Nouff36 Profile Banner
نُـوف. Profile
نُـوف.

@Nouff36

Followers
1K
Following
4K
Media
376
Statuses
26K

BSc microbiology at @sciencekau🧫, Microbiology laboratory technician #SCFHS ,#MLT,#Volunteer🕊,@Miskksa

استغفرالله العظيم واتوب اليه.
Joined June 2014
Don't wanna be here? Send us removal request.
@Nouff36
نُـوف.
6 years
سأصافح النجوم يومًا،سأصبح قمرًا مشعًا.
1
4
27
@Nouff36
نُـوف.
1 year
التقيكم في الثريد القادم نبدا نتكلم عن عائلة الStreptococcus👋
0
0
0
@Nouff36
نُـوف.
1 year
الاختبار الثاني حساسية المضادات الحيوية لNovobiocin للتفرقه بينهم فهو R اي مقاوم saprophytic و S اي حساس وعمل zone اي Epidermis وبهذه الطريقه تعرفنا على البكتيريا وفي الصورة شكل ال staphylococcus Saprophytic على الطبق
1
2
5
@Nouff36
نُـوف.
1 year
-الاختبارات البيوكيميائية التي نستخدمها للتعرف على بكتيريا S.Saprophytic الاول Coagulase test هذا الاختبار بدوره يفرق ليا بين S.aureus و Saprophytic and Epidermis فهو +ve للS.aureus و -ve للsaprophytic و Epidermis
1
1
3
@Nouff36
نُـوف.
1 year
Staphylococcus saprophyticus: -تسمى بالعنقوديّات الرمامية أو المكوّرات العنقوديّة الرمّامة -بكتيريا موجبة الجرام -شكلها تحت المجهر : دائرية الشكل مترممه نفس الشكل الي بالصوره 👇 -مكان تواجدها وماذا تسبب : تتواجد غالباً في الجهاز الهضمي والجهاز البولي تسبب غالباً UTI
1
7
43
@Nouff36
نُـوف.
2 years
اصدقائي اعرف انها فترة طويله جداً مرت بدون اي ثريدز وتفاعل في حسابي ولكن أوعدكم إني راجعه وبقوه 💪
0
0
2
@Nouff36
نُـوف.
2 years
عيدكم مبارك وكل عام وانتم بخير عساكم من عوّاده ✨.
1
0
2
@Nouff36
نُـوف.
2 years
وهذه شكل staphylococcus Epidermis على الأطباق Blood and Choclate agar
0
0
5
@Nouff36
نُـوف.
2 years
الخطوه الثانيه الي بدورها تفرق ليا بين Epidermis و Saprophytic والي هو novobiocin عباره عن antibiotic ونعمل اختبار الحساسية إذا كان R اي مقاوم حيكون عندي S.Saprophytic إذا S اي حساس حيكون عندي Epidermis وهذه صوره للاختبار :
1
0
7
@Nouff36
نُـوف.
2 years
-طريقة الكشف عليها والاختبارات البيوكيميائية التي نستخدمها للكشف عن هذه البكتيريا: اول اختبار زي ماهو معروف راح يكون Coagulase test الي بدوره يفرق ليا بين s.aureus او s.epidermis ،s.saprophytic طبعاً الموجب في الاختبار اعتبره انه s.aureus والسالب انتقل من خلاله
1
0
3
@Nouff36
نُـوف.
2 years
-وايضاً تسمم الىدم والتهاب الشغاف هي أيضا الأمراض بالمرتبطة البشروية . أعراضها سلسلة من الحمى والصداع والتعب ، وفقدان الشهية إلى ضيق التنفس.
1
0
1
@Nouff36
نُـوف.
2 years
البشرية الطبيعية، والتي توجد عادة على الجلد والأغشية المخاطية . -التهابات القسطرة في المسالك البولية تؤدي إلى التهاب المسالك البولية الخطيرة وإفراز القيح. في هذه الحالات ، يصبح التبول مؤلماً للغاية.
1
0
1
@Nouff36
نُـوف.
2 years
تكمله لأنواع البكتيريا يلا نبدا من Staphylococcus Epidermis -تسمى بالمكورات العنقودية البشروية -بكتيريا موجبة الجرام -شكلها تحت المجهر : دائرية الشكل وايضاً تأتي بشكل عنقود العنب -مكان تواجدها وماذا تسبب؟ المكورات العنقودية البشروية هي عضو دائم في الكائنات الحية الدقيقة
4
11
87
@Nouff36
نُـوف.
2 years
مبارك عليكم رمضان ،وكل عام وانتم بخير ،جعلني الله واياكم من صوّامه وقوّامه 🌙
0
0
0
@Nouff36
نُـوف.
2 years
السلام عليكم بعد غيبه شوي طويله -بحول الله راح اكمل سلسلة البكتيريا الي بدأتها في اخر ثريد بثريدز قادمه -تتفقون معايا رغم تعدد التحاليل وتنوعها يبقى تحليل Blood Group من امتع التحاليل في الشغل -ما الفصيله الموجوده في الصوره 🧐؟
16
4
77
@Nouff36
نُـوف.
2 years
السلام عليكم بعد غيبه شوي طويله -بحول الله راح اكمل سلسلة البكتيريا الي بدأتها في اخر ثريد بثريدز قادمه -تتفقون معايا رغم تعدد التحاليل وتنوعها يبقى تحليل Blood Group من امتع التحاليل في الشغل -ما الفصيله الموجوده في الصوره 🧐؟
16
4
77
@Nouff36
نُـوف.
2 years
كل ما تحتاج تعرفه عن بكتيريا S.aureus
@Nouff36
نُـوف.
2 years
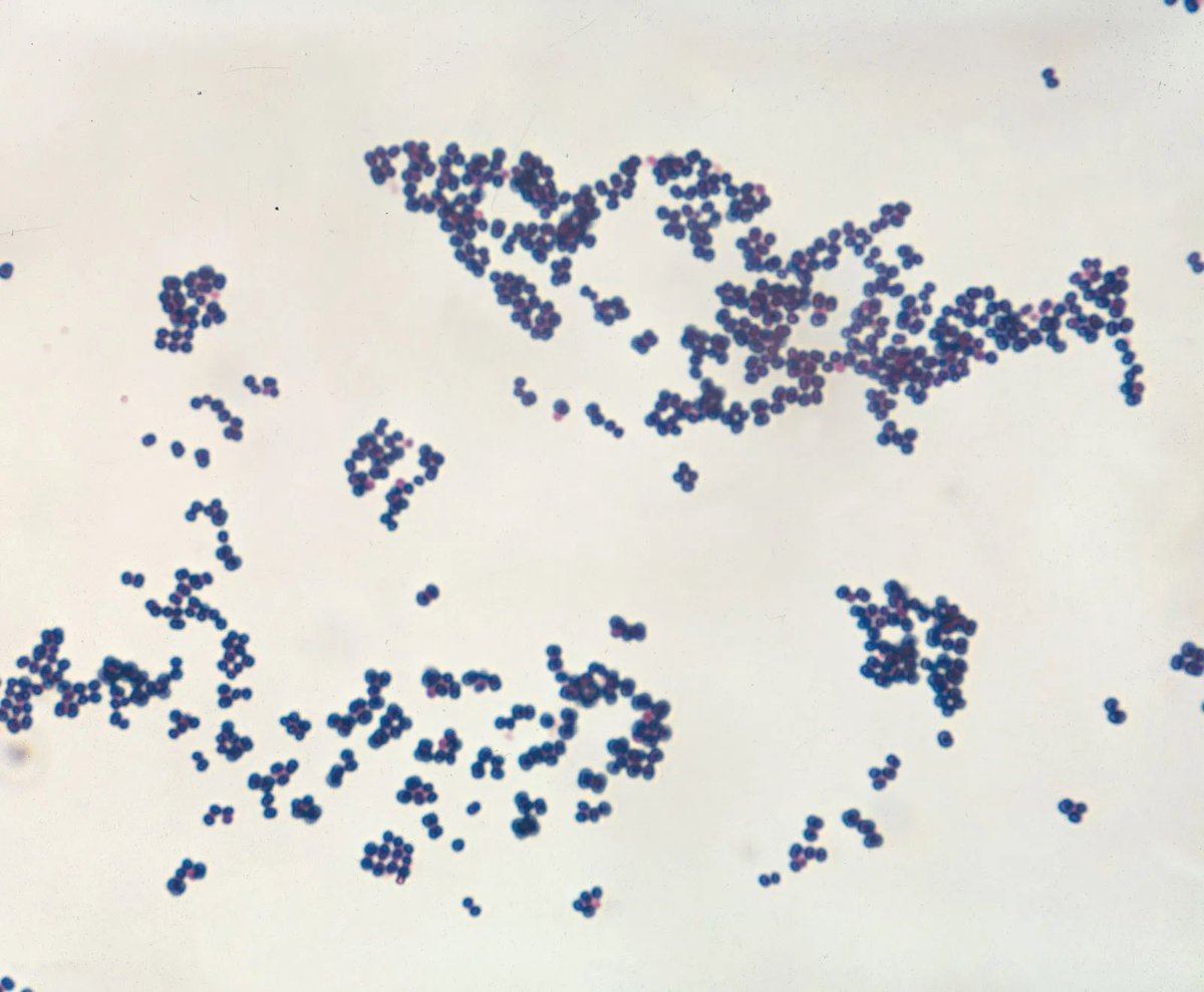
🍇 Staphylococcus aureus -تسمى بالمكورات العنقودية الذهبية وسميت بالذهبية للون الذهبي المميز الذي يظهر على الطبق -بكتيريا موجبة الجرام -شكلها تحت المجهر :اشبه بعنقود العنب -مكان تواجدها وماذا تسبب: 1-حديثي الولادة والأمهات المرضعات 2-المرضى الذين يعانون من الأنفلونزا
1
4
36
@Nouff36
نُـوف.
2 years
اخر شي بتكلم عن طبق mannitol salt agar S.aureus تخمر ليا المنتول مما يعطيني اللون الاصفر الدلاله على انه تخمر
0
1
8
@Nouff36
نُـوف.
2 years
في حالات العدوى العنقودية الخطيرة، قد تكون هناك حاجة vancomycin. وذلك لأن العديد من سلالات البكتيريا العنقودية أصبحت مقاومة للمضادات الحيوية التقليدية الأخرى
1
1
2
@Nouff36
نُـوف.
2 years
اذا الاختبار +ve هيا Staph وللتأكد انها Staphylococcus aureus نعمل Coagulase test اذا الاختبار +ve فهيا S.aureus -العلاج المضادات الحيوية التي توصف عادة cefazolin, nafcillin, oxacillin, vancomycin, daptomycin and linezolid
1
1
5
@Nouff36
نُـوف.
2 years
التهاب العظم والنقي التهاب المفاصل المعدية (الإنتانية). -طريقة الكشف عليها والاختبارات البيوكيميائية التي نستخدمها للكشف عن هذه البكتيريا: زي ماتكلمنا في البدايه انها بكتيريا موجبة الجرام ستكون تحت المجهر باللون الازرق على شكل عنقود العنب للتأكد نعمل Catalase test
1
1
4