RyanHessMD Profile Banner
Ryan Hess, MD Profile
Ryan Hess, MD

@RyanHessMD

Followers
2K
Following
8K
Media
467
Statuses
3K

Sports Medicine Surgeon at Twin Cities Orthopedics. TCO Sports Fellowship Faculty. Father of 2. Husband of 1. Lover of baseball. Tweets not medical advice.

Plymouth, MN
Joined July 2013
Don't wanna be here? Send us removal request.
@RyanHessMD
Ryan Hess, MD
4 years
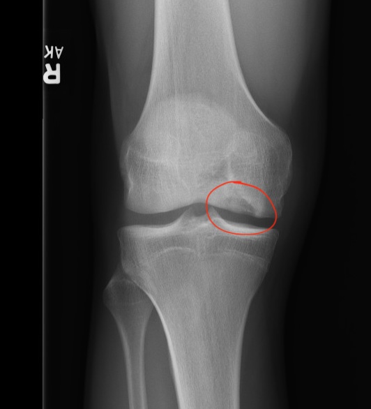
Osteochondritis dissecans (OCD) lesions of the knee can be difficult to treat. They most commonly occur on the lateral aspect of the medial femoral condyle (adjacent to the notch). They can also occur on the LFC, trochlea or patella. Below is an example of the typical location
9
46
280
@RyanHessMD
Ryan Hess, MD
1 month
Ok this is pretty funny
@getyourwaggleon
Waggle
1 month
Taylor might need a new caddie 🤷 The 2025 Hockey Collection is available now while supplies last. #getyourwaggleon
1
0
5
@RyanHessMD
Ryan Hess, MD
1 month
An exciting time for our University of St. Thomas athletes and fans! Looking forward to covering the first game in this beautiful arena next week.
@FraserBen
Ben Fraser
1 month
Welcome to the Lee & Penny Anderson Arena! #RollToms
0
0
3
@surrender_idx90
Surrender Index 90
2 months
MIN decided to punt to ATL from the MIN 28 on 4th & 1 with 9:47 remaining in the 4th while losing 6 to 15. With a Surrender Index of 8.35, this punt ranks at the 93rd percentile of cowardly punts of the 2025 season, and the 90th percentile of all punts since 1999.
18
98
710
@RyanHessMD
Ryan Hess, MD
4 months
While I wasn’t a Cubs fan growing up, I was a HUGE Sandberg fan. What an incredible player and by all accounts an even better person. Here’s to Ryno.
@Cubs
Chicago Cubs
4 months
With great sadness, we share that Ryne Sandberg has passed away today.
2
1
12
@RyanHessMD
Ryan Hess, MD
4 months
Whatever we can do to attract and nurture these people’s careers, we should consider doing. I’m sure medicine will change a lot over the next 10 years, but it’s hard for me to envision a scenario where we are better off with fewer bright minds around us Or maybe I’m just old
1
0
10
@RyanHessMD
Ryan Hess, MD
4 months
I won’t pretend to have the answers, but I will simply say that I would like to encourage MDs to consider thinking beyond the dollars and cents of the AI vs live scribe topic. This is a time when, perhaps more than ever, we need our best and brightest to consider medicine.
1
0
4
@RyanHessMD
Ryan Hess, MD
4 months
I have had additional scribes go to PA, PT and other graduate schools. These are, by and large bright, motivated folks who will make our profession better. If we lose these roles, do these people seek other types of opportunities? Do we as a profession lose them entirely?
1
0
6
@RyanHessMD
Ryan Hess, MD
4 months
If AI takes over these types of roles exclusively, do we lose something? I think we do. We need to be able to expose prospective MDs to the profession. They need to see ‘behind the curtain’ and gain the experience needed to achieve their goals.
1
0
11
@RyanHessMD
Ryan Hess, MD
4 months
But without the experience of being a scribe, does she get into med school? Did her exposure to ortho prompt her to consider a career she otherwise may not have? I’m not sure, but it certainly didn’t hurt.
2
0
3
@RyanHessMD
Ryan Hess, MD
4 months
And she will be doing a hand fellowship after she completes her residency. I’m certain she’ll be an incredible surgeon. I’m certainly not saying she couldn’t have done it without my help- she’s very talented.
1
0
4
@RyanHessMD
Ryan Hess, MD
4 months
I made a couple phone calls recommending her to some PDs, and she got a couple additional ortho interviews as a result. She matched highly on her list for residency (not at a place I called). Now she is a 4th year resident! (News flash- I’m old)
1
0
8
@RyanHessMD
Ryan Hess, MD
4 months
She wanted to go to med school, and did. Later on, she decided she wanted to do orthopedics (I was happy). I wrote her letters in support for both endeavors. On paper she was a solid but not necessarily a standout candidate.
1
0
3
@RyanHessMD
Ryan Hess, MD
4 months
My first scribe when I started in my current practice nearly 10 years ago was Jess. She was amazing. I had never used a scribe before, and she built out exam and conversation templates that I continue to use nearly unchanged almost a decade later.
1
0
5
@RyanHessMD
Ryan Hess, MD
4 months
What are other physician’s thoughts on AI scribes? We are starting to use them in our practice, though I continue to have an in-person scribe. I worry there may be a societal cost for things like this… A 🧵
21
2
32
@OrthoToday
Orthopedics Today
9 months
Results in @JArthroplasty showed compensation for #orthopedic surgeons has declined 38% from 2000-2020. Orthopedic surgeons had the greatest inflation-adjusted declines in compensation vs. other health care professionals and high-skilled professionals. https://t.co/WUwW9Il3Jj
Tweet card summary image
healio.com
According to results published in the Journal of Arthroplasty, compensation for orthopedic surgeons has declined 38% from 2000 to 2020 after adjusting for inflation.Results showed orthopedic surgeons...
2
17
50
@RyanHessMD
Ryan Hess, MD
10 months
That’s a lot of squirts.
0
0
9
@RyanHessMD
Ryan Hess, MD
1 year
Quite a read. As a parent who coaches his own son in baseball, this hits especially hard. We should let kids be kids.
@DefectorMedia
Defector
1 year
A very ugly year in the life of a D.C. Little League:
1
0
8
@jeffrey14465
MN Hockey
1 year
This evening, the Champlin youth hockey association suffered an unimaginable loss. One of our 15 year old goalies passed away after a 3 year battle with cancer. Our hearts are broken, and we're asking all of hockey to #playformax @RussoHockey @mnwild @nhl
9
26
243
@krassenstein
Brian Krassenstein
1 year
People on both sides of the political spectrum need to listen to this. Please!
2K
9K
27K
@RyanHessMD
Ryan Hess, MD
1 year
Hypothetical for sports surgeons: You see a 20yo patient who tore an ACL 7-8 months ago and has been ‘getting by’ ever since. Now has a new injury on the OTHER side- also an ACL tear. Very active. Needs surgery to meet demands. Closest together you’d do ACLR? Discuss…
18
0
11