
Neil Bhogal, MD
@NeilBhogalMD
Followers
2K
Following
3K
Media
162
Statuses
2K
Interventional Gastroenterologist in Kern County, CA | Husband, Father, & Huge Sports Fan | Opinions are my own, not medical advice. #FITE EUS Committee
Bakersfield, CA
Joined October 2019
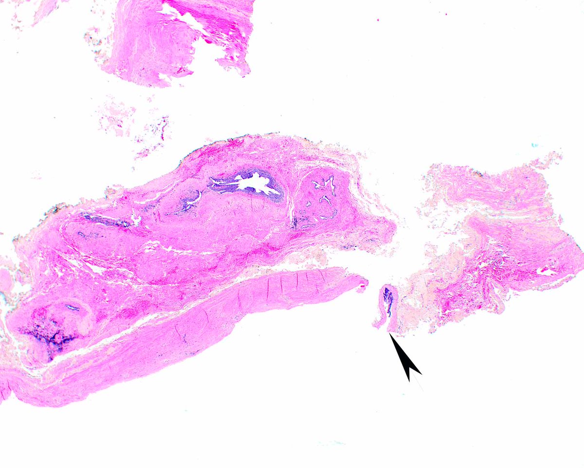
This "belly button" mass was excised and proved to be a cystic adenocarcinoma (arrow in the low magnification image) arising in a patient's urachal remnant. The latter is seldom detected (presumably it becomes obliterated by the carcinoma) but this example is spectacular.
4
32
91
I was in academics for 20 years, and was a full Professor of Medicine with Tenure. 5 years ago I left for a large private GI group. People often ask me about pros and cons of both worlds. Here are my top tips to consider. #gitwitter #medtwitter #MedX
13
55
353
7 PM EUS CDS for malignant obstruction and 7 AM EUS CG for large pseudocyst. The hours can be long but helping these patients is very rewarding. Love how much we can offer with therapeutic #EUS and love interventional GI! Have a great weekend GI X folks.
2
2
28
@RTarrant92 Yeah, I don't think that should have been called
0
1
1
Always remember: your own “eye” during a colonoscopy exam can see more than “A-I” ever will. Trust your skill. 👀✨ @ASGEendoscopy
@AmCollegeGastro
@AmerGastroAssn
AI missed a subtle sessile polyp at hepatic flexure. We used near focus + acetic acid prior to EMR. Grateful for such learning moments—reminder that AI is a tool, but skilled endoscopists are irreplaceable! Thx @SIUHGI team (@shandrawes @JeanChalhoub #yeldouaihy #halmoussawi)!
0
4
45
What an absolute honor it was to serve as faculty for @ASGEendoscopy amongst some of the most talented therapeutic endoscopists in the world. A huge thanks and congratulations to @amitbhattMD and @Boston_Endo for the invitation and amazing course! Also a huge thanks to
6
10
48
Nice missed PI call. Never happens the other way. At least announcers have eyes
0
0
2
Beautiful view of the basics of EUS. Must have a good look from D2 to truly evaluate for a stone. This is why EUS is superior to MRCP for small distal stones that are often impacted at the ampulla.
🔴D-2 View;Beautiful stone with Posterior Acoustic Shadowing.Sweeping the CBD from D2 is important to detect such stones impacted at the ampulla. ➡️For Teaching purposes; CBD/PD Is CWR from Aorta and ACW is from SMV/SMA. #Basics
#EUS
#teaching
@docdhir
@SyedGerdezi
0
1
4
My good friend and former co-resident/fellow doing big things in Houston 👏
🚨Milestone Alert 🚨 We performed the 🥇 ever EUS guided gastrojejunosotomy (EUS-GJ) for a patient with malignant gastric outlet obstruction at @MethodistHosp West! Grateful to my fantastic endoscopy team & @sater_30 (@bsc_endoscopy) for their support! 🙏👊 #GITwitter #EUS
1
0
15
A quote I heard once at an NYSGE meeting that can complement this: "Good judgement comes from experience; experience comes from bad judgement". In the worst case scenario, learn from past mistakes or poor judgements, yours or that of your colleagues.
For medical trainees in any interventional or surgical field, I'm not sure there's a more important lesson than this one.
1
1
24
Awesome case , pushing the limits
@drdalbir @DouglasAdlerMD @neilRsharmaMD @DrLakhtakia @SunilAminMD We published this scenario for this thing. But I reserve this for pts who are non surgical candidates in clinical practice https://t.co/JaoV2smoIE
0
1
7
Meet the future of advanced endoscopy: @AchintyaSinghMD, Kassem Sharif, & Sarang Gupta. Welcome to @BIDMC_Medicine and @harvardmed!
4
9
140
Very impressive. Cool cases still going down @GeisingerGi
🧵A very challenging ESD, requiring patience and planning — a villous adenoma on the IC valve extending into the terminal ileum 🔹 Access & stability: DiLumen EZ Glide overtube 🔹 Strategy: Freed the terminal ileum portion first, then completed resection in retroflexion 🔹
0
1
11
Appreciate the PSA on MASH. Very important topic. However, there is an approved medication for this indication and likely more coming in the pipeline. Please see your board certified Gastroenterologist for more information on these options. No doubt lifestyle is #1 treatment.
The bad news? There´s NO FDA-approved medication specifically for Non-Alcoholic Fatty Liver Disease. This time, not even Big Pharma can save you... The good news? It´s 100% reversible naturally. Here are the top 8 science-backed ways to reverse it:
1
0
2
Thank you @iGIEjournal and Phillip Ge for spotlighting my career in “A Lifetime of Pushing Boundaries”. I highlight my family, mentors, and colleagues who have shaped my life and journey in endoscopy. https://t.co/sOG7AfcdLw
igiejournal.org
Boundaries are all about perspective, and it often takes an outside perspective to define and expand them. After all, rules are meant to be broken, a quote attributed to the famous General Douglas...
7
15
88