Penn Heart & Vascular
@PennCardiology
Followers
3K
Following
2K
Media
484
Statuses
2K
Providing high-quality care, advancing research, and training future heart & vascular specialists.
Pennsylvania, USA
Joined April 2019
How did cardiac MRI help us make the diagnosis for this individual w/early onset atrial fibrillation? 💫@PennIMResidents alum + current @NYULangone 🫀 fellow @MelissaAustinMD & I will share the story at the next @CircImaging webinar! @PennCardiology
https://t.co/uFBnif28pp
ahajournals.org
🚀 Advanced Cardiovascular Imaging 2025: Three Cases, Three Technologies Join us for our latest Circ IMG webinar, hosted by Section Editors @MasriAhmadMD @nishath_quader and Dr. Inga Voges Featuring 3 rapid-fire 5-min case spotlights + panel discussion:
0
9
26
Remember to register for the half-day all virtual CME program about Lp(a) hosted by the Penn Lipid Clinic! Great line-up of speakers and live-steamed Q&A. @Lpa_Doc @MWilkinsonMD @DrMichaelShapir @ErinMichos @grsoffer @nationallipid @hillypaige2 @PennCardiology
2
5
14
Congratulations to @DanKellyPennCVI (@PennCVI) on being named a 2025 Distinguished Scientist by @American_Heart! @PennCardiology @PennIDOM @CHOP_Research
https://t.co/NzEH8nrfwb
0
2
2
JACC Case Reports - we highlight the key management considerations when approaching the repair of a complex ascending aortic pseudoaneurysm, including operative planning, cardiopulmonary bypass setup, cardiac and neuro-protection, and surgical execution. https://t.co/yy9j1h1jlA
0
2
7
Honor to be part of this paper, to learn (as a fellow) alongside how the masters of card-onc work together to write a position statement! Thank you for the opportunity. @PennCardiology @USFHealth @ICOSociety @Dr_Mike_Fradley @DrBonnieKy #cardonc
Cross-disciplinary international position statement summarizes the current understanding of CV toxic effects associated with ICI therapy, including strategies for diagnosis, treatment, and potential rechallenge and an outline of relevant knowledge gaps. https://t.co/Jfvq7IiJaf
1
3
17
@pacoebravo from @PennCardiology presents at #AHA25 on multimodal imaging on CAV (coronary allograft vasculopathy)! In the end concluding the beauty and superiority of PET scans on diagnosis of CAV! Excellent series of talk with two of our @PennCardiology faculty!
0
1
8
Wrapping up #AHA25 in NOLA with an amazing experience and lots of great memories!🫀 P.S. My teenage self would've never imagined I'd find myself back at a chessboard at the AHA scientific sessions one day!! It was such a fun moment! @AHAScience @PennCardiology
5
3
57
A recent study on #Mavacamten in patients w/ obstructive hypertrophic #cardiomyopathy shows sustained improvement over 96 weeks Learn more 👉 https://t.co/YyuMCr6oDU
@tikuowens #Cardiology #HCM #EXPLORERCohort
0
0
0
Penn Presbyterian Medical Center (PPMC) has been honored with the Mitral Foundation's 2025 Mitral Valve Repair Reference Center Award, recognizing PPMC's skill in performing the complex heart procedure. It is one of only 15 reference centers in the US. https://t.co/IOLIyeFVyC
0
1
2
Benedicte Lefebvre from Penn Medicine talks at #AHA25 about multimodality imaging in cardio-oncology, with focus on cardiac MRI! Wonderful talk! @DrBonnieKy @Dr_Mike_Fradley @PennCardiology
0
2
6
Our new publication in JASE @ASE360 explores real-world adherence to guideline-recommended surveillance echocardiography in patients with asymptomatic severe AS. Read more 🔗 https://t.co/CXNGeHEc1q
@PennCardiology @mariellesc1
@JBourqueMD @sri_adu @EmekaAnyanwu @Ellen_A_Boakye
onlinejase.com
Current guidelines for the management of asymptomatic severe aortic stenosis (AS) recommend postponing aortic valve replacement (AVR) until the onset of symptoms or left ventricular (LV) systolic...
7
10
39
Announcing Our 2025 Collegiate Inventors Undergraduate Winners : https://t.co/VarJbr6kdd / @InventorsHOF @WashU @WashUBME @PennCardiology
0
1
4
Excited to have co-authored “Shunt-Related Pulmonary Hypertension in Pregnancy�� in ACC's Cardiology Magazine ➤ https://t.co/Lb9AJsYpHc
@drmlopezlaporte @DrDastmalchi @PennCardiology @PennCVFellows @CardioOb @ACCinTouch
1
5
11
Join us in officially welcoming #LisaSolerMD 🩺 to @PennMedicine 🎉 Get to know Dr. Soler 👉 https://t.co/Xt4muK6XcJ
#HeartDisease #WomenInMedicine
0
3
5
New research explores sex-specific differences in non-pulmonary vein triggers during #AF ablation. https://t.co/gm97hFbeGK
@AlirezaOraii @adrian_petzl @drhbkmd @Dr_Markman @DrMatthewHyman @CMTschabrunn @andresenriqueza @PoojitaShivamu1 @rdschaller @Dr_Nazarian_EP @DavidCallans
0
2
4
Did you know that remote #bloodpressure monitoring for #hypertension has low participation? A @PennMedicine study 🔎 tested an opt-out behavioral economics approach & found it improved enrollment and BP outcomes. Learn more👇 https://t.co/7YUoZviyJP
@kevin_volpp #cardiology
jamanetwork.com
This randomized clinical trial investigates whether opt-out compared with opt-in behavioral economic framing improves enrollment and engagement in remote blood pressure monitoring for adults with...
1
0
0
Physicians 🩺 at @PennMedicine have introduced percutaneous #renaldenervation for patients w/ moderate to severe resistant #hypertension. This approach targets overactive renal nerves to help lower BP when medications alone aren’t enough. Learn more👉 https://t.co/zpwUs4NorU
0
0
0
.@DanKellyPennCVI, director of Penn's Cardiovascular Institute, has been named a 2025 Distinguished Scientist by the American Heart Association. @American_Heart @PennCVI
https://t.co/yKe5ZGqEje
0
2
11
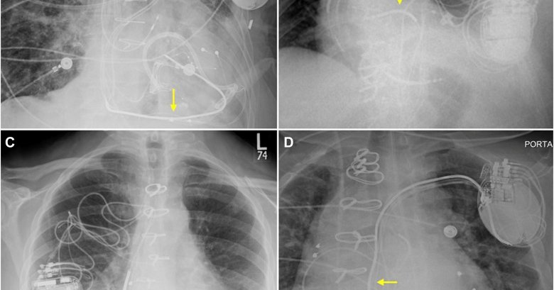
Epicardial Placement of Implantable Cardioverter-Defibrillators in Adults: Technical Considerations, System Performance, and Clinical Outcomes #OpenAccess
@PoojitaShivamu1 @PennCardiology
https://t.co/uhXT3TFJ6l
heartrhythmjournal.com
Surgical implantation of epicardial implantable cardioverter-defibrillator (ICD) is considered when transvenous ICD placement is not feasible because of congenital anomalies, venous obstruction, or...
0
3
11
A new 📄 from the @HRSonline Emerging Leaders #ThinkTank calls for innovative, integrative approaches to persistent #atrialfibrillation such as multipronged solutions & digital health integration to improve patient care. #Cardiology @DrMatthewHyman
https://t.co/ab16qlJQiz
heartrhythmjournal.com
This proceedings paper summarizes the inaugural Heart Rhythm Society Emerging Leaders Persistent Atrial Fibrillation (AF) Think Tank, which was held concomitantly with the inaugural HRX conference in...
0
0
0