Dr Mugumya Sabastian Profile
Dr Mugumya Sabastian

@SebastianM86529

Followers
43
Following
117
Media
6
Statuses
278

Joined April 2023
Don't wanna be here? Send us removal request.
@SebastianM86529
Dr Mugumya Sabastian
1 year
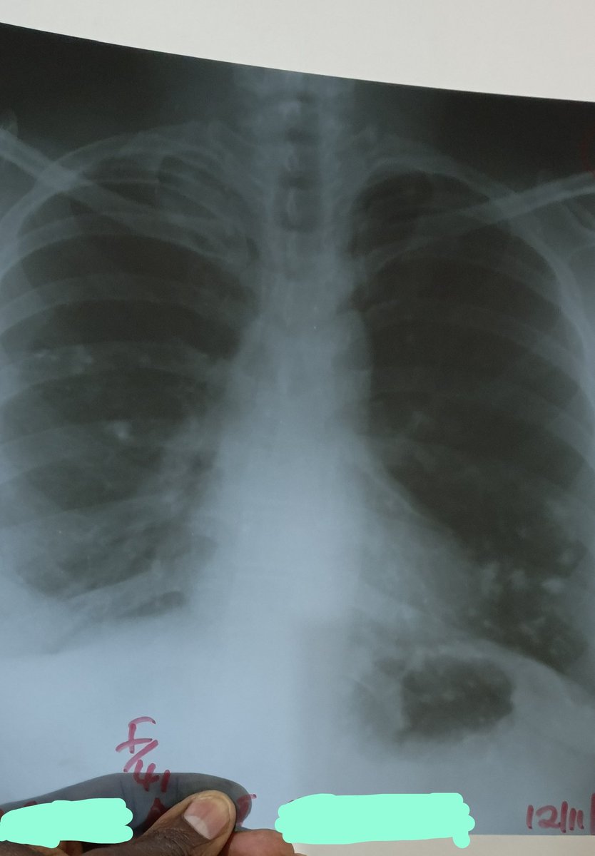
CXR. ➡️Interpret XR findings. ➡️What is the likely diagnosis? Thank you.
2
0
3
@kabuniversity
Kabale University
2 years
The mission is not to rest until when we make the world a better place.
@KUMSAOfficial
Kabale University Medical Students' Association
2 years
Another outstanding KABSOM alumni doing remarkable work in Hamurwa. 👏🏿 @MinofHealthUG
1
4
24
@SebastianM86529
Dr Mugumya Sabastian
2 years
0
0
0
@RCEMGlobal
RCEM Global Emergency Medicine
2 years
Please join us at our next Grand Round on - Organophosphate poisoning: a toxicology, management and mental health challenge. 29th August - 1PM (GMT) 3PM (Uganda) Register here to attend: https://t.co/gMHg46s1gr @UUKHAhealth @NHSEngland @EmedUg @EmMakerere @MUST_EM
0
8
9
@TOFIUganda
TOFI
2 years
We are honoured to have @HerbertLuswata the Secretary General of @TheUMAofficial (Uganda Medical Association) join us for the Twitter Space on 27th July at 7pm via @TOFIUganda hosted by the incredible @GodwinTOKO #AskQuestionsUg @actionaiduganda
1
9
15
@DrSerunjogiEmma
Dr. Sserunjogi Emma
2 years
Let's support these frustrated young doctors. JUST RETWEET IN SOLIDARITY. Kindly @DianaAtwine @JaneRuth_Aceng @MinofHealthUG @KagutaMuseveni let's help these young doctors. They're depressed, studying 5years and then after you sit at home for another year. Depressing 🥴
15
215
195