
Trauma Surgery & Acute Care Open (TSACO)
@TSACO_AAST
Followers
10K
Following
3K
Media
691
Statuses
3K
Trauma Surgery & Acute Care Open (TSACO) is your #OpenAccess journal for high-quality #Trauma #AcuteCareSurgery research @traumadoctors #PubMedIndexed #FOAMed
Chicago, IL
Joined January 2016
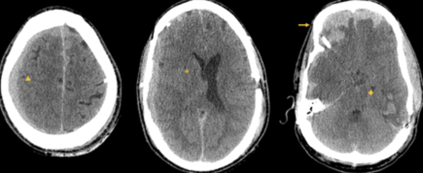
A head injury in someone with prior neurosurgery turned fatal. Are we missing a key risk factor in TBI triage? Read the full case here: https://t.co/U27tAVPBpK
0
5
10
We remain honored to be the official journal of the Mattox meeting. https://t.co/SWQGb33sK6
tsaco.bmj.com
TSACO is an open access journal publishing high-quality epidemiological, educational, and socioeconomic research on trauma surgery and critical care.
Registration now open for the longest running show in Vegas - the 2026 Mattox Meeting @TCCACS ! Going to be a great program this year and fantastic new and returning faculty members. https://t.co/mGJwECVoMD
0
2
8
@TomVargheseJr @acsJACS @LillianErdahlMD Feel free to include @TSACO_AAST on your list of suggested alternate journals. We are fully #OpenAccess and consider all types of articles about Trauma, Emergency General Surgery, and Surgical Critical Care. Owned by AAST @traumadoctors. https://t.co/MXOvhvXyLr
tsaco.bmj.com
TSACO is an open access journal publishing high-quality epidemiological, educational, and socioeconomic research on trauma surgery and critical care.
1
2
10
We are excited to announce that TSACO is now the official journal of @TheHAVI #2025HAVIConference
https://t.co/SWQGb33sK6
tsaco.bmj.com
TSACO is an open access journal publishing high-quality epidemiological, educational, and socioeconomic research on trauma surgery and critical care.
Pre-conference registration for #2025HAVIConference is in full swing! We kicked things off with: - The HAVI Members Annual Meeting - A visit from Mayor Pro Tem Ryana Parks-Shaw, with HAVI Director of Communities of Practice Adrian Sanchez
1
1
10
Registration now open for the longest running show in Vegas - the 2026 Mattox Meeting @TCCACS ! Going to be a great program this year and fantastic new and returning faculty members. https://t.co/mGJwECVoMD
1
5
10
Which risk factors are associated with ICH progression after initiating VTE chemoprophylaxis in TBI? Read this retrospective observational study of 1390 patients here: https://t.co/RHRZjNRfQb
0
3
12
Read the latest on trauma pathogens from Van Eerten et al. https://t.co/fiBf5R8u4s. Coleman’s letter https://t.co/MLBgmgyy7P raises a provocative angle — what role does CO₂ physiology play in infection dynamics?
1
5
11
Amazing session about surgical publishing at First Clinical Congress of Albanian Surgeons. I talked about #OpenAccess and @TSACO_AAST. Other topics- mentoring, ethics, guidelines, artificial intelligence, social media, @altmetric, and more.
0
3
8
I am sure our Editor in Chief represented the journal well in Kosovo at the First Clinical Congress of Albanian Surgeons. A perfect reminder that we are a truly global journal. #OpenAccess #FOAMed
Amazing session about surgical publishing at First Clinical Congress of Albanian Surgeons. I talked about #OpenAccess and @TSACO_AAST. Other topics- mentoring, ethics, guidelines, artificial intelligence, social media, @altmetric, and more.
0
0
3
Congratulations to our Editor in Chief.
A profound honor to be inducted as an honorary member of the Kosovo College of Surgeons. Thank you to @rifatlatifi_ for you kind invitation and opportunity to speak at the Clinical Congress of Albanian Surgeons.
2
0
25
Congrats to our Editor-in-Chief @elliotthaut and numerous editorial board members on their induction into the Academy of Master Surgeon Educators of the @AmCollSurgeons. #MAMSE @jnahmias1, Jonathan Gates, Ruben Peralta, @KimHendershot8, @carlosmenegozzo.
0
4
28
Interested in doing preclinical research on extremity compartment syndrome in an animal model? See the new review by Gaeth et al. outlining all the different models used to study compartment syndrome: 👇 ➡️ https://t.co/Lxcej9Z3eL
0
5
9
“Walking blood bank: a plan to ensure self-sufficiency in an era of blood shortage” @ErikaPIbarra @Dj53Jenkins See paper here: https://t.co/3ZymPP5V89
tsaco.bmj.com
Mass casualty incidents and massive transfusion requirements continue to plague the USA with hemorrhage remaining the number one cause of death in trauma. The unfortunate reality of numerous mass...
0
6
11
See “Design for Implementation” paper series from Lacey LaGrone and CNTR. #AAST2025
https://t.co/dErvaxe1Mc
tsaco.bmj.com
Rockstar trauma surgeon & implementation scientist Lacey LaGrone presenting about her AAST Research Scholarship at #AAST2025. “Trauma Clinical Guidance Optimized for the End-User: A Mixed-Methods Observational and Consensus-Building Intervention of and by the Injury Community”
0
1
4
Tim Fabian giving the Expert Lecture about colon injury at #AAST2025. Amazing >45 year legacy of research on the topic. Great choice by @Stewartr84 Tim has been a personal mentor to me as I took over the Editor-in-Chief role at TSACO @TSACO_AAST. Thank you.
1
7
28
Slide from Don Jenkins showing new guideline about prehospital blood transfusion at #AAST2025 “Prehospital blood transfusion coalition clinical practice guideline for civilian emergency medical services” https://t.co/XU18UQdSLO
0
4
14
@TSACO_AAST Seit 2020 nutzen wir Ganzblut bei Polytraumata – erste Daten zeigen 25% weniger Massivtransfusionen. Spannend, was AAST2025 zu den TSACO-Artikeln sagt!
0
1
2
A great #OpenAccess journal that is trauma/acute care surgery-centric with global vision @TSACO_AAST A comprehensive editorial board meeting at #AAST2025👇🏻 #SoMe4Trauma
#SoMe4Surgery
1
5
12