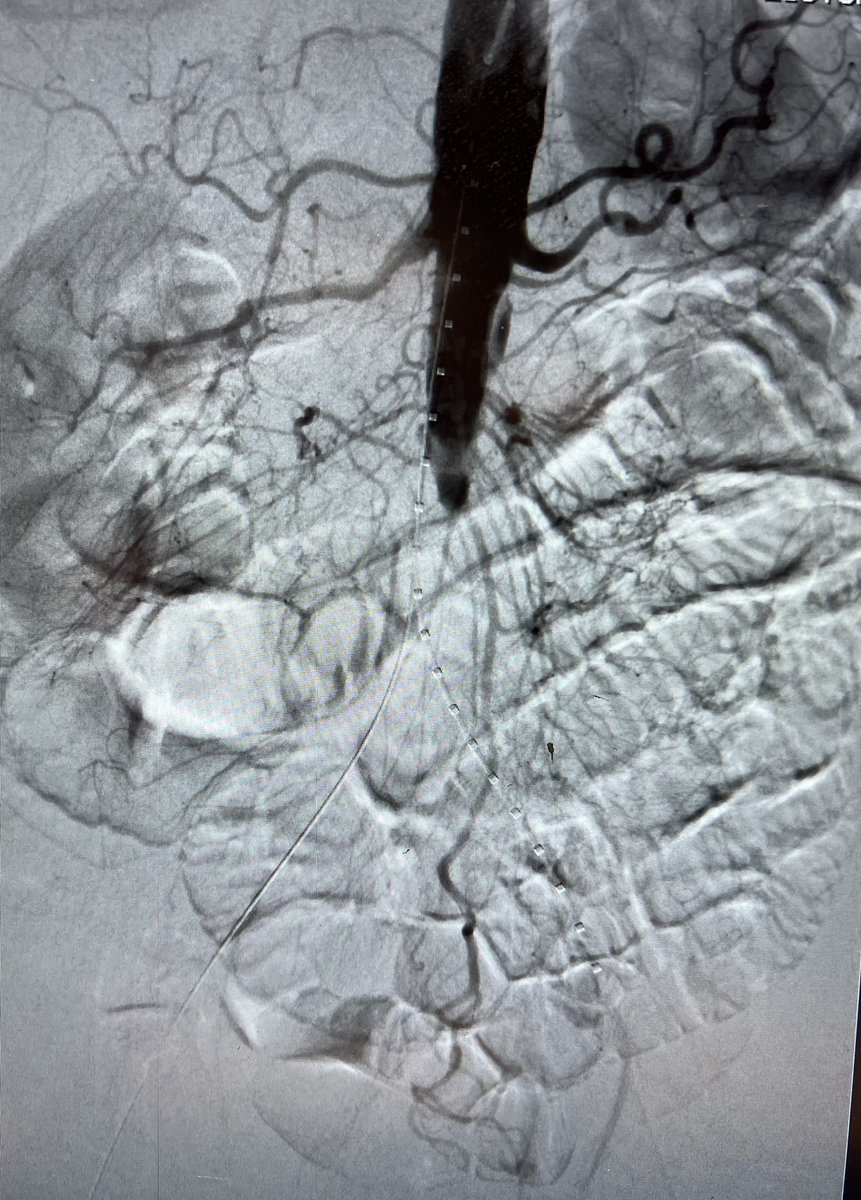
Genicular Artery Embolization Technique - ⁦@IrColorado⁩ ⁦@SterbisEmily
1
5
41
@bimada808
Brian Imada
3 years
Congrats! You’re gonna do great! Can’t wait to find out where!!
@JennaMaligro
Jenna Maligro
3 years
Thank you to my partner, friends, family and mentors for helping me make this dream come true! So excited to start my #Radiology career #FutureRadRes #IR #match2023
0
0
1
@bimada808
Brian Imada
3 years
Let’s go Stros!!
@astros
Houston Astros
3 years
WHO IS YORDADDY?
0
0
0
@UCD_IR
Jon Lindquist
3 years
When you know the #irad fellows @IrColorado are ready to graduate 🤯
1
3
12
@bimada808
Brian Imada
3 years
Great fellowship year made even better with this fellowship class @BrycenDBodellMD @MHongIR @KatieMarchak
@IrColorado
University of Colorado VIR
3 years
Finishing off the last day of VIR fellowship strong with the rockstair challenge (15 flights of stairs and a rockstar) and some matching threads. @CURadiology @bimada808 @BrycenDBodellMD
0
0
9
@LCasadaban
Leigh Casadaban, MD
3 years
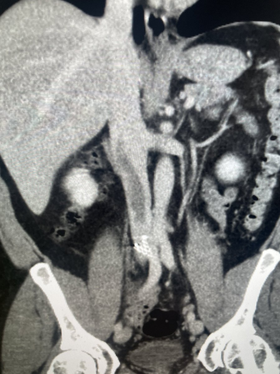
Excellent discussion of Adrenal Vein Sampling results ⁦@IrColorado⁩ by our own ⁦@flourdelisa⁩!
1
5
20
@UCD_IR
Jon Lindquist
3 years
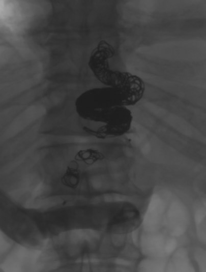
Don't step on this coiled rattler. Large gastroesophageal varices can be fragile and bleed quickly! Antegrade coil and plug embolized-- does that make it a CATO/PATO? #irad @IrColorado
1
3
28
@UCD_IR
Jon Lindquist
3 years
Crab leg #thrombus at home while @IrColorado colleagues are away @SIRspecialists #SIRBOS22. IVUS guided aspiration thrombectomy with @InariMedical FT24, single aspiration. #SIR2022 @kush_r_desai @rkryu #irad
3
10
74
@dotter_IR
The Dotter Institute
3 years
Great talk from @LWalkerMD on ECMO in treating PE at the Fellow's practicum #SIR22BOS #womenirads
0
4
28
@bimada808
Brian Imada
3 years
0
2
2
@bimada808
Brian Imada
3 years
1
1
4
@bimada808
Brian Imada
3 years
Option Elite filter in since February 2021 initially failed loop snare and forceps techniques, taken out with @PhilipsHealth #CavaClear laser sheath. 9 seconds of laser time. Great experience! #filterout @IrColorado @pj_rochon
2
3
16
@UCD_IR
Jon Lindquist
3 years
@pj_rochon with an excellent talk on AVM imaging and classification at #GEST2022 @IrColorado #irad
0
7
27
@LCasadaban
Leigh Casadaban, MD
3 years
Happening now at #GEST2022! @UCD_IR Jon Lindquist discussing novel polymer-based coils for CT artifact reduction. @IrColorado
0
5
25
@jdprologo
J. David Prologo, MD, FSIR, ABOM-D
3 years
Amazing talks this morning at @VarianMedSys #IRad resident education program on image-guided ablation in #Chicago from @JHoffmannIR, @aravindarepall1, @ajgunnmd, Rob Suh, Scott Genshaft, and others @SIRspecialists #PalliativeCare #cancer
3
5
36
@UCD_IR
Jon Lindquist
4 years
Happy #filterfriday! What’s better than one Simon nitinol? Um… two? #irad #filterOUT @KMSchramm @rkryu @kush_r_desai @IrColorado @
8
8
55
@LCasadaban
Leigh Casadaban, MD
4 years
Genicular Artery Embolization for knee osteoarthritis. No skin mottling or ulcers. @IrColorado
11
19
179
@IrColorado
University of Colorado VIR
4 years
Aortoiliac occlusive disease with significant claudication s/p CERAB technique with 11mm VBX at aorta (post dilated to 16mm proximally and 14 distally) and 8mm kissing VBX with our very own @GZlotchenko @pj_rochon @LWalkerMD @CURadiology @SIRspecialists @SIR_ECS
6
17
89
@bimada808
Brian Imada
4 years
Congrats and welcome to @BCM_Radiology !! #MatchDay2022 #radres
@BCM_Radiology
BCM Radiology
4 years
Congratulations to our new BCM radiology class! We are so proud of you all and can’t wait to have you join our team! 🥳 @drpedrodiaz @DrEMRohren
0
0
7