Mohammad Aleidi Profile
Mohammad Aleidi

@aleidimed

Followers
355
Following
25K
Media
16
Statuses
25K

MD Graduate from Yarmouk University - Jordan Founding member of SIGN (Student Interest Group Neurology) YU. Interests 🎬 ⚽

Joined April 2025
Don't wanna be here? Send us removal request.
@neuronsmultiply
Shaaz A Khan
10 days
28 Male Head-on collision of two wheeler with lorry. No helmet. CT: Pneumocephalus Intraventricular hemorrhage Fracture of almost every facial bone Fracture ribs. No hemo, pneumothorax Liver lacerations. AAST 4. On receiving in the ICU, E4M6 Vitals stable Mouth opening
5
6
22
@IhabFathiSulima
Dr Ihab Suliman
19 hours
HAEMORRHAGIC HERPES ZOOSTER Was the pt on anticoagulants? Complete blood count is needed to r/o thrombocytopenia Tx.Urgent IV antivirals
@IhabFathiSulima
Dr Ihab Suliman
1 day
What is the diagnosis ⁉️
0
0
9
@knowmedge
knowmedge
18 hours
All correct! A2: Measles-Koplik's spots = clustered white spots on buccal mucosa and appear as "grains of salt on a wet background." #dermatology
@knowmedge
knowmedge
1 day
Q2: Koplik's spots are pathognomonic for what condition? #ABIM #Dermatology
0
2
4
@knowmedge
knowmedge
16 hours
All correct! A9: Sezary Syndrome #ABIM #NBME #Dermatology
@knowmedge
knowmedge
16 hours
Q9: Atypical T cells with cerebriform nuclei can be seen in what condition? #ABIM #NBME
0
4
5
@knowmedge
knowmedge
16 hours
That’s it for this week’s #ABIMTweetShow! Enjoy the rest of your weekend
0
1
3
@knowmedge
knowmedge
17 hours
Correct! @NathaliaLeHen A3: Monoclonal antibody to IL-23. IL-23 antagonist #ABIM
@knowmedge
knowmedge
17 hours
Q3: What is the mechanism of action of Risankizumab (Skyrizi)? #ABIM #Dermatology
0
3
3
@knowmedge
knowmedge
17 hours
A2: Zinc deficiency #Dermatology
@knowmedge
knowmedge
17 hours
Q2: Pt is on TPN feed and develops rash and alopecia. Likely deficiency? #ABIM #Dermatology
0
3
6
@knowmedge
knowmedge
17 hours
A4: Trametinib #ABIM #NBME
@knowmedge
knowmedge
17 hours
Q4: What MEK inhibitor can be used in combination with BRAF inhibitor Dabrafenib in the Rx of BRAF V600 mutation positive melanoma? #ABIM #Dermatology
0
3
3
@GreenJournal
Neurology Journal
20 hours
Neuroimaging Findings Across the Spectrum of Kidney Disease: A Systematic Review and Meta-Analysis https://t.co/2dwRyKdKrK #NeuroX
0
5
13
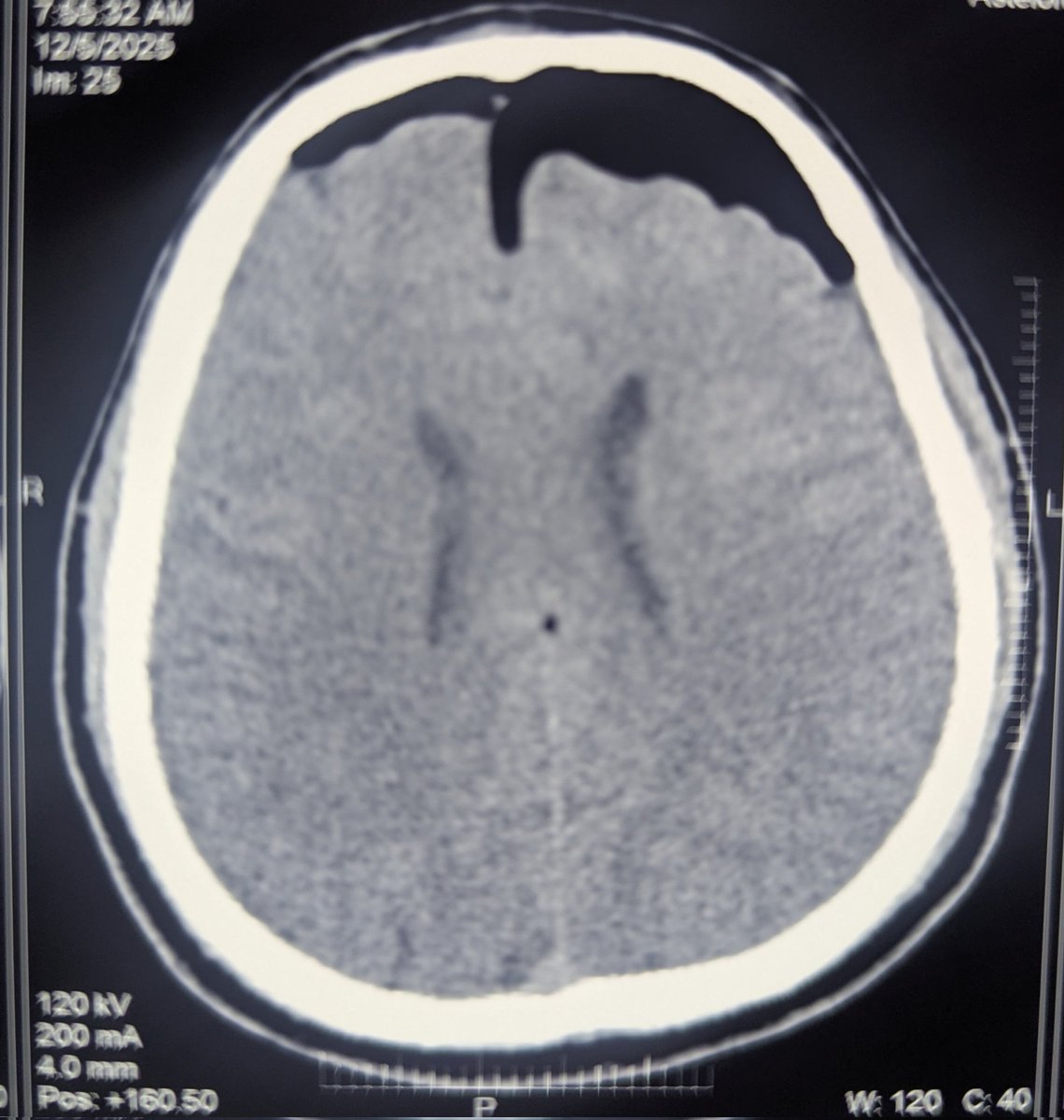
@IhabFathiSulima
Dr Ihab Suliman
22 hours
What is happening?
10
9
90
@nirmalregency
Nirmal Pandey MD DM Neurologist
19 hours
🐼🐼🐼 Giant Panda Baby Panda Miniature (cub) Panda Double Panda Bright Claustrum Split Thalamus Whorl Sign Cortex|Pons|Cerebellar involvement Epilepsies... Are probably less seen now with heightened awareness & cheaper test availabilities
1
2
9
@nirmalregency
Nirmal Pandey MD DM Neurologist
19 hours
β˜‘οΈ Yes Wilson Disease PUTAMEN is the most commonly affected & strongly correlated with dystonia & parkinsonism esp in younger kids
1
2
16
@nirmalregency
Nirmal Pandey MD DM Neurologist
19 hours
Additional history: H/o acute hepatitis 14 months earlier Hindu, born of consanguineous marriage ⚠️We often forget to ask for it in Hindus (range 9-28%) National average ~10% More common in South India Diagnosis is now simpleπŸ‘‡
1
2
10
@nirmalregency
Nirmal Pandey MD DM Neurologist
19 hours
Diagnosis?
1
3
7
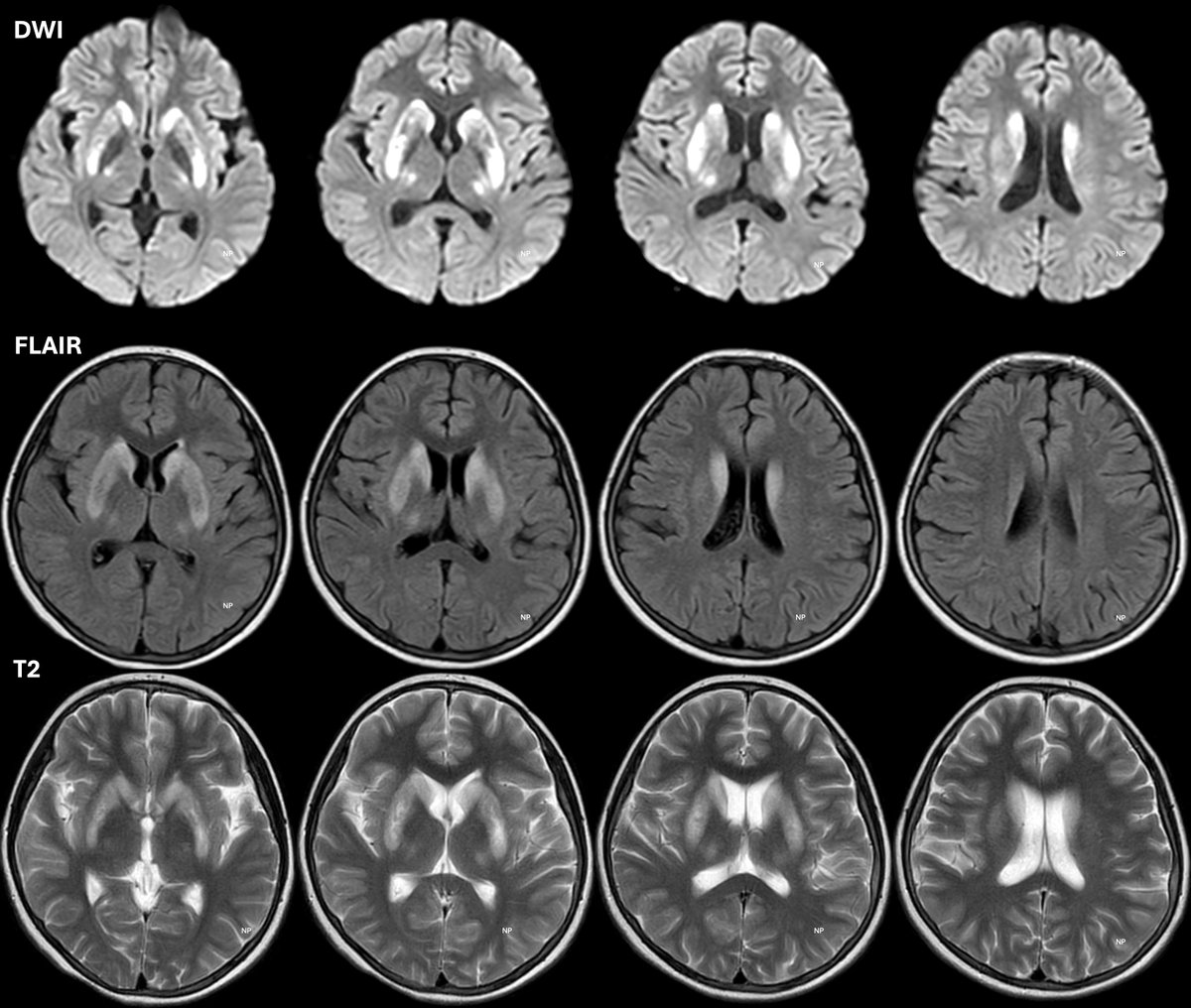
@nirmalregency
Nirmal Pandey MD DM Neurologist
19 hours
12♀ One month h/o of subacute parkinsonism syndrome Low volume difficult speech Staring look Sialorrhea Open mouth Extreme hypokinesia Fever 20 days before onset MRI πŸ‘‡
4
18
83
@DrVikasShah
(πšπš‘πšŽπš‘πš›πšŠπš’πšπš˜πšŒπšπš˜πš›)
18 hours
πŸš€ Gossypiboma: retained surgical swab. Low-density mass w/ curvilinear strands and spongiform gas. πŸ“ Abscesses show non-dependent air or air-fluid levels, not diffuse bubbles. πŸ”₯ Reporting tip: main mimic is haemostatic material. Check the op note. πŸ“š https://t.co/aazEdZQkQU
1
9
45
@knowmedge
knowmedge
17 hours
Correct! @J_Elormy A1: Niacin defiency. This is known as pellagra
@knowmedge
knowmedge
18 hours
Q1: What deficiency can cause dermatitis, diarrhea, and dementia?Β  #Dermatology
1
3
4
@USMLEMentorMD
Mentor MD
11 hours
Congratulations to Dr. Ahmed Khairy on becoming ECFMG certified. πŸ”₯ Dr. Ahmed is one of the most outstanding mentors at Mentor MD. Disciplined, detail-oriented, and deeply committed to guiding doctors through the USMLE journey. We are proud to have you as part of our team. ❀️
0
2
9
@drgunjand
Dr Gunjan Deshpande MRCSEd, FICO (UK), FAICO, DNB
5 hours
If glaucoma is one of the most under-diagnosed eye diseases, it quite has to be paradoxically, one of the most over-diagnosed as well.
4
1
19
@knowmedge
knowmedge
17 hours
Q8: Beside 5% Permethrin cream, what is first line treatment for scables? -#Dermatology
3
5
13