Vet_Parasites Profile Banner
Veterinary Parasitology Profile
Veterinary Parasitology

@Vet_Parasites

Followers
2K
Following
5K
Media
301
Statuses
320

Veterinary Parasitology microscope pictures of Animal Parasites. All pics by me. Insta: Veterinary_parasitology_

Minnesota, USA
Joined November 2022
Don't wanna be here? Send us removal request.
@Vet_Parasites
Veterinary Parasitology
9 hours
Toxascaris leonina eggs from a feline fecal. Toxascaris infection tends to be asymptomatic, but infection of kittens through the transplacental route can cause significant clinical disease. Zoonotic infection of Toxascaris into humans is less common than that of Toxocara #dvm
0
3
9
@Vet_Parasites
Veterinary Parasitology
4 days
Taenia pisiformis tapeworm from a canine. Also known as the "rabbit tapeworm," this cestode infects lagomorphs, rodents, and carnivores. Lagomorphs are considered to be the intermediate host before infection in the small intestines of the definitive carnivore host, generally dogs
1
1
21
@Vet_Parasites
Veterinary Parasitology
5 days
Cheyletiella skin mite. Mites are arachnids, that's why they have 8 legs. There's at least 5 different species of Cheyletiella. They can infect lagomorphs, cats and dogs. Notice how the palpi end with hook-like structures instead of suckers or claws #veterinario #vet #parasites
0
5
8
@Vet_Parasites
Veterinary Parasitology
6 days
Whipworm (Trichuris) eggs from a canine fecal. These nematodes have a direct lifecycle. Adult worms infect the large intestines of their host. Humid environments are optimal for the development of larva. Generally not considered zoonotic, rare human cases have been reported #dvm
0
3
16
@Vet_Parasites
Veterinary Parasitology
10 days
Cheyletiella skin mite and Toxocara canis ova from a canine fecal. Cheyletiella is in the Archanida class and adult mites have 4 pairs of legs. Its head has 2 large, prominent curved papal claws that point inwards. There is host specificity between different species #parasites
0
2
8
@Vet_Parasites
Veterinary Parasitology
11 days
The scolex of a Taenia tapeworm. I found a very small tapeworm in a dog fecal sample. I put the worm on a microscope slide, put a few drops of saline on it, and pushed a coverslip onto it to get this photo. Notice the rostellum, hooks, and suckers #parasitology #vet #parasites
0
6
21
@Vet_Parasites
Veterinary Parasitology
14 days
Hookworm eggs from a dog fecal. Hookworm gets its name because it's buccal capsule is bent dorsally in the form of a hook. Ancylostoma ova can be differentiated from Uncinaria by the smaller size of Ancylostoma #Parasitology #parasite #parasitologia #vet #veterinary #vettech
0
4
12
@Vet_Parasites
Veterinary Parasitology
17 days
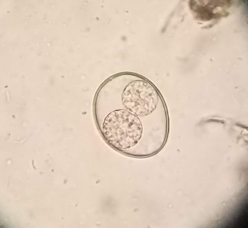
Can you name this parasite? Sample is from a farm dog fecal float who is around livestock animals #parasites #parasitology #Microbiology #vet
6
1
13
@Vet_Parasites
Veterinary Parasitology
18 days
Dipylidium caninum egg packets from a canine fecal float. This tapeworm of the small intestines has an indirect lifecycle with fleas, and possibly chewing lice as intermediate hosts #parasitology #parasites #parasitologia #vet #vettech #microscope #microscopy #STEM
0
3
12
@Vet_Parasites
Veterinary Parasitology
19 days
Hookworm eggs from a dog fecal. Hookworm gets its name because it's buccal capsule is bent dorsally in the form of a hook. Ancylostoma ova can be differentiated from Uncinaria by the smaller size of Ancylostoma #Parasitology #parasite #parasitologia #vet #dvm #microbiology #STEM
0
4
10
@Vet_Parasites
Veterinary Parasitology
20 days
Lots of cystoisospora! Cystoisospora is an obligate coccidian protozoan parasite that infects cells of the intestines. This coccidian can reproduce both sexually and asexually. The unsporulated oocysts are oval shaped and usually about 50 x 30 micro meters in size #parasites
0
6
14
@Vet_Parasites
Veterinary Parasitology
21 days
Capillaria(Eucoleus) boehmi egg from a canine fecal. Capillaria boehmi is known as the nasal capillarid, and infects the tissue membrane of the nasalcavityand sinuses. Capillaria boehmi can be differentiated from Capillaria aerophilus by how much the inner cell fills the membrane
0
0
5
@Vet_Parasites
Veterinary Parasitology
25 days
Trichomonas foetus in a feline fecal float. This single celled flagellated protozoan parasite was once thought to only cause reproductive disease in cattle, but is now understood to be an important cause of clinical disease in cats. Diarrhea is a common symptom #parasitology #dvm
1
3
15
@Vet_Parasites
Veterinary Parasitology
26 days
Dipylidium ova packets inside a tapeworm segment. When I find a segment or proglottid in a fecal sample, I put it on a microscope slide, add a few drops of saline, then press a coverslip down. If it is gravid, the ova will appear #parasitology #microscopy #microscope #vettech
0
2
11
@Vet_Parasites
Veterinary Parasitology
28 days
Whipworm (Trichuris) eggs from a canine fecal. These nematodes have a direct lifecycle. Adult worms infect the large intestines of their host. Humid environments are optimal for the development of larva. Generally not considered zoonotic, rare human cases have been reported #dvm
0
1
16
@Vet_Parasites
Veterinary Parasitology
1 month
Cystoisospora from a canine fecal. This is one of the 1st microscope photos I took years ago. The tissue stage of this protozoan parasite reproduces both sexually and asexually in the enterocytes of the small intestines of the host #parasitology #parasite #vettech #scientist #dvm
0
1
15
@Vet_Parasites
Veterinary Parasitology
1 month
Otodectes cynotis ear mite from a feline fecal. Otodectes is fairly common throughout most of the world. It is primarily transmitted through direct contact with an infested animal, and transmission can be particularly common during the neonatal period #parasite #parasitology #dvm
1
1
11
@Vet_Parasites
Veterinary Parasitology
1 month
Nematodirus spp egg. Do you see any other parasites in this photo? Nematodirus is a genus of roundworm, commonly known as thread-neck worms, that infects bovine, ovine, and caprine. They are not known to affect canines, felines, swine, or humans #parasites #parasitology #vet #dvm
0
6
16
@Vet_Parasites
Veterinary Parasitology
1 month
2 Toxocara canis and 3 Toxascaris leonina eggs from a Canine fecal float. These are the two most common roundworms I see in canines. Notice the thick pitted outer membrane of Toxocara and the undulating inner membrane of Toxascaris #parasitology #microscopy #microscope #vet #dvm
0
6
21
@Vet_Parasites
Veterinary Parasitology
2 months
Whipworm (Trichuris) on the top and Hookworm (Ancylostoma) from a canine fecal float sample. Whipworm gets its name from having a broad short posterior end and a very long and narrow whip-like anterior. I see these two parasites together fairly commonly #vet #vettech #parasites
0
5
27