allisonoconn Profile Banner
Allison Fitzgerald, MD, PhD Profile
Allison Fitzgerald, MD, PhD

@allisonoconn

Followers
14K
Following
30K
Media
532
Statuses
4K

Heme/Onc Fellow @DanaFarber/@MassGeneralBrigham. Former @BrighamMedRes and @Georgetown MD/PhD. Passionate about true crime podcasts, reality TV, and Taco Bell.

Washington D.C.
Joined December 2011
Don't wanna be here? Send us removal request.
@allisonoconn
Allison Fitzgerald, MD, PhD
2 months
I’m so excited to share my third and final first-author publication from my PhD!! We discovered NK cells express fibroblast activation protein (FAP) and use it to migrate into tumors! FAP overexpressing NK cells reduced pancreatic cancer growth in mice!
Tweet card summary image
academic.oup.com
Abstract. Natural killer (NK) cells play essential roles in immunity, but their limited infiltration into solid tumors restricts their therapeutic potentia
11
48
391
@allisonoconn
Allison Fitzgerald, MD, PhD
3 days
Every time I try chatGPT I’m shocked by how bad it is
15
1
66
@allisonoconn
Allison Fitzgerald, MD, PhD
4 days
We had a kids Christmas party today and my MIL made this incredible Grinch fruit platter!! The creativity!! The execution!!
5
7
138
@allisonoconn
Allison Fitzgerald, MD, PhD
4 days
Today I learned a prolonged INR will not affect hemostasis until it’s 1.8 or greater.
22
48
649
@allisonoconn
Allison Fitzgerald, MD, PhD
5 days
LOOK AT THIS ADORABLE, VERY TINY GLASS BLOWN CHRISTMAS TREE! It has even more adorable, even tinier glass blown ornaments 🥹🎄🎅🏻
0
0
30
@allisonoconn
Allison Fitzgerald, MD, PhD
5 days
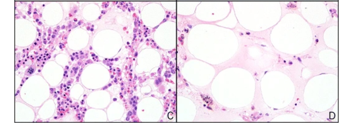
Today I learned about “gelatinous marrow”. In patients with severe malnutrition, the healthy fat cells atrophy and are replaced by a gelatinous substance (mostly hyaluronic acid). Normal: Gelatinous:
1
3
43
@allisonoconn
Allison Fitzgerald, MD, PhD
6 days
Adding paroxysmal nocturnal hemoglobinuria and myeloproliferative neoplasms (which is a subtype of cancer but more specific I suppose) to this list!! So clots in arterial or weird venous places: - APLS - PNH - MPN - HIT - hyperhomocysteinemia
@allisonoconn
Allison Fitzgerald, MD, PhD
12 days
Today I learned that while clots in veins can be caused by all sorts of things, clots in arteries are usually caused by cancer or anti-phospholipid syndrome (APLS).
4
14
91
@allisonoconn
Allison Fitzgerald, MD, PhD
6 days
Sometimes you do have to go and look at the smear under the microscope 💔
3
3
88
@allisonoconn
Allison Fitzgerald, MD, PhD
7 days
Today I learned activated clotting time (ACT), a point of care test used during surgeries to monitor anticoagulation, can be falsely elevated by lupus anticoagulants/APLS, making the patient seem like they have enough anticoagulant on board when they do not.
0
2
53
@allisonoconn
Allison Fitzgerald, MD, PhD
7 days
My mom found out I can’t differentiate a crocheted blanket from a knit one and she was incredibly disappointed. I tried to reassure her I have other skills 🤣
0
0
11
@allisonoconn
Allison Fitzgerald, MD, PhD
7 days
Today I learned the cut off for a normal d-dimer is adjusted by age. Less than 50 yo normal is less than 500. Above that it’s the patient’s age multiplied by 10. So 65 yo normal is less than 650. 80 yo normal is less than 800.
3
32
301
@amyhuangmd
Amy H. Huang, MD
8 days
🔴 Publication alert Our Conquer Cancer Merit Award-winning meta-analysis on EGFR inhibitor rechallenge for metastatic colorectal cancer has been published in @JCOOP_ASCO (first and corresponding author)! https://t.co/sDpv2EqlDG We showed that EGFR inhibitor rechallenge was
Tweet card summary image
ascopubs.org
PURPOSEClonal evolution is a mechanism of treatment resistance against epidermal growth factor receptor inhibitors (EGFRi) in metastatic colorectal cancer (mCRC). When EGFRi is discontinued, EGFRi-...
6
11
42
@allisonoconn
Allison Fitzgerald, MD, PhD
8 days
I also learned Andexxa (Andexanet Alfa, DOAC reversal agent) is getting pulled from the market December 22nd!! 😮
3
8
99
@allisonoconn
Allison Fitzgerald, MD, PhD
9 days
Today I learned soluble interleukin-2 receptor alpha (sCD25), along with ferritin, can be used to monitor HLH disease activity.
5
5
73
@allisonoconn
Allison Fitzgerald, MD, PhD
12 days
Last night we had a great fellowship holiday party celebrating with co-fellows and program leadership! So grateful to be training with such brilliant, supportive, and, most importantly, funny people!!
0
0
50
@allisonoconn
Allison Fitzgerald, MD, PhD
12 days
Today I learned that while clots in veins can be caused by all sorts of things, clots in arteries are usually caused by cancer or anti-phospholipid syndrome (APLS).
11
39
588
@allisonoconn
Allison Fitzgerald, MD, PhD
13 days
Today I learned ipi/nivo has more toxicity when given in the neoadjuvant setting than if it’s given in the metastatic setting.
5
2
57
@allisonoconn
Allison Fitzgerald, MD, PhD
14 days
Today I learned about the PATCH trial which shows in patients on DAPT who developed intracranial hemorrhage, patients who recieved platelet transfusion actually had worse neourolgic outcomes than patients who got standard of care.
0
2
28
@allisonoconn
Allison Fitzgerald, MD, PhD
15 days
Today I learned about re-differentiation tx for thyroid cancers (TC). If TC has become resistant to radioactive iodine it’s often because they lose expression of the sodium-iodine co-transporter. Treatment with targeted therapy can induce expression, allowing RAI to work again.
0
3
28
@allisonoconn
Allison Fitzgerald, MD, PhD
16 days
Parts of the green line in Boston are shut down for repairs so to get to MGH today I had to do green line ➡️ shuttle bus ➡️ orange line ➡️ red line. What makes this worse is the fact that doing all of this was actually faster than my usual commute on just the green line 🫠
2
0
23
@allisonoconn
Allison Fitzgerald, MD, PhD
18 days
Congratulations to all the @BrighamMedRes who matched!!! But most importantly congratulations to ME for being so fortunate to call these incredible people my friends!! (And so many of them staying in Boston!!)
@BrighamMedRes
Brigham and Women's Medicine Residents
18 days
Congratulations to our amazing seniors on spectacular match! 🌟 We are so proud of you & can’t wait to watch you thrive next year!
0
0
30