Riitta Rautio Profile
Riitta Rautio

@RiittaRautio3

Followers
68
Following
17
Media
2
Statuses
3

MD, PhD, Adjunct Professor of interventional radiology, Head of the Department of Interventional Radiology

Turku Finland
Joined December 2019
Don't wanna be here? Send us removal request.
@RiittaRautio3
Riitta Rautio
4 years
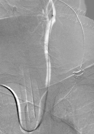
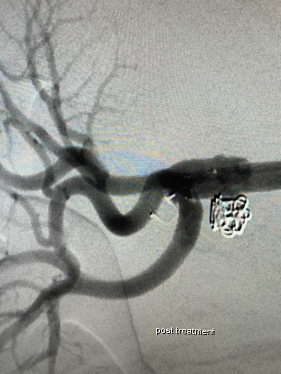
WEB can be used in various anatomical locations. We treated a wide-necked renal artery aneurysm with a WEB by ”corking” the neck. Immediate contrast stagnation!
2
5
27
@RiittaRautio3
Riitta Rautio
5 years
We are proud in Turku University Hospital Finland to be the first in Europe to treat intracranial aneurysms with the redesign Pipeline Vantage flow diverter together with RIST radial access system. Already two patients treated with this excellent combination.
0
1
13