Sookbin Woo Profile
Sookbin Woo

@SookbinWoo

Followers
370
Following
8
Media
2
Statuses
11

Oral and maxillofacial pathologist

Boston, MA
Joined July 2017
Don't wanna be here? Send us removal request.
@SookbinWoo
Sookbin Woo
8 years
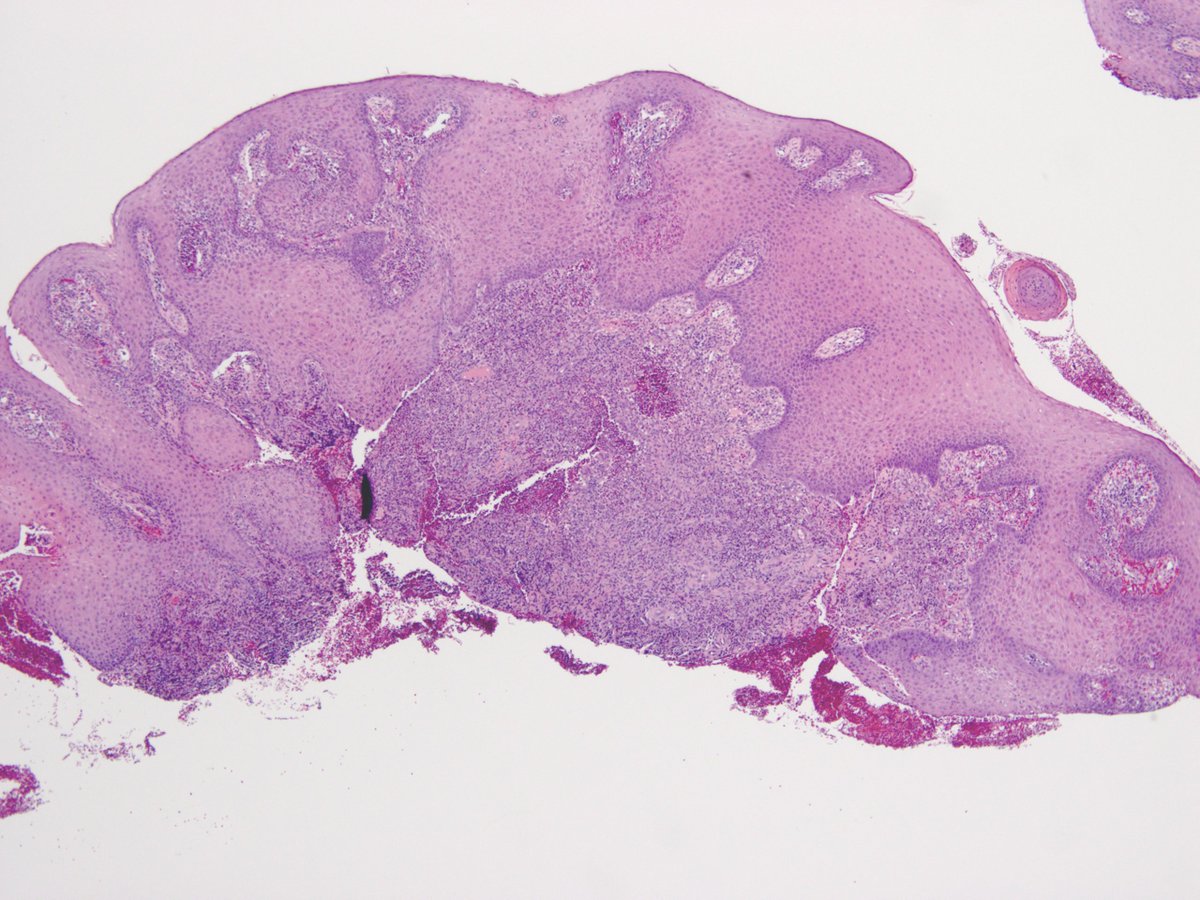
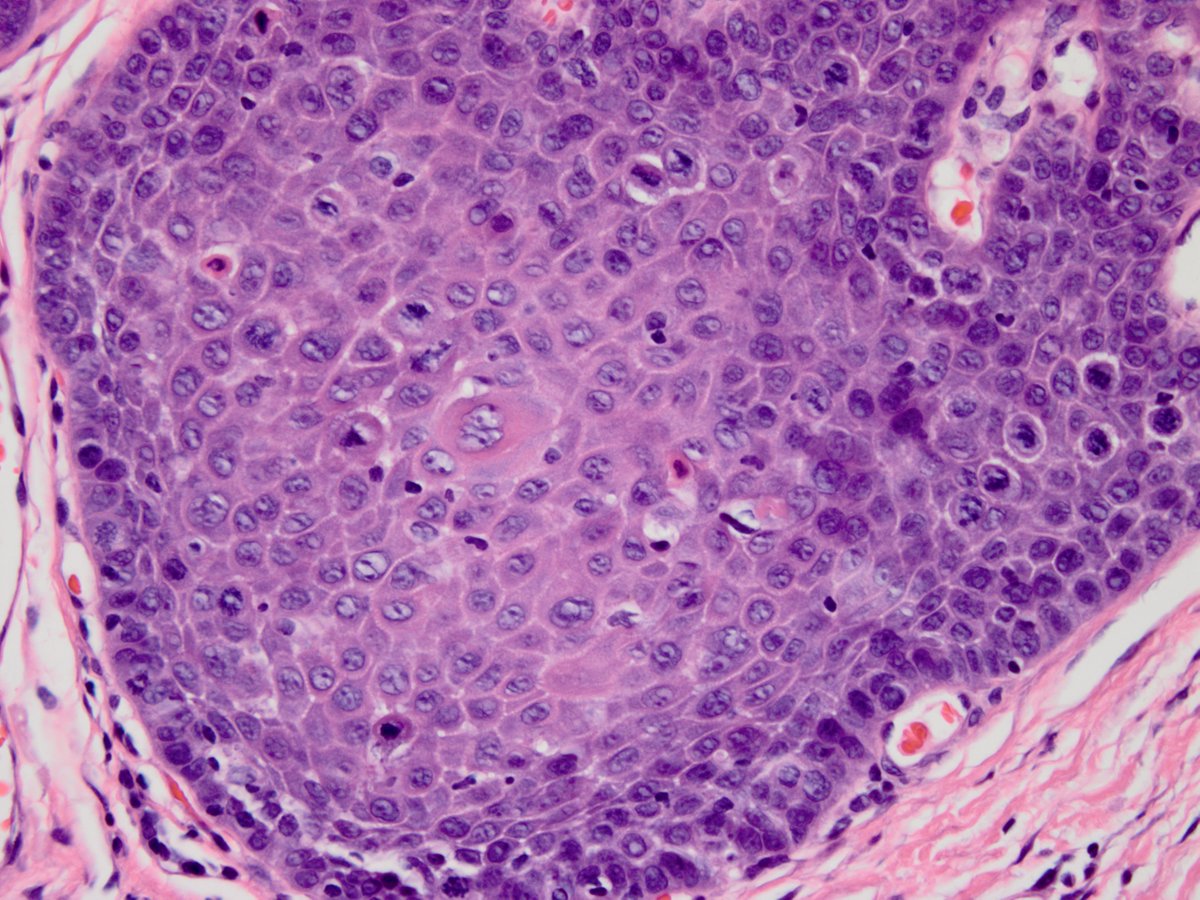
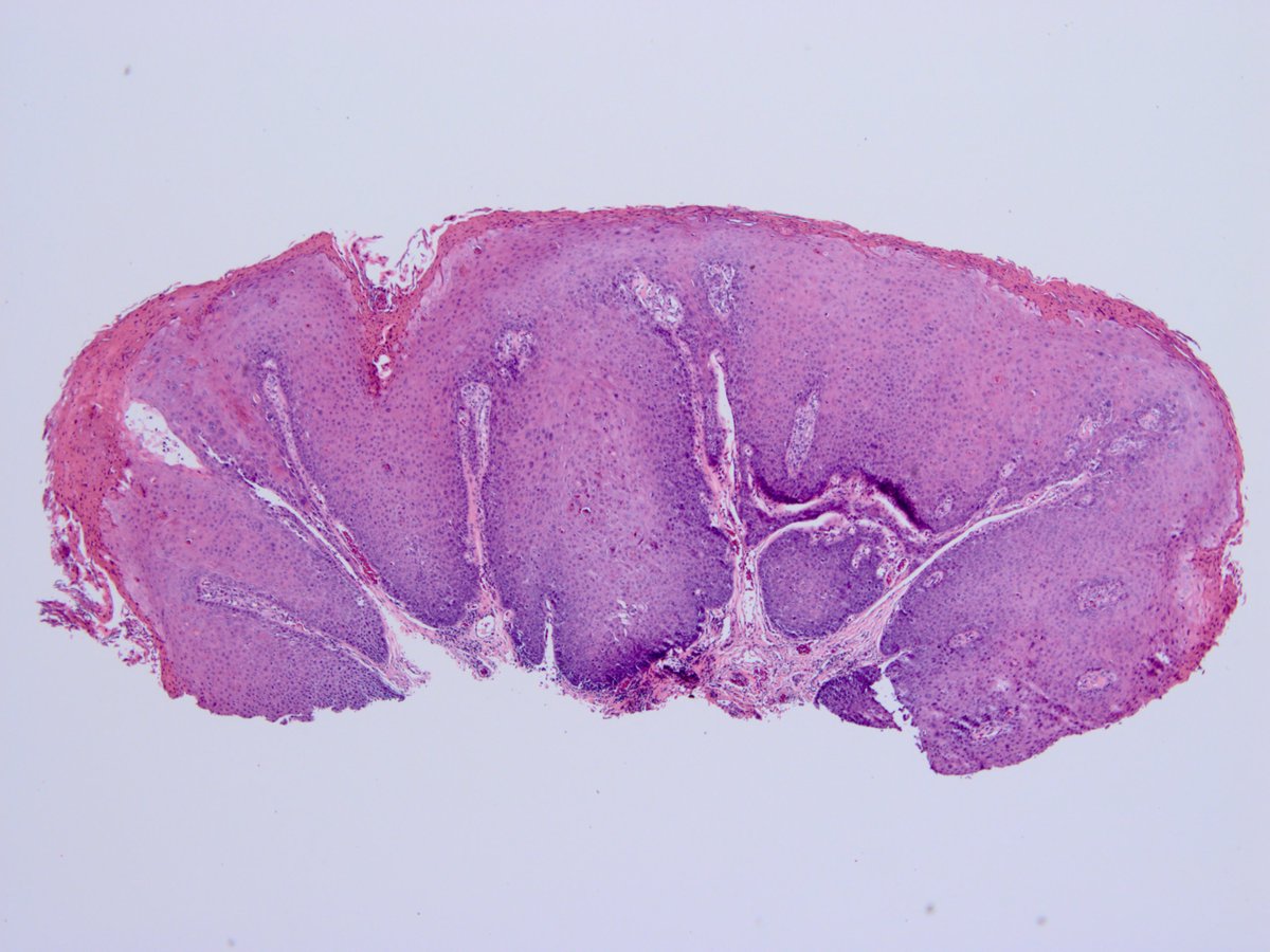
HPV-associated CIS/bluntly inv scca in tongue of 83 year old female with apoptotic and karyorrhectic cells https://t.co/rWKHypuxFw
1
20
41
@sarnotsorry
Sar Warner
8 years
Here's my quick 2 cents on how to get the cash you deserve but are too afraid to ask for. #TuesdayThoughts
0
1
1
@SookbinWoo
Sookbin Woo
8 years
Gorgeous granulomatosis with polyangiitis, characteristic subepith heme, mixed infiltrate, abscesses #pathology #dermpath #oralpath
0
9
20
@SGottesmanMD
Silvija Gottesman MD
8 years
She got a new pair of shoes 💁🏻👠 & then this happened. Friction blister. Subgranular blister with epidermal necrosis, sparse lymphs #dermpath
6
32
62
@SaysHummingbird
The Hummingbird 🐦
8 years
If you can do one thing for me today, retweet this @WSJ found that Kushner has $1,000,000,000 in undisclosed loans https://t.co/EuH9z8ttJc
17
558
306
@SookbinWoo
Sookbin Woo
8 years
Hello Twitter! #myfirstTweet
2
3
22