QUOMI
@Quomi8
Followers
257
Following
115
Media
1K
Statuses
2K
A digital platform and community to enhance work + life opportunities for healthcare professionals around the world. We don't call Healthcare a Service!!!
Joined March 2021
Season’s Greetings from Quomi ✨ As the year comes to an end, we want to wish happy holidays to all healthcare professionals in our community. This year at Quomi we’re excited to welcome all the new users who joined us and grateful for the opportunity to attend some amazing
0
0
0
AI algorithms are transforming healthcare by improving diagnostics, personalizing treatments, and supporting faster, more accurate clinical decisions. Read more on https://t.co/A1zWaoVR9o
#quomi #AIinHealthcare #MedicalAI #DigitalHealth #HealthTech #FutureOfMedicine
1
0
0
Portable iCTG monitors can detect fetal distress early and save newborn lives in low-resource settings. Read more on https://t.co/0lxzhzdm1N
#quomi #FetalHealth #NewbornSafety #GlobalHealth #MaternalCare #InnovationInHealthcare
0
0
0
https://t.co/FQGZyq75ym Wer hat ähnliche Erfahrungen? Ist Word By Mouth immer noch die beste Reklame? #quomi #wordbymouth #upscaling #gutemedizin
Marketing ist Geldverschwendung!!! Nach 3 eigenen Praxen, build up und scaling von mehr als 10 anderen Praxen, gibt es keine effektiveres Marketing als gute Medizin, Effizienz und "Word by mouth". Kein FB, kein Google, kein Insta Post nur gute saubere Arbeit.
0
0
0
ENT is a surgical career with good pay and lifestyle, but it involves lots of clinic visits, routine cases, and working only on the head and neck. Read more on https://t.co/ebciBm3p6V
#quomi #ENT #Otolaryngology #Surgery #MedicalCareer #DoctorLife #MedStudent #HealthcareAI
0
0
0
Researchers at CU Boulder use sound waves and tiny particles to make tumors softer so cancer treatment can work better. Read more on https://t.co/w5iR5T5Cba
#quomi #quominews #CancerResearch #NewTreatment #Science #MedicalBreakthrough #Healthcare #AIinHealthcare #jobsinhealthcare
0
0
0
The holidays can be stressful for nurses, but by setting boundaries, practicing self-care, and finding joy in small moments, the season can still be meaningful and rewarding. Read more on https://t.co/1e1UiVmn3V
#quomi #NurseLife #HolidayStress #NurseWellBeing #SelfCareForNurses
0
0
0
Classes of haemorrhagic shock 🩸 #quomiprofessionals #quomi #medicalstudent #MedicalExam #StudyMedicine #medicalpictures #simplemedicine #makinghealthcaresimple #quomiquickies #medicaleducation
https://t.co/fWwxjUIn3c
0
0
0
AI-derived coronary blood flow measurements from CT scans accurately predict future heart attacks and cardiovascular deaths in patients with suspected stable coronary artery disease. Read more https://t.co/pgTA7pNbwY
#qomi #Cardiology #AIinMedicine #HeartDisease
0
0
0
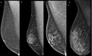
Breast imaging for male and transgender patients lacks consistent evidence and guidelines across Europe, prompting EUSOBI to call for more research, education, and inclusive screening practices. Read more on https://t.co/GXL9UAaZ57
#quomi #quominews #BreastImaging
0
0
0
Check https://t.co/mX3QPxrFyD
#Quomi #Dubai #MedicalAI #DigitalHealth #ResponsibleInnovation #HealthSystems #ClinicalInnovation
linkedin.com
Last week Dubai offered a great opportunity to step back, listen, and reconnect with the broader healthcare ecosystem. I had the pleasure of attending the Health 2.
0
0
0
Professor Vishali Gupta of PGIMER Chandigarh made history by becoming the first Indian-trained, India-based clinician-scientist to win the prestigious IUSG Gold Medal for excellence in uveitis research. Read more on https://t.co/n244dpTgO9
#quomi #MedicalMilestone #IndianResearch
0
0
0
Doctors worldwide face alarming burnout, with France standing out as proof that strong labor protections and low debt—not higher pay—are key to physician wellbeing. Read more on https://t.co/8yeHsrGMeE
#quomi #PhysicianBurnout #DoctorWellbeing #HealthcareCrisis #MedicalLife
0
0
0
A Lancet study led by the University of Münster shows that biomarker-based early identification combined with targeted preventive care significantly reduces severe acute kidney injury after major surgery. Read more on https://t.co/YGo1k3FUos
#quomi #KidneyInjury #Biomarkers
0
0
0