@TingZhaoPathdoc
Ting Zhao, MD
20 days
Great lecture by Dr. Rong Fan @RongFan8 on Decoding RNA Biology in Space: Toward the Future of Molecular Pathology. πŸš€ 🧬🧬 #AMPath2025 @AMPath @pvhernandezmd @whosainastro
2
7
25

Replies

@TingZhaoPathdoc
Ting Zhao, MD
20 days
0
0
1
@RFupdates
Reasonable Faith
9 days
Why Does it Matter that Adam and Eve Actually Existed?
13
15
98
@RongFan8
Rong Fan
20 days
1
0
5
@TingZhaoPathdoc
Ting Zhao, MD
20 days
@RongFan8 @AMPath @pvhernandezmd @whosainastro Thank you for answering my question!πŸ˜ŠπŸ‘
0
0
1
@DrJuhlin
C. Christofer Juhlin
12 hours
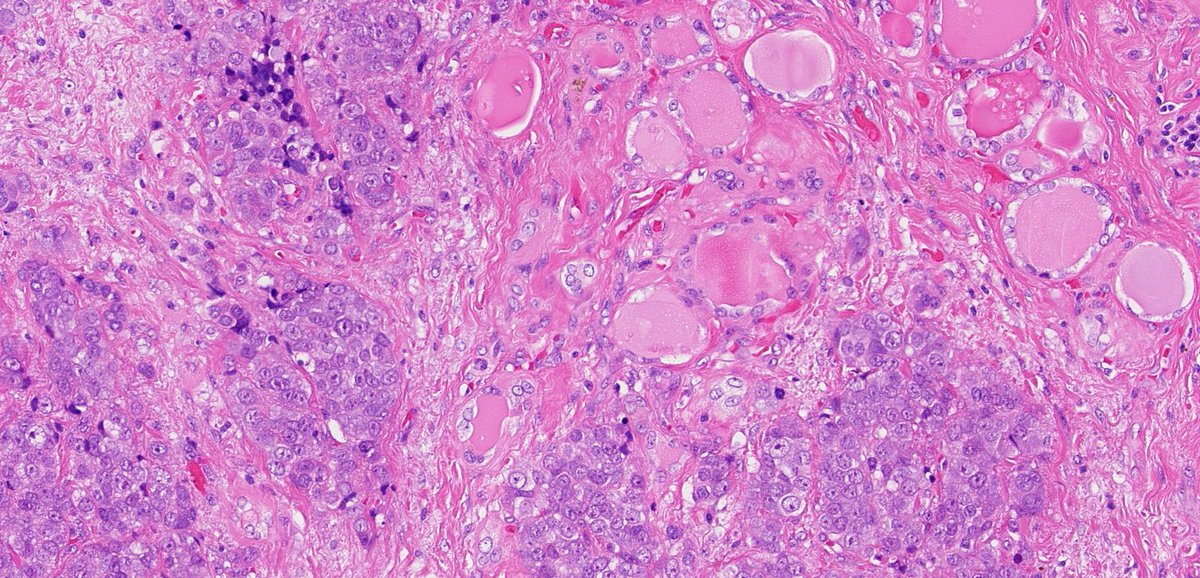
Head & Neck & Endocrine Pathology Residents - Quiz Time! An elderly woman presents with an expanding left thyroid mass invading strap muscles, the recurrent laryngeal nerve, and the esophagus. Lobectomy is performed. What’s your dx? (Follow the thread!)
2
10
13
@DanGrahamMD
Dan Graham
9 hours
MUC4+, FUS rearr LGFMS! #PathX #PathTwitter #BSTpath
@DanGrahamMD
Dan Graham
6 days
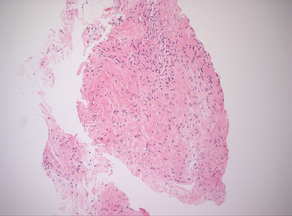
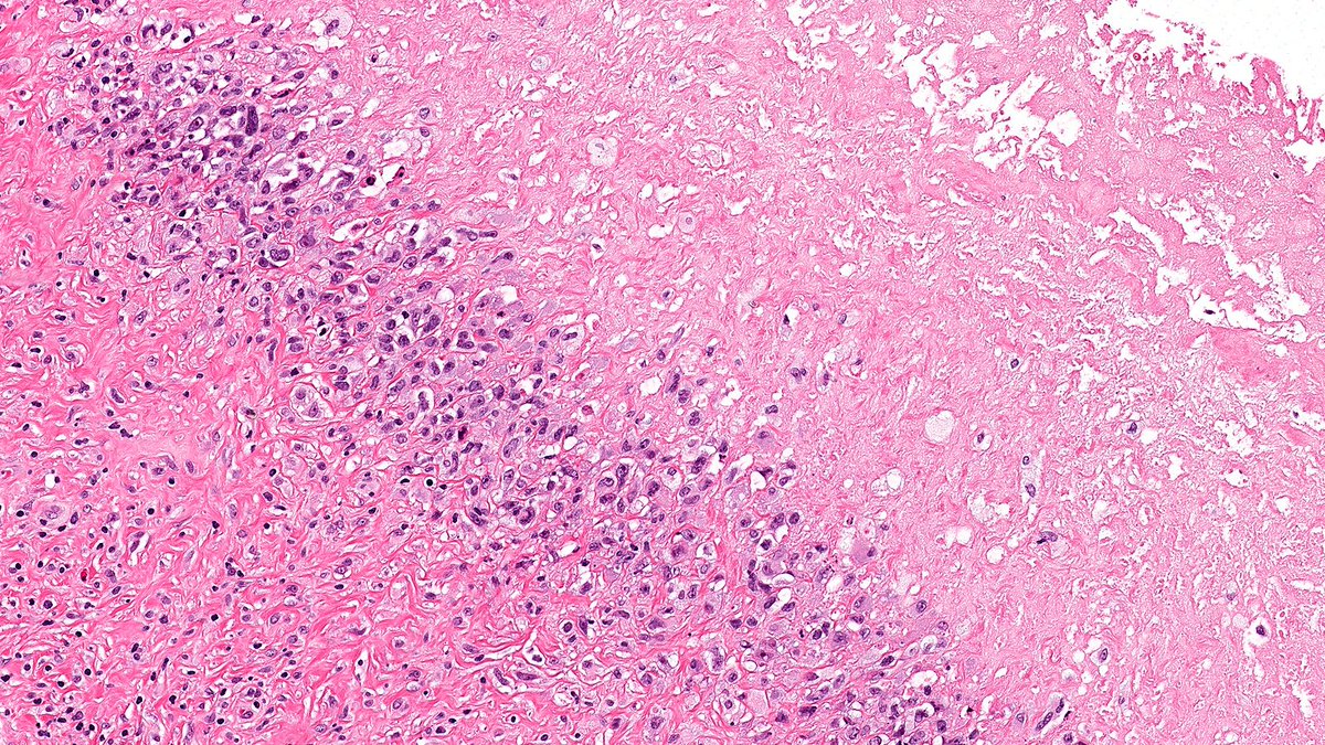
50s F abdominal mass. IHC/Dx? #PathX #PathTwitter
1
2
8
@RazaHoda
Raza Hoda MD
1 day
Let’s review inflammatory lesions of the breast this week! πŸ€’ Case of Breast Implant Associated Anaplastic Large T-Cell Lymphoma (BIA-ALCL) πŸ”¬ The lymphoma can present either as a mass or effusion associated with a textured implant. #PathX #PathTwitter #breastpath
0
6
25
@MeredithKHerman
Meredith Herman, DO
6 hours
Every child facing leukemia deserves a chance to feel inspired & supported. A new πŸ“˜ aims to bring joy & sense of belonging to these young heroes. πŸ“£Every bit counts in creating a more inclusive world for kids. https://t.co/FHsN1KGDxp #PathX #MedTwitter #MissionMarvelous
11
13
19