Rawan454530 Profile Banner
Rawan ☢️ Profile
Rawan ☢️

@Rawan454530

Followers
2K
Following
2K
Media
95
Statuses
186

روان اخصائية موجات فوق صوتية ☢️♥️ احب الطريقة الي تخلينا كيف بنصور المريض بالالتراساوند وبنفس الوقت بنشخص حالته، لأننا مرايا المريض و عين الطبيب ☢️♥️

Joined April 2024
Don't wanna be here? Send us removal request.
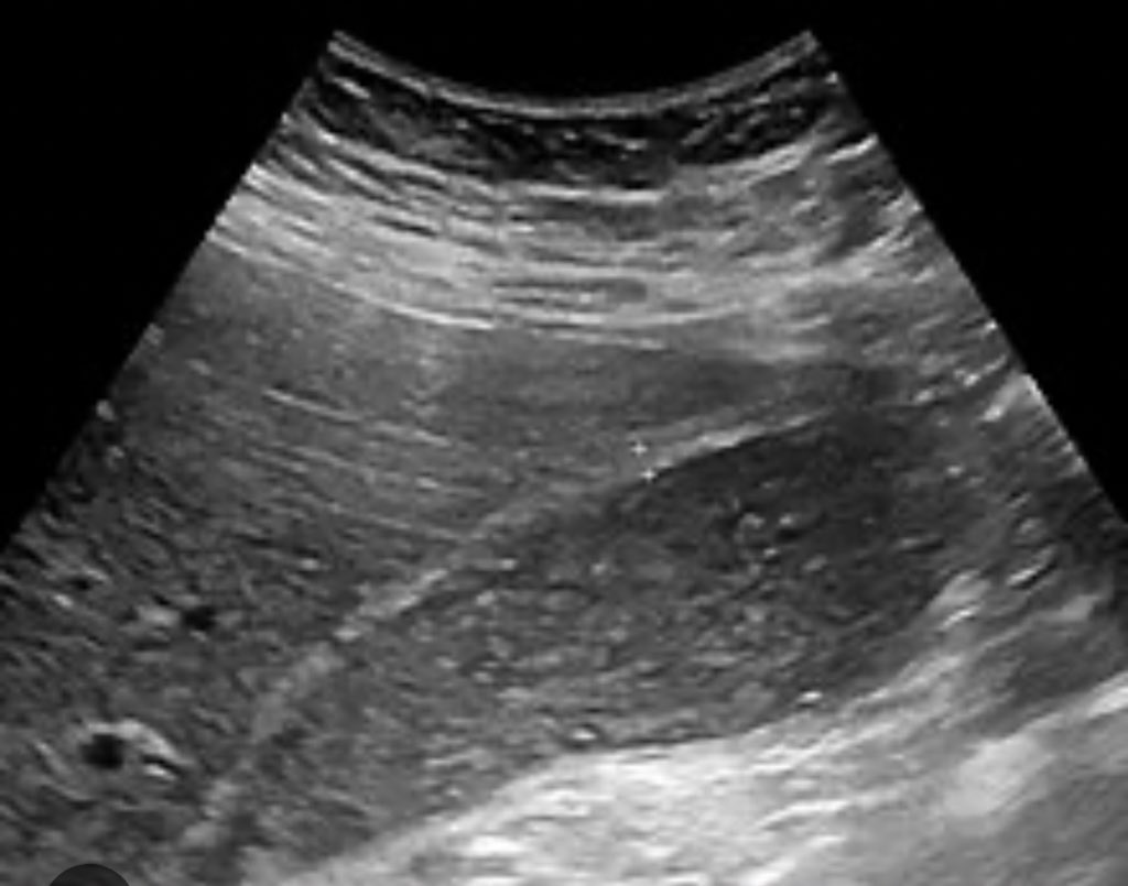
@HariRan16813160
Dr. Hari Rana, MD
9 months
Duplication of gallbladder
2
22
165
@Rawan454530
Rawan ☢️
1 year
مساء الخير 🎯 First trimester OBGYN
2
8
97
@Rawan454530
Rawan ☢️
1 year
مساء الخير 🍀 Benign breast tumours
1
64
314
@Rawan454530
Rawan ☢️
1 year
مساء الخير 🎯 First trimester 🎯
0
41
220
@Rawan454530
Rawan ☢️
1 year
مساء الخير 🌱 Uterine orientation 🌱
0
50
263
@Rawan454530
Rawan ☢️
1 year
مساء الخير 🦋 Upper limb ultrasound 🦋
1
93
518
@Rawan454530
Rawan ☢️
1 year
مساء الخير 🍀
0
4
33
@Rawan454530
Rawan ☢️
1 year
مساء الخير 🎯 Normal carotid ultrasound
1
35
157
@Rawan454530
Rawan ☢️
1 year
مساء الخير 🌱 🌱🌱 PCO Polycystic ovary 🌱
0
7
48
@Rawan454530
Rawan ☢️
1 year
مساء الخير 🌱 Ovarian torsion 🌱
2
27
175
@Rawan454530
Rawan ☢️
1 year
مساء الخير 🦋 The echogenicity in us 🦋
0
14
97
@Rawan454530
Rawan ☢️
1 year
مساء الخير 🍀🍀 Typical Endometroimas ☘️
0
19
107
@Rawan454530
Rawan ☢️
1 year
مساء الخير ☘️ Biliary sludge in US
0
9
89
@Rawan454530
Rawan ☢️
1 year
مسـاء الخيـر ☘️ Normal bowel vs diverticulitis US ☘️
0
50
302
@Rawan454530
Rawan ☢️
1 year
مساء الخير 🦋 Ultrasound of acute pyelonephritis
0
75
313
@Rawan454530
Rawan ☢️
1 year
مساء الخير 🌱 Sign of pancreatitis US 🌱🌱
0
37
204
@Rawan454530
Rawan ☢️
1 year
مســاء الخيــر 🦋 Gall bladder US 🦋
0
63
357
@Rawan454530
Rawan ☢️
1 year
صبــاح الخيـــر 🍀🍀 Parotid gland inflammation 🍀
0
23
119
@Rawan454530
Rawan ☢️
1 year
مساء الخير 🦋 The difference measurements 📏📊 between cortical thickness and parenchymal thickness ••
4
39
232
@Rawan454530
Rawan ☢️
1 year
مساء الخير 🎯 Spleen ultrasound 🎯
0
34
195