SAMI ALMOMEN
@SALMOMEN
Followers
615
Following
525
Media
27
Statuses
421
إستشاري باطنة وجهاز هضمي ومناظير متقدمة// Consultant Internist ,Gastroenterologist and advanced endoscopist , مستشفى د سليمان الحبيب ،الخبر
Dammam
Joined April 2012
Pharmacological management of moderate-to-severe Crohn’s disease - American Gastroenterological Association
0
0
2
Tip palpation of the intraduodenal biliary segment for needle-knife fistulotomy - VideoGIE
videogie.org
Needle-knife access fistulotomy (NKF) involves using a needle-knife to cut into the intraduodenal segment of the bile duct, thereby avoiding the papilla. Previous studies suggest this procedure...
0
0
1
Assessing Gastrointestinal Awareness on TikTok: A Content Analysis of Colorectal Cancer, IBS, and IBD Narratives : | ACG
journals.lww.com
were categorized by content focus and narrator type. RESULTS: Colorectal cancer videos were largely health care provider generated (66.5%), whereas irritable bowel syndrome and inflammatory bowel...
0
0
0
Adding Clip Before Endoscopic Cyanoacrylate Injection Decreases Ectopic Embolisms in Gastric Varices: A Randomized Controlled Trial Wang & Peng, et al. 📕 https://t.co/GdWDzAWaVA
@MLongMD @JasmohanBajaj
1
29
75
Post-Colonoscopy Colorectal Cancer in Fecal Immunochemical Test-Positive Individuals: Prevalence, Predictors, and Root-Cause Analysis in a Nationwide Cohort , AJG :
journals.lww.com
med a root cause analysis (RCA). METHODS: This retrospective cohort study evaluated FIT-positive patients who underwent colonoscopy from January 2015 to July 2022. Data were collected from the...
1
0
3
Among FIT-positive individuals, the PCCRC-3y rate was 6.4%, with missed lesions and incomplete resection as key contributors
0
0
2
ACG Clinical Guideline Update: Preventive Care in... : Official journal of the American College of Gastroenterology | ACG
journals.lww.com
on for vaccinations are crucial because more than 70% of patients with IBD will at some time be on immune-modifying therapies that may increase the risk for infections, many of which are preventable...
0
0
0
Cat scratch colon https://t.co/8j9dekihFj via @https://twitter.com/KMonkemuller
thepracticingendoscopist.com
Rare colonoscopy finding reveals unusual 'cat scratch colon' in 75-year-old patient with obscure GI bleeding, highlighting unique endoscopic mucosal lesions and potential diagnostic insights.
0
0
0
Ulcerative Jejunitis in Celiac Disease: A 30-Year US... : Official journal of the American College of Gastroenterology | ACG
journals.lww.com
at a large academic center in the United States. Clinical presentation, diagnosis, treatment, and evolution of disease were collected. RESULTS: Eight cases were identified (6 male/2 female, mean age...
0
0
0
A recent trial compared carvedilol and band ligation for primary prevention of variceal bleeding. https://t.co/FwgHgInhMN
#MedTwitter
0
5
8
High risk screening for gastric cancer (AGA)
2
14
70
In the #RedJournal: Higher Rate of Spontaneous Bacterial Peritonitis Recurrence With Secondary Spontaneous Bacterial Peritonitis Prophylaxis Compared With No Prophylaxis in 2 National Cirrhosis Cohorts Silvey, et al. 📕 https://t.co/SROILuTzc8
@JasmohanBajaj @MLongMD
1
37
100
Phase 3 Trial of Semaglutide in Metabolic Dysfunction–Associated Steatohepatitis | New England Journal of Medicine
nejm.org
Semaglutide, a glucagon-like peptide-1 receptor agonist, is a candidate for the treatment of metabolic dysfunction–associated steatohepatitis (MASH). In this ongoing phase 3, multicenter, randomize...
0
0
0
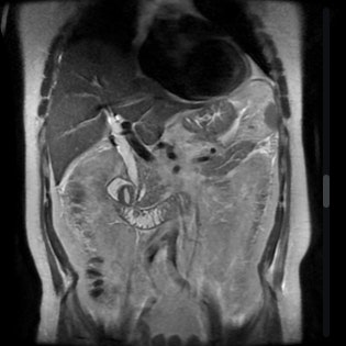
MRI findings in Lemmel syndrome illustrating periampullary duodenal diverticulum leading to biliary obstruction without choledocholithiasis.
2
24
91
In patients with severe alcohol-associated hepatitis AAH, a tapered prednisolone regimen may mitigate the frequency of infections.
0
0
1
Infections in Standard or Tapered Dose of Prednisolone for... : Official journal of the American College of Gastroenterology | ACG
journals.lww.com
rimary objective was to assess the incidence of infection by day 90. The key secondary objectives were the incidence of mortality, acute kidney injury, readmissions rate, and adverse events. METHODS:...
0
0
0