SCDFoundation Profile Banner
Sickle Cell Disease Foundation Profile
Sickle Cell Disease Foundation

@SCDFoundation

Followers
2K
Following
1K
Media
722
Statuses
2K

Providing education and life-enhancing programs to individuals with sickle cell disease.

California, USA
Joined November 2011
Don't wanna be here? Send us removal request.
@SCDFoundation
Sickle Cell Disease Foundation
4 years
Californians with #SickleCellDisease will be #NeglectedNoMore. Watch more here:
0
4
13
@LLUHealth
Loma Linda U. Health
9 months
It brings us joy to celebrate our physicians this March 30, National Doctors' Day. Watch as our team reads heartfelt messages from patients. 💌 Watch now on Youtube: https://t.co/qKlw1R2IQC #NationalDoctorsDay
1
2
9
@TheNCSCC
Networking California for Sickle Cell Care
9 months
Women living with SCD have historically faced higher pregnancy risks with limited support. It’s time to address this gap & ensure they receive care they need & deserve. Learn more in @EricBoodman's investigative series, Coercive Care. https://t.co/N1x6cme4Mo #WomensHistoryMonth
Tweet card summary image
statnews.com
A yearlong STAT investigation about people with sickle cell disease who felt pressured into unwanted sterilizations.
1
1
1
@TheNCSCC
Networking California for Sickle Cell Care
9 months
Thank you, @asmakilahweber, for meeting with us & the @UCSanDiego Health Sickle Cell Clinic team! On behalf of those we serve, we appreciate your ongoing support in ensuring that adults living with sickle cell disease in California are #NeglectedNoMore.❤️
0
1
2
@SCDFoundation
Sickle Cell Disease Foundation
10 months
#SickleCellWarriors in Southern California are facing mental health challenges due to the ongoing LA wildfires. The trauma, whether director or indirect, is affecting many. If you or someone you know needs support, reach out. Read more via @UCLAHealth https://t.co/Tw3QJgsUnl
Tweet card summary image
uclahealth.org
0
2
2
@SCDFoundation
Sickle Cell Disease Foundation
10 months
We acknowledge that many in our SCDF family have been impacted by the devastating LA fires. If you are interested in helping those affected, we’ve compiled a list of GoFundMe Campaigns for your fellows in need. Every contribution helps! https://t.co/OsCH4soYU2
0
0
0
@SCDFoundation
Sickle Cell Disease Foundation
10 months
Happy #NationalWomensPhysiciansDay! Today we honor the incredible female physicians, especially @TheNCSCC providers who work tirelessly to improve care for those living with sickle cell disease in California. Drop a 🩺 and thank your doctor in the comments below
0
1
1
@SCDFoundation
Sickle Cell Disease Foundation
10 months
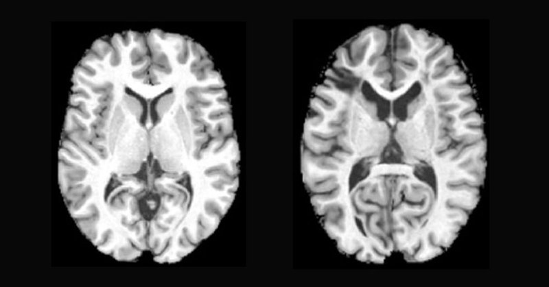
A new study shows that individuals living with sickle cell disease exhibit brain aging 14 years earlier than their actual age, even without stroke history, and socioeconomic factors also contribute. Read more here. https://t.co/wCymPbKxQw #NeglectedNoMore
Tweet card summary image
medicine.washu.edu
Study also finds socioeconomic status linked to brain health in adults
0
0
0
@SCDFoundation
Sickle Cell Disease Foundation
10 months
February is #BlackHistoryMonth – a time to honor Black communities’ strength, resilience, and legacy. Join us as we continue to raise awareness about sickle cell disease, a condition disproportionately affecting Black lives. Honoring Black History, Empowering Sickle Cell Lives
0
0
1
@SCDFoundation
Sickle Cell Disease Foundation
11 months
https://t.co/IKiw9D0ES7 Vertex Pharmaceuticals y Orna Therapeutics se han asociado para desarrollar terapias genéticas “in vivo” para la enfermedad de células falciformes y la beta talasemia. La colaboración tiene el objetivo de mejorar las terapias CRISPR, evitando el
0
0
0
@SCDFoundation
Sickle Cell Disease Foundation
11 months
Vertex Pharmaceuticals and Orna Therapeutics have partnered to develop "in vivo" gene therapies for sickle cell disease and beta thalassemia. The collaboration aims to improve CRISPR therapies, bypassing toxic preconditioning and lengthy processes. Read more here.
Tweet card summary image
biopharmadive.com
The three-year partnership is another example of Vertex’s interest in improving on Casgevy, its CRISPR medicine for sickle cell and beta thalassemia.
3
0
2
@SCDFoundation
Sickle Cell Disease Foundation
11 months
¡Tee, el green y una oportunidad a cambiar la vida de personas viviendo con enfermedad de células falciformes! No olvides acompañarnos el 10 de marzo de 2025 para nuestro 23.o Torneo Anual de Golf Benéfico, un día lleno de golf, diversión y concienciación. Aun estas a tiempo a
0
0
0
@SCDFoundation
Sickle Cell Disease Foundation
11 months
Tees, greens, and a chance to change sickle cell lives! Don’t forget to join us on March 10, 2025, for our 23rd Annual Charity Golf Classic for a day of golf, fun, and awareness. There is still time to register for the early bird price! Register here. https://t.co/XuJ5iVXFUJ
1
0
2
@SCDFoundation
Sickle Cell Disease Foundation
11 months
La enfermedad de células falciformes a veces no se puede entender por su complejidad y fuerte asociación con grupo étnico específicamente. Columnista Oluwatosin Adesoye comparte sobre lo que todos deben saber y entender sobre la enfermedad de células falciformes. Lee más aquí.
Tweet card summary image
sicklecellanemianews.com
Columnist Oluwatosin Adesoye shares a list of things that everyone should know and understand about sickle cell disease.
0
0
0
@SCDFoundation
Sickle Cell Disease Foundation
11 months
Sickle cell disease is often misunderstood because of its complexity and strong association with a specific ethnic group. Columnist Oluwatosin Adesoye shares things that everyone should know and understand about sickle cell disease. Read more here. https://t.co/x3wROaeH06
1
0
7
@SCDFoundation
Sickle Cell Disease Foundation
11 months
Para nuestra familia de SCDF afectada por los incendios en el sur de California, La contaminación de los incendios forestales puede afectar la salud de todos, especialmente los #GuererrosDeCelulasFalciformes. Protege su salud con estos consejos de UCLA Health y mantente seguro.🤍
Tweet card summary image
uclahealth.org
0
0
0
@SCDFoundation
Sickle Cell Disease Foundation
11 months
Un estudio reciente encontró que la deficiencia de Vitamina D es un factor de riesgo independiente significativo para la necrosis avascular, una complicación devastadora, en personas que viven con la enfermedad de células falciformes. Lee más aquí. https://t.co/cEotew9dzk
Tweet card summary image
hematologyadvisor.com
Researchers determined vitamin D deficiency was a significant independent predictor of avascular necrosis in a patients with SCD.
0
0
0
@SCDFoundation
Sickle Cell Disease Foundation
11 months
To our SCDF Family affected by the Southern California fires, Wildfire pollution can affect everyone’s health, but #SickleCellWarriors are especially vulnerable. Protect your health with these tips from UCLA Health and stay safe.🩶 https://t.co/96XSwBVe9w
1
1
2
@SCDFoundation
Sickle Cell Disease Foundation
11 months
A recent study found that vitamin D deficiency is a significant independent risk for avascular necrosis, a devastating complication, in individuals living with sickle cell disease. Read more here. https://t.co/cEotew8FJM
3
0
1
@SCDFoundation
Sickle Cell Disease Foundation
11 months
Los incendios forestales en California han afectado el acceso a recursos esenciales, incluida la sangre. Este #MesNacionalDelDonateDeSangre, da el regalo de la vida. En solo 45 minutos, su donación puede tener un impacto duradero. Encuentra un centro de donación de la Red Cruza
0
1
0